Trung tâm Y học Hạt nhân và Ung bướu
Bệnh viện Bạch Mai Trung tâm Y học Hạt nhân và Ung bướu The Nuclear Medicine and Oncology center
  • Trang chủ
  • Giới thiệu
  • Ung thư
  • Y học hạt nhân
  • Gen trị liệu
  • Ca lâm sàng
  • Đào tạo & Nghiên cứu
  • Tư vấn bệnh nhân
  • Thư viện
    • Thư viện video
    • Thư viện ảnh
    • Thư viện download
  • Liên hệ
  • Tài liệu chuyên môn

Ung thư

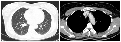
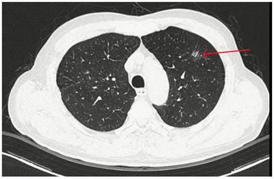
Case lâm sàng: Ứng dụng trí tuệ nhân tạo (Artificial intelligence – AI) trong chẩn đoán và điều trị sớm Ung thư phổi tại Trung tâm Y học hạt nhân và Ung bướu, Bệnh viện Bạch Mai

Case lâm sàng: Ứng dụng trí tuệ nhân tạo (Artificial intelligence – AI) trong chẩn đoán và điều trị sớm Ung thư phổi tại Trung tâm Y học hạt nhân và...

Ngày đăng: 17/01/2026
Theo GLOBOCAN 2022, ung thư phổi đứng đầu về số ca mới mắc (2.480.301 ca mới mắc chiểm 12.4%) và dẫn đầu số ca tử vong (1.817.172 ca tử vong chiếm 18.7%) trên toàn thế giới.  Tại Việt Nam tỷ lệ mắc...
Điều trị đích ung thư tuyến giáp thể biệt hoá kháng I-131

Điều trị đích ung thư tuyến giáp thể biệt hoá kháng I-131

Ngày đăng: 16/01/2026
Theo thống kê của Tổ chức Ung thư toàncầu (GLOBOCAN) năm 2022, ung thư tuyến giáp đứng ở vị trí số 7 trong số các loại ung thư thường gặp trên thế giới với khoảng 821.214 ca mắc mới và 47.507 ca tử...
CA LÂM SÀNG HIỆU QUẢ ĐIỀU TRỊ HOÁ TRỊ CHO BỆNH NHÂN  UNG THƯ BIỂU MÔ TUYẾN KÉM BIỆT HOÁ DI CĂN HẠCH CHƯA RÕ NGUYÊN PHÁT

CA LÂM SÀNG HIỆU QUẢ ĐIỀU TRỊ HOÁ TRỊ CHO BỆNH NHÂN UNG THƯ BIỂU MÔ TUYẾN KÉM BIỆT HOÁ DI CĂN HẠCH CHƯA RÕ NGUYÊN PHÁT

Ngày đăng: 16/01/2026
Ung thư nguyên phát không rõ nguồn gốc (Cancer of Unknown Primary - CUP) được định nghĩa là bệnh lý ác tính được xác định bằng mô bệnh học tại vị trí di căn nhưng không tìm được khối u nguyên phát...
PSMA PET/CT: Hướng dẫn quy trình chung của EANM) / SNMMI đối với hình ảnh học ung thư tuyến tiền liệt phiên bản 2.0

PSMA PET/CT: Hướng dẫn quy trình chung của EANM) / SNMMI đối với hình ảnh học ung thư tuyến tiền liệt phiên bản 2.0

Ngày đăng: 16/01/2026
Tại đây, chúng tôi nhằm mục đích cung cấp các hướng dẫn và tiêu chuẩn cập nhật cho việc chỉ định, thu nhận và diễn giải hình ảnh PSMA PET/CT trong ung thư tuyến tiền liệt. Các quy trình và đặc điểm...
CASE LÂM SÀNG: CHẨN ĐOÁN BỆNH NHÂN MẮC HAI UNG THƯ:  GIST RUỘT NON VÀ UNG THƯ TUYẾN GIÁP TẠI TRUNG TÂM Y HỌC HẠT NHÂN VÀ UNG BƯỚU, BỆNH VIỆN BẠCH MAI

CASE LÂM SÀNG: CHẨN ĐOÁN BỆNH NHÂN MẮC HAI UNG THƯ: GIST RUỘT NON VÀ UNG THƯ TUYẾN GIÁP TẠI TRUNG TÂM Y HỌC HẠT NHÂN VÀ UNG BƯỚU, BỆNH VIỆN BẠCH MAI

