Ca lâm sàng: Vai trò của phối hợp thuốc nội tiết thế hệ mới và ADT trong điều trị ung thư tuyến tiền liệt giai đoạn di căn còn nhạy cảm với nội tiết tại bệnh viện Bạch Mai

Ngày đăng: 09/01/2026 Lượt xem 230

Ca lâm sàng: Vai trò của phối hợp thuốc nội tiết thế hệ mới và ADT trong điều trị ung thư tuyến tiền liệt giai đoạn di căn còn nhạy cảm với nội tiết tại bệnh viện Bạch Mai

GS. TS. Mai Trọng Khoa, PGS. TS Phạm Cẩm Phương, PGS. TS. Phạm Văn Thái, BSNT. Mẫn Thị Huế

Trung tâm Y học hạt nhân và Ung bướu - Bệnh viện Bạch Mai

Trường Đại học Y Dược - Đại học Quốc Gia Hà Nội

Ung thư tuyến tiền liệt (UTTTL) là loại ung thư phổ biến nhất ở nam giới tại nhiều quốc gia và là nguyên nhân tử vong do ung thư đứng hàng thứ ba sau ung thư phổi và ung thư đại trực tràng. Theo thống kê GLOBOCAN 2022, toàn cầu ghi nhận khoảng 1.5 triệu ca mới UTTTL và 375.300 ca tử vong, cho thấy gánh nặng bệnh vẫn rất lớn, đặc biệt ở các nước có dân số già hóa nhanh [1].

Ung thư tuyến tiền liệt giai đoạn di căn còn nhạy cảm với nội tiết (metastatichormone - sensitive prostate cancer – mHSPC), liệu pháp cắt tinh hoàn y học (androgen deprivation therapy – ADT) là nền tảng điều trị lâu đời. Tuy nhiên,trong những năm gần đây, các nghiên cứu lớn đã chứng minh rằng việc phối hợp ADT với các thuốc nội tiết thế hệ mới như Abiraterone, Enzalutamide hoặc Apalutamide ngay từ đầu mang lại lợi ích vượt trội về sống còn và thời gian kiểm soát bệnh so với ADT đơn thuần [2,3].

Ở Việt Nam, ngày càng có nhiều bệnh nhân được tiếp cận với thuốc nội tiết thế hệ mới thông qua bảo hiểm y tế hoặc các chương trình hỗ trợ bệnh nhân, mở ra cơ hội cải thiện kết quả điều trị trong thực hành thường ngày. Báo cáo dưới đây trình bày một trường hợp bệnh nhân mHSPC điều trị phối hợp ADT và Enzalutamide tại Bệnh viện Bạch Mai, nhằm làm rõ vai trò của chiến lược phối hợp này trong thực tế lâm sàng.

Sau đây, chúng tôi xin giới thiệu một trường hợp lâm sàng bệnh nhân ung thư tuyến tiền liệt giai đoạn di căn còn nhạy còn với nội tiết được điều trị thuốc ADT kết hợp với nội tiết thế hệ mới đáp ứng tốt tại Trung tâm Y học hạt nhân và ung bướu - Bệnh viện Bạch Mai.

Họ và tên: Nguyễn Đức H.                          Giới: Nam                        Tuổi: 66

Ngày vào viện:11/03/2025

Lý do vào viện: tiểu k

Bệnh sử: Cách vào viện 1 tháng, bệnh nhân xuất hiện tiểu khó, tiểu rắt, không tiểu máu, không sốt, không đau bụng, chưa điều trị gì. Bệnh nhân đến khám tại Bệnh viện Bạch Mai, chụp cộng hưởng từ tiểu khung: hình ảnh u tiền liệt tuyến kích thước 30x40mm xâm lấn túi tinh phải. Sau đó bệnh nhân được chuyển đến Trung tâm Y học hạt nhân và Ung bướu, Bệnh viện Bạch Mai điều trị.

Tiền sử:

  Bản thân: Đái tháo đường type 2 đang điều trị Perglim M2 1 viên/ngày, Tăng huyết áp đang điều trị Coveram 1 viên/ngày, Suy thượng thận đang điều trị Hydrocortisone 10mg 3 viên/ngày.

