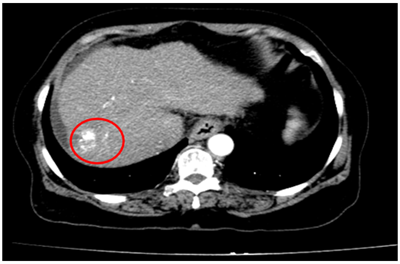
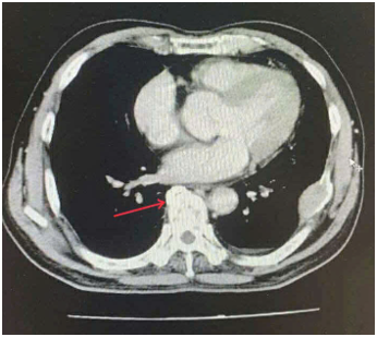
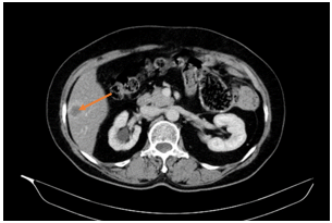
Ca lâm sàng: Điều trị đích bệnh nhân ung thư phổi không tế bào nhỏ giai đoạn muộn di căn nhiều cơ quan, tại Trung tâm Y học hạt nhân và Ung bướu – Bệnh viện Bạch Mai
Ung thư phổi là nguyên nhân hàng đầu gây tử vong do ung thư trên toàn thế giới. Trong đó, ung thư phổi không tế bào nhỏ (NSCLC) là thể thường gặp nhất, chiếm khoảng 85% các trường hợp [1]. Phần lớn bệnh nhân được chẩn đoán ở giai đoạn tiến...
Ca lâm sàng:Hiệu quả điều trị đích bằng Osimertinib ở bệnh nhân UT biểu mô tuyến của phổi giai đoạn IV có đột biến gen EGFR L858R (Exon 21) tại Trung tâm YHHN&UB-Bệnh viện Bạch Mai
Ung thư phổi là một trong những ung thư có tỷ lệ mắc và tử vong cao nhất trên toàn thế giới. Theo GLOBOCAN 2022, ung thư phổi đứng thứ hai về số ca mắc mới với khoảng 2,5 triệu trường hợp mỗi năm và là nguyên nhân hàng đầu gây tử vong do...
CASE LÂM SÀNG:  ĐIỀU TRỊ BỆNH NHÂN BASEDOW KHÁNG THUỐC KHÁNG GIÁP CÓ SUY TIM, Ứ MẬT BẰNG THUỐC PHÓNG XẠ I-131 TẠI TRUNG TÂM YHHN VÀ UNG BƯỚU BỆNH VIỆN BẠCH MAI
Cường giáp trạng là tình trạng tuyến giáp hoạt động quá mức dẫn đến sản xuất hormon tuyến giáp nhiều hơn bình thường, gây ra những rối loạn trong hoạt động chuyển hóa. Basedow là dạnHàg cường giáp phổ biến nhất (chiếm 90% các trường hợp...
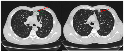
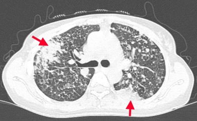
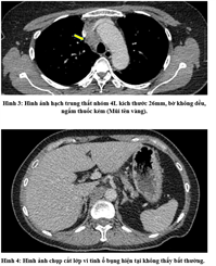
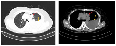
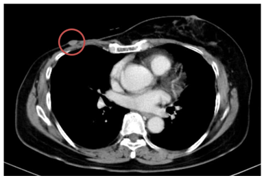
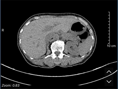
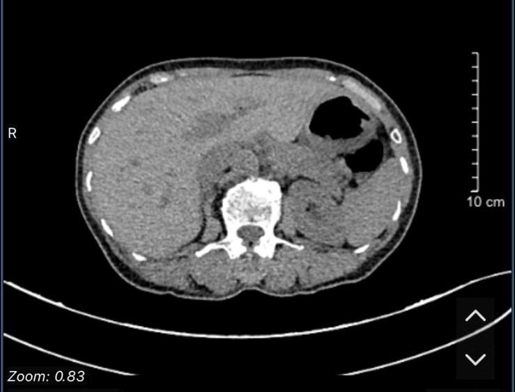
Ca lâm sàng: Điều trị đích bệnh nhân ung thư phổi không tế bào nhỏ giai đoạn muộn di căn nhiều cơ quan, tại Trung tâm Y học hạt nhân và Ung bướu – Bệnh viện Bạch Mai
Ung thư phổi là nguyên nhân hàng đầu gây tử vong do ung thư trên toàn thế giới. Trong đó, ung thư phổi không tế bào nhỏ (NSCLC) là thể thường gặp nhất, chiếm khoảng 85% các trường hợp [1]. Phần lớn bệnh nhân được chẩn đoán ở giai đoạn tiến...
Ca lâm sàng:Hiệu quả điều trị đích bằng Osimertinib ở bệnh nhân UT biểu mô tuyến của phổi giai đoạn IV có đột biến gen EGFR L858R (Exon 21) tại Trung tâm YHHN&UB-Bệnh viện Bạch Mai
Ung thư phổi là một trong những ung thư có tỷ lệ mắc và tử vong cao nhất trên toàn thế giới. Theo GLOBOCAN 2022, ung thư phổi đứng thứ hai về số ca mắc mới với khoảng 2,5 triệu trường hợp mỗi năm và là nguyên nhân hàng đầu gây tử vong do...
