Case lâm sàng: Điều trị bệnh nhân mắc đồng thời hai loại ung thư: Ung thư đại tràng và Ung thư dạ dày tại Trung tâm Y học hạt nhân và Ung bướu, Bệnh viện Bạch Mai

Ngày đăng: 09/01/2026 Lượt xem 182

Case lâm sàng:
Điều trị bệnh nhân mắc đồng thời hai loại ung thư: Ung thư đại tràng và Ung thư dạ dày tại Trung tâm Y học hạt nhân và Ung bướu, Bệnh viện Bạch Mai
GS.TS. Mai Trọng Khoa, PGS.TS. Phạm Cẩm Phương, ThS.BS. Lê Văn Long, BSNT Nguyễn Ngọc Ánh
Trung tâm Y học hạt nhân và Ung bướu, Bệnh viện Bạch Mai


Theo GLOBOCAN 2022, ung thư đại - trực tràng (Colorectal cancer - CRC) là ung thư phổ biến đứng thứ 3 trên toàn thế giới, sau đó là ung thư dạ dày (Gastric cancer – GC) ở vị trí thứ 5.[1] Với sự tiến bộ và việc áp dụng rộng rãi sàng lọc ung thư, tỷ lệ phát hiện các khối u đồng thời đang gia tăng, có sự gia tăng đáng kể trong việc phát hiện các bệnh ung thư đồng thời và kế phát, với tỉ lệ mắc bệnh dao động từ 2.5 – 3.4%. Đặc biệt, ung thư đại - trực tràng là loại ung thư đồng thời và kế phát phổ biến nhất, chiếm 20,1% ở bệnh nhân ung thư dạ dày, tiếp đó là các bệnh ung thư tại phổi và gan. Phần lớn các ca ung thư đồng thời được phẫu thuật cùng lúc với ung thư dạ dày. [2]
Khoảng 85% nhóm ung thư đồng thời và 45% trong nhóm ung thư kế phát được phát hiện thông qua kiểm tra sức khỏe định kỳ mà không có triệu chứng từ trước. Không có trường hợp tử vong sau phẫu thuật và tỷ lệ sống còn chung sau 5 năm là 69,4%. [2]
Dựa trên những mối tương quan này, việc tầm soát ung thư đại trực tràng cho bệnh nhân ung thư dạ dày là điều cần thiết. Do tỷ lệ mắc thấp, chưa có khuyến nghị cụ thể nào được đưa ra. Tuy nhiên chẩn đoán sớm vẫn là yếu tố then chốt để cải thiện tiên lượng cho bệnh nhân ung thư. Đặc biệt đúng với các bệnh ung thư đồng thời, vì việc phát hiện kịp thời cho phép áp dụng các chiến lược điều trị hiệu quả hơn, cuối cùng giúp tăng tỷ lệ thuyên giảm và giảm cả tỷ lệ bệnh tật lẫn tỷ lệ tử vong.
Sau đây, chúng tôi xin giới thiệu 1 ca bệnh được chẩn đoán đồng thời cả 2 bệnh ung thư đại tràng và ung thư dạ dày, được điều trị tại Trung tâm Y học hạt nhân và Ung bướu – Bệnh viện Bạch Mai.

Bệnh nhân: P.T.T Giới: Nữ, 76 tuổi

Lí do vào viện: Đau bụng thượng vị âm ỉ

Bệnh sử: Bệnh nhân xuất hiện đau bụng thượng vị âm ỉ nhiều tháng nay, đau lan xuống mạn sườn trái, đau kiểu nóng rát kèm theo bệnh nhân nôn ra thức ăn, thèm ăn nhưng sợ thức ăn. Bệnh nhân không đau đầu hoa mắt chóng mặt, đại tiện phân vàng thành khuôn, gầy sút khoảng 7kg trong 2 tháng nay. Bệnh nhân đến Trung tâm Y học hạt nhân & Ung bướu khám.


Tình trạng lúc vào viện:
- Bệnh nhân tỉnh, tiếp xúc tốt
- PS=0
- Bụng mềm, không chướng.
- Gan lách không sờ thấy.
- Nhịp tim đều, T1, T2 rõ, không có tiếng tim bệnh lí.
- Phổi rì rào phế nang 2 bên rõ, không rale.
- Thể trạng trung bình, chiều cao: 150cm, cân nặng: 53 kg.
- Da niêm mạc hồng, không phù, không xuất huyết dưới da.
- Hạch ngoại vi không sờ thấy, nhiệt độ: 37 độ C.