     Gia đình: Không ai mắc bệnh ung thư

Khám lâm sàng:

     Bệnh nhân tỉnh, Glasgow 15 điểm

     Toàn trạng PS 0

     Huyết động ổn

     Da niêm mạc hồng

     Đau cột sống thắt lưng, đau xương chậu 2 bên vas 4/10 điểm

     Tim đều, T1, T2 rõ, không có tiếng thổi bệnh lý

     Phổi rì rào phế nang rõ, không có rales

    Bụng mềm, không chướng

     Tiểu khó, tiểu rắt, không tiểu buốt, không tiểu máu

   Thăm trực tràng: mặt sau bên phải tuyến tiền liệt sờ thấy một nhân cứng, mật độ rắn chắc, giới hạn không rõ, bề mặt lổn nhổn

     Các cơ quan khác chưa phát hiện bất thường

Cận lâm sàng:

- Công thức máu (11/03/2025):trong giới hạn bình thường

- Sinh hóa máu (11/03/2025): trong giới hạn bình thường

- Chất chỉ điểm khối u (17/03/2025):

PSA toàn phần: 311.0 ng/mL tăng gấp 78 lần (bình thường 0-4); PSA tự do: 50.0ng/mL; fPSA/tPSA: 16,1% < 20%

- Kết quả sinh thiết làm mô bệnh học và nhuộm hóa mô miễn dịch:

Phải:Ung thư biểu mô tuyến của tuyến tiền liệt, Gleason 4+5=9 điểm

Trái:Ung thư biểu mô tuyến của tuyến tiền liệt, Gleason 5+4=9 điểm

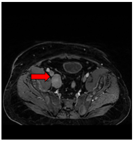
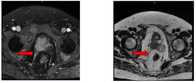
- Chụp cộng hưởng từ tiểu khung: (14/03/2025)

+ Hình ảnh u tuyến tiền liệt kích thước 30x40mm, xâm lấn túi tinh phải.

+ Các ổ tổn thương xương cùng, xương chậu, cổ xương đùi 2 bên, hạch cạnh bó mạch chậu bên phải kích thước 31x22mm - Theo dõi thứ phát


Hình 1. Hình ảnh chụp cộng hưởng từ tiểu khung: Hình ảnh u tuyến tiền liệt kích thước 30x40mm, xâm lấn túi tinh phải (mũi tên màu đỏ)

Hình 2. Hình ảnh chụp cộng hưởng từ tiểu khung: Hạch cạnh bó mạch chậu bên phải kích thước 31x22mm (mũi tên màu đỏ)

Chẩn đoán xác định: Ung thư biểu mô tuyến tuyến tiền liệt cT3bN1M1b di căn xương đa ổ, giai đoạn IVB.

Điều trị: Bệnh nhân được chỉ định điều trị thuốc ức chế Androgen (ADT) kết hợp với thuốc nội tiết thế hệ mới:

- Thuốc ADT: Firmagon (Degarelix) - thuốc đối vận thụ thể GnRH, liều tấn công: 2 mũi 120mg tiêm dưới da bụng 2 vị trí. Sau đó duy trì liều 80mg mỗi 4 tuần.

- Thuốc nội tiết thế hệ mới: Xtandi (Enzalutamide) 40mg x 4 viên/ngày

Đánh giá sau 2 chu kỳ điều trị thuốc ADT kết hợp thuốc nội tiết thế hệ mới:

- Lâm sàng: toàn trạng ổn định, không tiểu khó, không tiểu buốt, không tiểu dắt, đỡ đau xương cột sống thắt lưng, xương chậu 2 bên vas 1/10 điểm

- Cận lâm sàng:

+ Chất chỉ điểm khối u:

PSA toàn phần (28/04): 1.17 ng/mL bình thường

PSA toàn phần (03/06): 0.25 ng/mL bình thường

+ Chụp cắt lớp vi tính ổ bụng (09/06/2025): Tiểu khung: không thấy bất thường.Không thấy hạch bất thường. Các ổ đặc xương các thân đốt sống, xương cánh chậu,xương ngồi 2 bên - theo dõi thứ phát.

Nhận xét: Sau 2 chu kỳ điều trị bằng Firmagon kết hợp Enzalutamide, bệnh nhân đáp ứng lâm sàng tốt, đỡ đau xương, toàn trạng cải thiện. Xét nghiệm cho thấy PSA giảm nhanh từ 311 ng/mL xuống 0,25 ng/mL. Chụp cắt lớp vi tính ổ bụng không ghi nhận hạch ổ bụng hay bất thường tại vùng tiểu khung. Dữ kiện này gợi ý đáp ứng điều trị bước đầu tốt.