Ngày đăng: 14/01/2026
U mô đệm đường tiêu hóa (GIST) là bệnh lý hiếm gặp, chiếm 0,1% – 3% các u ác tính đường tiêu hóa với tỷ lệ mắc mới hàng năm từ 10 – 15 ca/triệu dân. Theo GLOBOCAN 2022, ung thư tuyến giáp đứng hàng...
CASE LÂM SÀNG: ĐIỀU TRỊ UNG THƯ ĐẠI TRÀNG GIAI ĐOẠN MUỘN BẰNG HÓA CHẤT KẾT HỢP THUỐC KHÁNG TĂNG SINH MẠCH TẠI TRUNG TÂM YHHN VÀ UNG BƯỚU BỆNH VIỆN BẠCH MAI

CASE LÂM SÀNG: ĐIỀU TRỊ UNG THƯ ĐẠI TRÀNG GIAI ĐOẠN MUỘN BẰNG HÓA CHẤT KẾT HỢP THUỐC KHÁNG TĂNG SINH MẠCH TẠI TRUNG TÂM YHHN VÀ UNG BƯỚU BỆNH VIỆN...

Ngày đăng: 14/01/2026
Hiện nay, ung thư đại tràng là một trong những loại ung thư phổ biến nhất trên thế giới cũng như tại Việt Nam. Theo GLOBOCAN 2022, ung thư đại tràng đứng thứ ba trên thế giới về tỷ lệ mắc và đứng thứ...
Nhắm mục tiêu KRAS G12C trong NSCLC: cân bằng lợi ích–rủi ro của việc điều trị kết hợp bước đầu vẫn còn là thách thức

Nhắm mục tiêu KRAS G12C trong NSCLC: cân bằng lợi ích–rủi ro của việc điều trị kết hợp bước đầu vẫn còn là thách thức

Ngày đăng: 13/01/2026
Các báo cáo tại Hội nghị Ung thư Phổi Châu Âu (ELCC) 2025 (Paris, 26–29 tháng 3) đã cung cấp những hiểu biết mới về phương pháp điều trị cho bệnh nhân ung thư phổi không tế bào nhỏ (NSCLC) có đột...
HIỆU QUẢ CỦA PHẪU THUẬT ĐỂ GIẢM NGUY CƠ ĐỐI VỚI UNG THƯ BUỒNG TRỨNG Ở BỆNH NHÂN KHÔNG MANG ĐỘT BIẾN GEN BRCA

HIỆU QUẢ CỦA PHẪU THUẬT ĐỂ GIẢM NGUY CƠ ĐỐI VỚI UNG THƯ BUỒNG TRỨNG Ở BỆNH NHÂN KHÔNG MANG ĐỘT BIẾN GEN BRCA

Ngày đăng: 12/01/2026
Phẫu thuật cắt bỏ hai bên buồng trứng và vòi trứng hiện là một biện pháp dự phòng đã được xác lập nhằm giảm nguy cơ ung thư buồng trứng ở những bệnh nhân mang đột biến gen BRCA1 và BRCA2. Tuy nhiên,...
Liệu pháp 177Lu-PSMA-617 kết hợp nội tiết cải thiện thời gian sống bệnh không tiến triển trên hình ảnh học trên bệnh nhân ung thư tuyến tiền liệt di căn chưa điều trị nội tiết.

Liệu pháp 177Lu-PSMA-617 kết hợp nội tiết cải thiện thời gian sống bệnh không tiến triển trên hình ảnh học trên bệnh nhân ung thư tuyến tiền liệt di...

Ngày đăng: 12/01/2026
Liệu pháp LuPSMA-617 kết hợp hormone giúp cải thiện thời gian sống không tiến triển trên hình ảnh học ở ung thư tuyến tiền liệt di căn chưa điều trị hormone. Việc bổ sung PSMA-617 gắn lutetium-177...
Lợi ích lâu dài của phẫu thuật cắt bỏ hai bên vòi trứng và buồng trứng trên bệnh nhân ung thư vú có mang gen BRCA1 và BRCA2: kết quả từ một nghiên cứu mới đây.

Lợi ích lâu dài của phẫu thuật cắt bỏ hai bên vòi trứng và buồng trứng trên bệnh nhân ung thư vú có mang gen BRCA1 và BRCA2: kết quả từ một nghiên...

