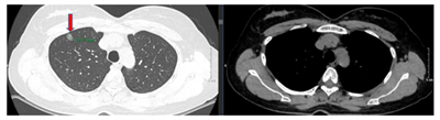
Case lâm sàng: Ứng dụng trí tuệ nhân tạo (Artificial intelligence – AI) trong chẩn đoán và điều trị sớm Ung thư phổi tại Trung tâm Y học hạt nhân và Ung bướu, Bệnh viện Bạch Mai
Theo GLOBOCAN 2022, ung thư phổi đứng đầu về số ca mới mắc (2.480.301 ca mới mắc chiểm 12.4%) và dẫn đầu số ca tử vong (1.817.172 ca tử vong chiếm 18.7%) trên toàn thế giới.  Tại Việt Nam tỷ lệ mắc ung thư phổi xếp thứ ba 13,5% lệ tử vong...
Điều trị đích ung thư tuyến giáp thể biệt hoá kháng I-131
Theo thống kê của Tổ chức Ung thư toàncầu (GLOBOCAN) năm 2022, ung thư tuyến giáp đứng ở vị trí số 7 trong số các loại ung thư thường gặp trên thế giới với khoảng 821.214 ca mắc mới và 47.507 ca tử vong do ung thư tuyến giáp. Tại Việt Nam,...
CASE LÂM SÀNG: CHẨN ĐOÁN BỆNH NHÂN MẮC HAI UNG THƯ:  GIST RUỘT NON VÀ UNG THƯ TUYẾN GIÁP TẠI TRUNG TÂM Y HỌC HẠT NHÂN VÀ UNG BƯỚU, BỆNH VIỆN BẠCH MAI
U mô đệm đường tiêu hóa (GIST) là bệnh lý hiếm gặp, chiếm 0,1% – 3% các u ác tính đường tiêu hóa với tỷ lệ mắc mới hàng năm từ 10 – 15 ca/triệu dân. Theo GLOBOCAN 2022, ung thư tuyến giáp đứng hàng thứ 7 về tỷ lệ mới mắc trên thế giới và...
CASE LÂM SÀNG:  ĐIỀU TRỊ BỆNH NHÂN BASEDOW KHÁNG THUỐC KHÁNG GIÁP CÓ SUY TIM, Ứ MẬT BẰNG THUỐC PHÓNG XẠ I-131 TẠI TRUNG TÂM YHHN VÀ UNG BƯỚU BỆNH VIỆN BẠCH MAI
Cường giáp trạng là tình trạng tuyến giáp hoạt động quá mức dẫn đến sản xuất hormon tuyến giáp nhiều hơn bình thường, gây ra những rối loạn trong hoạt động chuyển hóa. Basedow là dạnHàg cường giáp phổ biến nhất (chiếm 90% các trường hợp...
Case lâm sàng: Ứng dụng trí tuệ nhân tạo (Artificial intelligence – AI) trong chẩn đoán và điều trị sớm Ung thư phổi tại Trung tâm Y học hạt nhân và Ung bướu, Bệnh viện Bạch Mai
Theo GLOBOCAN 2022, ung thư phổi đứng đầu về số ca mới mắc (2.480.301 ca mới mắc chiểm 12.4%) và dẫn đầu số ca tử vong (1.817.172 ca tử vong chiếm 18.7%) trên toàn thế giới.  Tại Việt Nam tỷ lệ mắc ung thư phổi xếp thứ ba 13,5% lệ tử vong...
CASE LÂM SÀNG: CHẨN ĐOÁN BỆNH NHÂN MẮC HAI UNG THƯ:  GIST RUỘT NON VÀ UNG THƯ TUYẾN GIÁP TẠI TRUNG TÂM Y HỌC HẠT NHÂN VÀ UNG BƯỚU, BỆNH VIỆN BẠCH MAI
U mô đệm đường tiêu hóa (GIST) là bệnh lý hiếm gặp, chiếm 0,1% – 3% các u ác tính đường tiêu hóa với tỷ lệ mắc mới hàng năm từ 10 – 15 ca/triệu dân. Theo GLOBOCAN 2022, ung thư tuyến giáp đứng hàng thứ 7 về tỷ lệ mới mắc trên thế giới và...
