Điều trị đích ung thư tuyến giáp thể biệt hoá kháng I-131

Ngày đăng: 16/01/2026 Lượt xem 17

Điều trị đích ung thư tuyến giáp thể biệt hoá kháng I-131

GS. TS. Mai Trọng Khoa, PGS. TS. Phạm Cẩm Phương, Ths. Lê Quang Hiển, BSNT. Mai Thị Chung
Trung tâm Y học hạt nhân và Ung bướu, Bệnh viện Bạch Mai

Theo thống kê của Tổ chức Ung thư toàncầu (GLOBOCAN) năm 2022, ung thư tuyến giáp đứng ở vị trí số 7 trong số các loại ung thư thường gặp trên thế giới với khoảng 821.214 ca mắc mới và 47.507 ca tử vong do ung thư tuyến giáp. Tại Việt Nam, ung thư tuyến giáp đứng thứ 6 trong những loại ung thư thường gặp. Bệnh gặp ở nữ nhiều hơn nam với tỷ lệ mắc bệnh nam/nữ là 1/3.

Ung thư tuyến giáp chia làm hai nhóm khác nhau về lâm sàng và tiên lượng là ung thư tuyến giáp thể biệt hóa và ung thư tuyến giáp thể không biệt hóa. Ung thư tuyến giáp thể biệt hóa tiến triển chậm, tiên lượng tốt, gồm thể nhú, thể nang hoặc hỗn hợp nhú và nang. Thể nhú là thể hay gặp nhất của ung thư tuyến giáp.

Với nhóm bệnh nhân ung thư tuyến giáp thể biệt hóa kháng I-131 còn đặt ra nhiều thách thức lớn trong điều trị. Lenvatinib, một thuốc ức chế tyrosine kinase đa đích, là một liệu pháp tiềm năng cho nhóm bệnh nhân này.

Chúng tôi báo cáo trường hợp lâm sàng chứng minh hiệu quả của Lenvatinib ở bệnh nhân ung thư tuyến giáp thể biệt hóa kháng I-131.

Họ và tên:    ĐÀO THỊ D.                      Giới:  Nữ              

Thời gian vào viện: tháng 6 năm 2022

Lí do vào viện: Khó thở khi gắng sức, khàn tiếng

Bệnh sử:

            Tháng 5/2022, bệnh nhân được chẩn đoán ung thư tuyến giáp thể nhú, được phẫu thuật cắt tuyến giáp toàn bộ tại Bệnh viện Đại học Y Hà Nội, được điều trị I-131 lần 1 tại Bệnh viện Ung bướu Hà Nội,xạ hình sau điều trị: âm tính, được theo dõi định kì 03 tháng/ lần. Tháng 07/2023, xuất hiện tái phát tại hạch cổ, được phẫu thuật vét hạch cổ tại Bệnh viện An Việt. Tháng 11/2023, được uống I-131 lần 2 tại Bệnh viện Trung ương Quân đội 108 với tổng liều 250 mCi. Tháng 6/2024, xuất hiện tái phát hạch cổ,được phẫu thuật vét hạch cổ lần 3 tại Bệnh viện 108. Sau phẫu thuật 3 tháng, xuất hiện tổn thương tái phát tại hạch cổ, xạ hình toàn thân âm tính, Tg không tăng,có chỉ định theo dõi. Tháng 12/2024, các triệu chứng tiến triển: bệnh nhân xuất hiện khó thở khi gắng sức, khàn tiếng và Tg tăng cao

Tiền sử: không phát hiện bất thường

Khám lâm sàng:

-         Bệnh nhân tỉnh

-         Khó thở khi gắng sức

-         Thể trạng trung bình

-         Da niêm mạc nhợt nhẹ

-         Hạch ngoại vi: hạch nhóm IV 3cm, chắc, khó di động

-         Tim nhịp đều, phổi không rale

-         Bụng mềm, không chướng

Xét nghiệm máu:

-         Công thức máu, đông máu cơ bản trong giới hạn bình thường

-         Sinh hóa máu: TSH 0.126

-         Chất chỉ điểm u:

+ Tg: 39.76ng/ml (bình thường 3.5 - 77) - tăng cao

+ Anti-Tg: 20,81 (bình thường <115)– bình thường

Chẩn đoán hình ảnh:

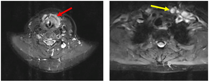
-         MRI vùng cổ (T1/2025)

Hình 1: Khối xâm lấn vùng hạ họng – thanh quản kích thước 41 x 22 mm (mũi tên đỏ), hạch cổ 2 bên, hạch lớn nhất đường kính 10 mm (mũi tên vàng).