Lời bàn:

Trong điều trị ung thư tuyến tiền liệt di căn còn nhạy với nội tiết (mHSPC), liệu pháp kháng androgen truyền thống bằng ADT đơn thuần đã bị thay thế dần bởi chiến lược kết hợp với thuốc nội tiết thế hệ mới nhằm cải thiện sống còn. Nhiều thử nghiệm pha III gần đây đã khẳng định rằng việc kết hợp ADT với Abiraterone, Enzalutamide hoặc Apalutamide giúp kéo dài đáng kể thời gian sống còn toàn bộ (OS), thời gian sống không tiến triển (PFS), đồng thời cải thiện kiểm soát PSA và thời gian đến hóa trị [2,4,5].

Nghiên cứu ARCHES với theo dõi 5 năm cho thấy Enzalutamide + ADT giúp giảm 30% nguy cơtử vong so với ADT đơn thuần (HR = 0.70, p = 0.001), đồng thời duy trì hiệu quả lâu dài cả ở nhóm bệnh nhân có khối lượng di căn cao hoặc thấp [3]. Phân tích dưới nhóm từ ARCHES còn ghi nhận rằng phối hợp Enzalutamide + ADT hiệu quả cả ở bệnh nhân oligometastatic (1–5 tổn thương) và polymetastatic (≥6 tổn thương),với thời gian sống không tiến triển hình ảnh (rPFS) cải thiện vượt trội (HR0.27 và 0.59 lần lượt, p < 0.001) [6].

Trong thực hành lâm sàng, việc lựa chọn thuốc nội tiết thế hệ mới nên cá nhân hóa dựa trên yếu tố gánh nặng di căn, tuổi, bệnh đồng mắc và khả năng tiếp cận. Trường hợp bệnh nhân trong báo cáo, sau 2 chu kỳ sử dụng Enzalutamide + ADT, đã có đáp ứng PSA rõ rệt, cho thấy dấu hiệu sinh hóa sớm của hiệu quả điều trị. Đây là yếu tố tiên lượng thuận lợi, được ghi nhận trong các phân tích của ENZAMET và ARCHES [3,5].

Tuy chưa có đánh giá hình ảnh học đầy đủ (chưa chụp cộng hưởng từ tiểu khung),nhưng PSA giảm cùng với lâm sàng ổn định có thể là cơ sở hợp lý để tiếp tục phác đồ hiện tại. Các dữ liệu trên cũng củng cố rằng phối hợp ADT với thuốc nội tiết thế hệ mới nên được coi là tiêu chuẩn điều trị đầu tay cho bệnh nhân mHSPC.

Trường hợp này cho thấy vai trò rõ nét của chiến lược phối hợp ADT với nội tiết thế hệ mới trong điều trị mHSPC tại Việt Nam. Khi được lựa chọn và theo dõi phù hợp,chiến lược này có thể đem lại lợi ích điều trị sớm, giảm gánh nặng bệnh và cải thiện chất lượng sống cho người bệnh.

Tài liệu tham khảo

1.Sung H, Ferlay J, Laversanne M, et al. GlobalCancer Statistics 2022: GLOBOCAN Estimates of Incidence and Mortality Worldwidefor 36 Cancers in 185 Countries. CA Cancer J Clin. 2024;74(2):107–134.

2.Fizazi K, et al. Abiraterone plusprednisone in metastatic, castration-sensitive prostate cancer. N Engl JMed. 2017;377(4):352–360. (LATITUDE study)

3.Davis ID, et al. Enzalutamide withstandard first-line therapy in metastatic prostate cancer. N Engl J Med.2019;381(2):121–131. (ENZAMET study)

4. Chi KN, Agarwal N, Bjartell A, et al. Apalutamidefor metastatic, castration-sensitive prostate cancer. N Engl J Med.2019;381(1):13–24.

5. Armstrong AJ, Szmulewitz RZ, Petrylak DP, et al. ARCHES 5-year Update: Enzalutamide + ADT improves OS in mHSPC. JClin Oncol. 2024;42(6_suppl):LBA500.

6. Shore ND, Saad F, Tombal B, et al. Enzalutamide+ ADT in low- vs high-volume metastatic prostate cancer: post hoc analysis ofARCHES. Eur Urol. 2024;85(2):145–153.


Tin liên quan