Tiền sử:

- Bản thân: Đái tháo đường từ 2020 đang dùng metfotmin 500mg ngày 2 viên sáng tối
- Gia đình: Chưa phát hiện bất thường


Cận lâm sàng (trước mổ)
- Công thức máu: Hồng cầu 3.93T/L, Hb 107 g/L, Bạch cầu G/L và Tiểu cầu 466 G/L.
- Sinh hóa: Ure 3.9 mmol/L, Creatinin 70 μmol/l
- Tổng phân tích nước tiểu: trong giới hạn bình thường
- Điện giải đồ: trong giới hạn bình thường
- Đông máu: trong giới hạn bình thường
- Các chất chỉ điểm khối u: CEA: 2.41 ng/ml; CA 19-9: 21.1 U/mL;CA 72-4: 0.9 U/ml
- HbsAg (-), HCV (-), HIV (-)
- Siêu âm hạch vùng cổ: không thấy bất thường

- Nội soi dạ dày: Niêm mạc hang vị phù nề xung huyết, rải rác có vài trợt nông và có hình ảnh viêm teo niêm mạc dạ dày (C2), bờ teo lan qua góc bờ cong nhỏ. Mặt trước hang vị có ổ loét kích thước ~ 0.8cm, bờ phù nề, đáy phủ giả mạc trắng


Hình 1: Hình ảnh nội soi dạ dày có tổn thương phù nề xung huyết tại niêm mạc hang vị (bên trái) và ổ loét ở mặt trước hang vị (bên phải)

- Nội soi đại tràng: Đoạn cuối hồi tràng niêm mạc mềm mại, không có loét. Manh tràng có sùi loét lớn, bờ thâm nhiễm cứng (sinh thiết). Đại tràng: Đại tràng chuẩn bị chưa sạch, còn dịch phân hạn chế quan sát. Phần quan sát được: Niêm mạc hồng, nhẵn, không có u, không có loét. Trực tràng: Niêm mạc hồng, nhẵn, không có u, không có loét.

Hình 2: Hình ảnh nội soi đại tràng có tổn thương sùi loét lớn bờ thâm nhiễm cứng tại manh tràng (bên trái) và hình ảnh niêm mạc mềm mại tại hồi tràng (bên phải)

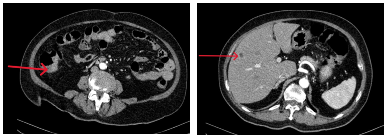
- Chụp CT ổ bụng có tiêm thuốc: Đại tràng lên thành dày 20mm, ngấm thuốc sau tiêm. Kích thước bình thường, bờ đều. Nhu mô gan phải có vài nốt giảm tỷ trọng 5mm ngấm thuốc kém sau tiêm

Hình 3: Chụp CT ổ bụng có hình ảnh dày thành đại tràng lên (bên trái) và nốt ngấm thuốc kém ở nhu mô gan (bên phải)

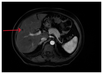
- Chụp MRI ổ bụng có tiêm thuốc đối quang từ: Gan kích thước bình thường, bờ đều. Nhu mô gan có vài nang đường kính 5mm, không thấy bất thường cấu trúc và tín hiệu.

Hình 4: Chụp MRI ổ bụng có hình ảnh nang gan (mũi tên)

- Chụp CT lồng ngực không tiêm thuốc cản quang:

Hình 5: Hình ảnh CT lồng ngực không tiêm thuốc cản quang chưa phát hiện bất thường

- Bệnh nhân được tiến hành sinh thiết tổn thương ở dạ dày và đại tràng:
- Giải phẫu bệnh (hang vị): Ung thư biểu mô tuyến kém biệt hóa
- Giải phẫu bệnh (manh tràng): Ung thư biểu mô tuyến biệt hóa vừa.

Chẩn đoán: Ung thư biểu mô tuyến biệt hóa vừa manh tràng cTxN0 - Ung thư biểu mô tuyến kém biệt hóa hang vị dạ dày cTxN0
Xử trí: Bệnh nhân được hội chẩn hội đồng chuyên môn, có chỉ định phẫu thuật.
Cụ thể: Bệnh nhân được phẫu thuật nội soi cắt đoạn đại tràng phải + vét hạch D3 và phẫu thuật nội soi cắt đoạn dạ dày + nạo vét hạch D2 + CME.

Cận lâm sàng (sau mổ)
- Giải phẫu bệnh sau mổ (đại tràng): Ung thư biểu mô tuyến biệt hóa vừa. (pT3N0) R0, 15/15 hạch viêm mạn tính.
- Giải phẫu bệnh sau mổ (dạ dày): Ung thư biểu mô tuyến kém biệt hóa xâm nhập lớp cơ niêm. R0, 17/17 hạch viêm mạn tĩnh
- Her-2 (-), dMMR
- Gene: Không có đột biên gen KRAS, Đột biến trên codon 600 tại exon 15 gen BRAF, DPYD bình thường.