CASE LÂM SÀNG: ĐIỀU TRỊ UNG THƯ ĐẠI TRÀNG GIAI ĐOẠN MUỘN BẰNG HÓA CHẤT KẾT HỢP THUỐC KHÁNG TĂNG SINH MẠCH TẠI TRUNG TÂM YHHN VÀ UNG BƯỚU BỆNH VIỆN BẠCH MAI
Hiện nay, ung thư đại tràng là một trong những loại ung thư phổ biến nhất trên thế giới cũng như tại Việt Nam. Theo GLOBOCAN 2022, ung thư đại tràng đứng thứ ba trên thế giới về tỷ lệ mắc và đứng thứ hai về tỷ lệ tử vong, với 1,9 triệu ca...
Ca lâm sàng: Phát hiện, chẩn đoán giai đoạn sớm một bệnh nhân mắc đồng thời ung thư phổi và ung thư tuyến giáp tại Trung tâm Y học hạt nhân và Ung bướu, bệnh viện Bạch Mai
Trong lĩnh vực ung thư, thì chẩn đoán, đánh giá chính xác giai đoạn bệnh là một trong những yếu tố quyết định hiệu quả điều trị,  tiên lượng sống còn trong hầu hết các loại ung thư. Tuy nhiên, phần lớn bệnh nhân đến khám khi đã xuất hiện...
Mai Trong Khoa GS.TS. Mai Trọng Khoa Giám đốc Trung tâm Y học hạt nhân và Ung bướu, Phó giám đốc Bệnh viện Bạch Mai
Gửi câu hỏi của bạn
Triển vọng cho những người bị ung thư đại tràng thường phụ thuộc vào giai đoạn bệnh. Những người phát hiện bệnh sớm và điều trị kịp thời có khả năng sống ít nhất 5 năm là 90%. Trong trường hợp ung thư đại tràng đã di căn, tỉ lệ sống sót sau năm năm...
Các phương pháp điều trị ung thư bao gồm:- Phẫu thuật: Phẫu thuật cắt bỏ tế bào ung thư là phương pháp phổ biến được sử dụng nhiều, đối với phương pháp phẫu thuật triệt để có khả năng chữa khỏi nhiều loại ung thư khi còn ở giai đoạn sớm, nhất là đối...

Nguyên nhân gây ung thư?

(Lê Hoài Anh - Hà Nội)
Đến nay chưa xác định rõ được nguyên nhân gây ung thư, nhưng một số yếu tố được cho là làm tăng nguy cơ mắc bệnh bao gồm:- Các chất gây ung thư vật lý: tia cực tím (UV) và bức xạ ion hóa.- Các chất gây ung thư hóa học: khói Amiăng và khói thuốc lá.-...
Hơn một và một nửa triệu ca ung thư mới được chẩn đoán mỗi năm. Bất cứ ai cũng có thể bị ung thư ở mọi lứa tuổi, nhưng nguy cơ sẽ tăng lên cùng với tuổi tác. Khoảng 78% trường hợp ung thư được chẩn đoán ở những người 55 tuổi trở lên. Ung thư có thể...
Ung thư (cancer) là tên dùng chung để mô tả một nhóm các bệnh phản ảnh những sự thay đổi về sinh sản, tăng trưởng và chức năng của tế bào. Các tế bào bình thường trở nên bất thường (đột biến) và tăng sinh một cách không kiểm soát, xâm lấn các mô ở...
Case lâm sàng: Ứng dụng trí tuệ nhân tạo (Artificial intelligence – AI) trong chẩn đoán và điều trị sớm Ung thư phổi tại Trung tâm Y học hạt nhân và Ung bướu, Bệnh viện Bạch Mai
Theo GLOBOCAN 2022, ung thư phổi đứng đầu về số ca mới mắc (2.480.301 ca mới mắc chiểm 12.4%) và dẫn đầu số ca tử vong (1.817.172 ca tử vong chiếm 18.7%) trên toàn thế giới.  Tại Việt Nam tỷ lệ mắc ung thư phổi xếp thứ ba 13,5% lệ tử vong...
CASE LÂM SÀNG: CHẨN ĐOÁN BỆNH NHÂN MẮC HAI UNG THƯ:  GIST RUỘT NON VÀ UNG THƯ TUYẾN GIÁP TẠI TRUNG TÂM Y HỌC HẠT NHÂN VÀ UNG BƯỚU, BỆNH VIỆN BẠCH MAI
U mô đệm đường tiêu hóa (GIST) là bệnh lý hiếm gặp, chiếm 0,1% – 3% các u ác tính đường tiêu hóa với tỷ lệ mắc mới hàng năm từ 10 – 15 ca/triệu dân. Theo GLOBOCAN 2022, ung thư tuyến giáp đứng hàng thứ 7 về tỷ lệ mới mắc trên thế giới và...