Ngày đăng: 12/01/2026
Những người mang đột biến gen BRCA1 và BRCA2 có nguy cơ mắc ung thư vú và buồng trứng cao hơn. Để giảm thiểu nguy cơ ung thư buồng trứng, phẫu thuật cắt bỏ vòi trứng và buồng trứng hai bên (bilateral...
12345 ...117

Tìm kiếm thông tin

Tin tiêu điểm

CÁC TIÊU CHÍ ĐÁNH GIÁ THƯỜNG GẶP TRONG CÁC THỬ NGHIỆM LÂM SÀNG BỆNH UNG THƯ

CÁC TIÊU CHÍ ĐÁNH GIÁ THƯỜNG GẶP TRONG CÁC THỬ NGHIỆM LÂM SÀNG BỆNH UNG THƯ

(29/12/2025)
Tỷ lệ mắc và tử vong do ung thư tại Việt Nam gia tăng

Tỷ lệ mắc và tử vong do ung thư tại Việt Nam gia tăng

(04/08/2025)
Đường Link các báo cáo Hội nghị Cập nhật tiến bộ trong điều trị ung thư vú tổ chức tại Bệnh viện Bạch Mai ngày 12/8/2022

Đường Link các báo cáo Hội nghị Cập nhật tiến bộ trong điều trị ung thư vú tổ chức tại Bệnh viện Bạch Mai ngày 12/8/2022

(17/08/2022)
Tế bào gốc trung mô và ứng dụng trong y học tái tạo

Tế bào gốc trung mô và ứng dụng trong y học tái tạo

(21/02/2018)

Tin tức - Sự kiện

Tỷ lệ mắc và tử vong do ung thư tại Việt Nam gia tăng

Tỷ lệ mắc và tử vong do ung thư tại Việt Nam gia tăng

(04/08/2025)
Miễn dịch trị liệu ung thư - bước tiến vượt bậc của y học hiện đại

Miễn dịch trị liệu ung thư - bước tiến vượt bậc của y học hiện đại

(04/08/2025)
TỔNG QUAN VỀ  HIỆU QUẢ CỦA ĐIỀU TRỊ ĐA MÔ THỨC CHO UNG THƯ BIỂU MÔ TẾ BÀO GAN QUÁ CHỈ ĐỊNH PHẪU THUẬT: ĐÁNH GIÁ QUA CA LÂM SÀNG ĐƠN LẺ

TỔNG QUAN VỀ HIỆU QUẢ CỦA ĐIỀU TRỊ ĐA MÔ THỨC CHO UNG THƯ BIỂU MÔ TẾ BÀO GAN QUÁ CHỈ ĐỊNH PHẪU THUẬT: ĐÁNH GIÁ QUA CA LÂM SÀNG ĐƠN LẺ

(18/08/2024)
Điều trị bệnh nhân mắc  Ung thư tuyến giáp thể nang di căn phổi

Điều trị bệnh nhân mắc Ung thư tuyến giáp thể nang di căn phổi

(06/08/2024)

Hướng dẫn Khám chữa bệnh

Hạt phóng xạ có thể điều trị tận gốc bệnh ung thư vú

Hạt phóng xạ có thể điều trị tận gốc bệnh ung thư vú

(24/12/2013)
Quỹ bảo hiểm y tế chi hơn 4.400 tỷ đồng cho bệnh nhân ung thư

Quỹ bảo hiểm y tế chi hơn 4.400 tỷ đồng cho bệnh nhân ung thư

(20/11/2008)
10 triệu chứng phát hiện ung thư buồng trứng sớm không thể bỏ qua cho mọi lứa tuổi

10 triệu chứng phát hiện ung thư buồng trứng sớm không thể bỏ qua cho mọi lứa tuổi

(10/05/2017)
Tác dụng phụ thường gặp khi hóa trị

Tác dụng phụ thường gặp khi hóa trị

(20/11/2008)

Video clip

  • Chương trình Ánh sáng tri thức - Khoa học hóa thành sự sống
  • Hội nghị khoa học quốc tế Hội Miễn dịch trị liệu ung thư Việt Nam Ngày 01-02/08/2024
  • Hội nghị cập nhật tiến bộ trong điêu trị ung thư vú tại Bệnh viện Bạch Mai ngày 12/8/2022

 

Thống kê truy cập

Members : 4496
Content : 1268
Web Links : 3
Content View Hits : 358314

Trung tâm Y học Hạt nhân và Ung bướu

Trung Tâm Y Học Hạt Nhân và Ung Bướu Bệnh Viện Bạch Mai

Địa chỉ: Số 78, Đường Giải Phóng, Phương Mai, Đống Đa, Hà Nội Điện thoại: (04) 3576 5590 Email: tuvan@ungthubachmai.com.vn, ungbuoubachmai@gmail.com
Liên hệ, góp ý Bản đồ
Tổng biên tập: GS.TS. Mai Trọng Khoa Giấy phép số 125/GP-TTĐT, Cục quản lý phát thanh, truyền hình và thông tin điện tử cấp ngày 17 tháng 6 năm 2010. Ghi rõ nguồn "ungthubachmai.com.vn" khi phát hành lại thông tin từ website này.
© 2017 Bản quyền thuộc về Trung tâm Y học Hạt nhân và Ung bướu
Thiết kế website bởi BICWeb.vn™