Mai Trong Khoa GS.TS. Mai Trọng Khoa Giám đốc Trung tâm Y học hạt nhân và Ung bướu, Phó giám đốc Bệnh viện Bạch Mai
Gửi câu hỏi của bạn
Triển vọng cho những người bị ung thư đại tràng thường phụ thuộc vào giai đoạn bệnh. Những người phát hiện bệnh sớm và điều trị kịp thời có khả năng sống ít nhất 5 năm là 90%. Trong trường hợp ung thư đại tràng đã di căn, tỉ lệ sống sót sau năm năm...
Các phương pháp điều trị ung thư bao gồm:- Phẫu thuật: Phẫu thuật cắt bỏ tế bào ung thư là phương pháp phổ biến được sử dụng nhiều, đối với phương pháp phẫu thuật triệt để có khả năng chữa khỏi nhiều loại ung thư khi còn ở giai đoạn sớm, nhất là đối...

Nguyên nhân gây ung thư?

(Lê Hoài Anh - Hà Nội)
Đến nay chưa xác định rõ được nguyên nhân gây ung thư, nhưng một số yếu tố được cho là làm tăng nguy cơ mắc bệnh bao gồm:- Các chất gây ung thư vật lý: tia cực tím (UV) và bức xạ ion hóa.- Các chất gây ung thư hóa học: khói Amiăng và khói thuốc lá.-...
Hơn một và một nửa triệu ca ung thư mới được chẩn đoán mỗi năm. Bất cứ ai cũng có thể bị ung thư ở mọi lứa tuổi, nhưng nguy cơ sẽ tăng lên cùng với tuổi tác. Khoảng 78% trường hợp ung thư được chẩn đoán ở những người 55 tuổi trở lên. Ung thư có thể...
Ung thư (cancer) là tên dùng chung để mô tả một nhóm các bệnh phản ảnh những sự thay đổi về sinh sản, tăng trưởng và chức năng của tế bào. Các tế bào bình thường trở nên bất thường (đột biến) và tăng sinh một cách không kiểm soát, xâm lấn các mô ở...
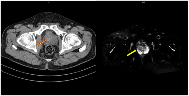
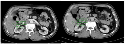
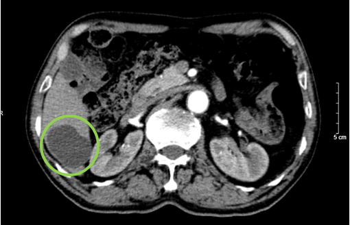
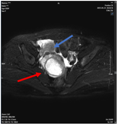
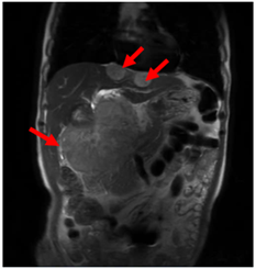
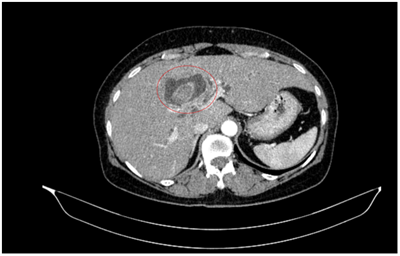
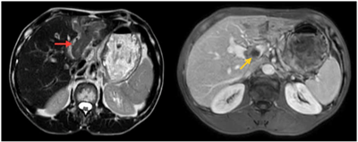
UNG THƯ BIỂU MÔ TẾ BÀO THẬN
Ung thư thận là loại ung thư thường gặp đứng thứ 14 trên toàn cầu, với hơn 430.000 ca mới được chẩn đoán vào năm 2020, và 434840 ca mắc trên toàn cầu vào năm 2022. Tỷ lệ mắc thay đổi theo khu vực địa lý, cao hơn ở châu Âu và Bắc Mỹ. Ung...
ĐAU TRONG UNG THƯ DI CĂN XƯƠNG
Hệ xương là vị trí phổ biến thứ ba cho di căn ung thư, chỉ sau phổi và gan. Nhiều bệnh lý ung bướu như ung thư vú, tuyến tiền liệt, phổi và thận, có khuynh hướng di căn mạnh mẽ đến xương, gây đau, tăng canxi máu, gãy xương bệnh lý, chèn ép...
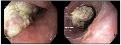
UNG THƯ DẠ DÀY KHỞI PHÁT SỚM
Theo Globocan 2022, ung thư dạ dày đứng thứ 5 về tỷ lệ mắc và tỷ lệ tử vong, với 968 784 ca mắc mới và 660 175 ca tử vong. Bệnh tiến triển thầm lặng, các triệu chứng ban đầu  thường mơ hồ và không đặc hiệu dễ nhầm lẫn với các bệnh lành...
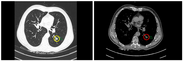
Case lâm sàng: Ứng dụng trí tuệ nhân tạo (Artificial intelligence – AI) trong chẩn đoán và điều trị sớm Ung thư phổi tại Trung tâm Y học hạt nhân và Ung bướu, Bệnh viện Bạch Mai
Theo GLOBOCAN 2022, ung thư phổi đứng đầu về số ca mới mắc (2.480.301 ca mới mắc chiểm 12.4%) và dẫn đầu số ca tử vong (1.817.172 ca tử vong chiếm 18.7%) trên toàn thế giới.  Tại Việt Nam tỷ lệ mắc ung thư phổi xếp thứ ba 13,5% lệ tử vong...