Chẩn đoán: Ung thư tuyến giáp đã phẫu thuật I-131, tái phát tại chỗ, hạch cổ, xâm lấn hạ họng – thanh quản, kháng I-131

Điều trị: Đây là trường hợp bệnh nhân ung thư tuyến giáp, đã được phẫu thuật và điều trị I-131, sau điều trị xuất hiện tái phát hạch cổ đã được phẫu thuật nạo vét hạch cổ 2 lần: lần 1 vào T11/2023, lần 2 vào T6/2024 và điều trị I-131 2 lần. Bệnh nhân xuất hiện tái phát hạch cổ với các triệu chứng tiến triển: khó thở và khàn tiếng, xạ hình toàn thân với I-131 âm tính, trong khi chỉ số Tg tăng => được chẩn đoán kháng I-131 và có chỉ định điều trị toàn thân. Bệnh nhân được hội chẩn hội đồng các chuyên khoa và được thống nhất điều trị kết hợp mở khí quản chủ động và liệu pháp toàn thân với thuốc ức chế Tyrosine Kinase. Thông qua việc giải thích tình trạng bệnh cũng như kinh phí điều trị cho người nhà và bệnh nhân, gia đình bệnh nhân từ chối mở khí quản chủ động nên chúng tôi thống nhất điều trị phác đồ: Lenvatinib theo NCCN 2024.

Theo dõi trong quá trình điều trị:

1.     Lâm sàng:

-         Bệnh nhân tỉnh, tiếp xúc tốt

-         Khàn tiếng

-         Giảm tình trạng khó thở

-         PS1 (khó thở khi gắng sức mạnh, thể trạng bình thường)

-         Không có các điểm đau xương bất thường

2.     Biến động của dấu ấn ung thư (từ T1/2025 -> nay)

Bảng 1: Nồng độ dấu ấn ung thư trong quá trình điều trị (từ T1/2025 tới T7/2025)

Biểu đồ 1: Biến động dấu ấn ung thư trong quá trình điều trị (từ T1/2025 tới T7/2025)

3.     Biến đổi trên chẩn đoán hình ảnh (trước và sau điều trị)

Hình ảnh MRI cổ: Hình ảnh tổn thương vùng hạ họng thanh quản giảm kích thước sau điều trị 3 tháng, từ 41 x 22mm (mũi tên đỏ) xuống còn kích thước 20 x 13mm (mũi tên xanh).

Hình ảnh MRI cổ: Hình hạch thượng đòn trái giảm kích thước sau 3 tháng điều trị, từ đường kính 10 mm (mũi tên đỏ) xuống còn 7mm (mũi tên vàng).

Kết quả: Dù tình trạng ban đầu rất nặng, bệnh nhân đáp ứng vượt trội với Lenvatinib, với tác dụng phụ kiểm soát được:

-         Sau 3 tháng, khối u hạ họng - thanh quản giảm kích thước còn 20 x 13mm, bệnh nhân cải thiện triệu chứng lâm sàng.

-         Đặc biệt, nồng độ Tg giảm mạnh từ 39,76 ng/ml xuống 2,31 ng/ml.

Kết luận: Lenvatinib cho thấy hiệu quả đột phá, mang lại đáp ứng sâu và ý nghĩa lâm sàng ngay cả trên những bệnh nhân ung thư tuyến giáp thể biệt hóa kháng I-131 có tình trạng bệnh tiến triển nặng và lan rộng, giúp kiểm soát bệnh và cải thiện chất lượng cuộc sống.

Bàn luận: Câu hỏi đặt ra là các bác sĩ lâm sàng nhận định bệnh nhân kháng Iod phóng xạ như thế nào? Sau đây là bảng tổng hợp về tiêu chuẩn kháng Iod phóng xạ theo các hiệp hôi ATA2015 và ETA 2019

Việc nhận định một bệnh nhân ung thư tuyến giáp thể biệt hóa kháng Iod phóng xạ có ý nghĩa rất quan trọng giúp lựa chọn phương pháp điều trị tối ưu và hiệu quả nhất cho người bệnh từ đó mang lại cơ hội sống sót và nâng cao chất lượng cuộc sống cho người bệnh.


Tin liên quan