Chẩn đoán xác định:
Ung thư biểu mô tuyến biệt hóa vừa đại tràng phải pT3N0M0 – Ung thư biểu mô tuyến kém biệt hóa hang vị dạ dày pT1bN0M0

Hướng điều trị tiếp theo:
Hóa chất bổ trợ

Lời bàn:
- Ung thư đồng thời (Synchronous cancer) là bất kỳ loại ung thư nào phát sinh trong vòng sáu tháng kể từ khi chẩn đoán một bệnh ung thư nguyên phát khác, trong khi ung thư kế phát (Metachronous cancer) xuất hiện sau khoảng thời gian này.[3] Một số nhà nghiên cứu cho rằng bệnh nhân được chẩn đoán mắc ung thư dạ dày phải đối mặt với nguy cơ cao phát triển ung thư đại trực tràng đồng thời hoặc kế phát, điều này cho thấy có thể có mối liên hệ về mặt di truyền và môi trường giữa hai tình trạng này.[4]
- Ung thư dạ dày và ung thư đại trực tràng đồng thời đặt ra một thách thức đặc biệt trong quản lý lâm sàng do sự hiếm gặp và thiếu các hướng dẫn đã được thiết lập. Sự hợp tác chặt chẽ giữa các bác sĩ phẫu thuật và ung bướu là rất cần thiết để xây dựng một kế hoạch điều trị toàn diện và tối ưu hóa kết quả cho bệnh nhân. [5]
- Phẫu thuật vẫn là nền tảng của việc điều trị. Tuy nhiên, trình tự tối ưu giữa việc cắt đại tràng và cắt dạ dày vẫn là một chủ đề còn tranh cãi. [5]
- Bệnh nhân ung thư dạ dày có nguy cơ phát triển ung thư nguyên phát thứ hai, đồng thời hoặc kế phát. Mặc dù tiên lượng cho bệnh nhân ung thư dạ dày đã được cải thiện, sự gia tăng tỷ lệ mắc ung thư nguyên phát thứ hai, chủ yếu là ung thư đại - trực tràng, đã ảnh hưởng tiêu cực đến kết quả điều trị ung thư dạ dày. Ở những bệnh nhân có nguy cơ cao mắc ung thư kép ở dạ dày và đại trực tràng, cần xem xét các hội chứng di truyền có khuynh hướng gây ung thư, bao gồm ung thư dạ dày lan tỏa di truyền (HDGC), bệnh đa polyp tuyến gia đình (FAP), ung thư đại trực tràng di truyền không đa polyp (HNPCC), hội chứng Lynch (LS) và ba hội chứng đa polyp hamartoma chính liên quan đến ung thư đại trực tràng và ung thư dạ dày, đó là hội chứng Peutz-Jeghers (PJS), hội chứng đa polyp vị thành niên (JPS), và hội chứng hamartoma PTEN (PTHS). Do đó, việc đánh giá cẩn thận thông qua các cuộc kiểm tra trước và sau phẫu thuật cũng như tìm hiểu cơ sở di truyền và phân tử của các bệnh ung thư nguyên phát thứ hai là rất quan trọng.[6]



Tài liệu tham khảo

1. Bray F, Laversanne M, Sung H, et al. Global cancer statistics 2022: GLOBOCAN estimates of incidence and mortality worldwide for 36 cancers in 185 countries. CA Cancer J Clin. 2024;74(3):229-263. doi:10.3322/caac.21834
2. Eom BW, Lee HJ, Yoo MW, et al. Synchronous and metachronous cancers in patients with gastric cancer. J Surg Oncol. 2008;98(2):106-110. doi:10.1002/jso.21027
3. Pan SY, Huang CP, Chen WC. Synchronous/Metachronous Multiple Primary Malignancies: Review of Associated Risk Factors. Diagnostics. 2022;12(8):1940. doi:10.3390/diagnostics12081940
4. Suh BJ. Synchronous and Metachronous Colon Cancers in Patients with Gastric Cancer: Report of 2 Cases. Case Rep Oncol. 2016;9(3):752-759. doi:10.1159/000452831
5. Campuzano N, Fernandez Trokhimtchouk T, Flores LF, Otanez ES, Guallasamín E. Synchronous Gastric and Colon Cancer. Cureus. 15(11):e48437. doi:10.7759/cureus.48437
6. Azer SA. Dual primary gastric and colorectal cancer: The known hereditary causes and underlying mechanisms. World J Gastrointest Oncol. 2024;16(6):2264-2270. doi:10.4251/wjgo.v16.i6.2264




Tin liên quan