Case lâm sàng: Điều trị bệnh nhân ung thư biểu mô tế bào gan tại Trung tâm Y học hạt nhân và Ung bướu – Bệnh viện Bạch Mai
GS.TS. Mai Trọng Khoa, PGS.TS. Phạm Cẩm Phương, Ths. Lê Quang Hiển,
BSNT. Cao Văn Trung, BSNT. Đỗ Đăng Thọ
Trung tâm Y học hạt nhân và Ung bướu - Bệnh viện Bạch Mai
Ung thư gan nguyên phát hay ung thư biểu mô tế bào gan (UTBMTBG) là ung thư nằm trong sáu loại ung thư phổ biến nhất trên thế giới và nằm trong ba loại ung thư phổ biến nhất tại Việt Nam. Theo thống kê của GLOBOCAN năm 2022 trên thế giới số trường hợp ung thư gan mới mắc là 866,136 ca (chiếm tỷ lệ 4,3%), số trường hợp tử vong là 758,725 ca (chiếm tỷ lệ 7,8%). Tại Việt Nam số trường hợp mới mắc là 24,502 ca (chiếm tỉ lệ 13,6%), số trường hợp tử vong là 23,333 ca (chiếm 19,4%).
Hiện nay, có nhiều phương pháp điều trị bệnh ung thư gan nguyên phát. Phẫu thuật vẫn đóng vai trò chủ đạo trong điều trị căn bệnh này ở giai đoạn khu trú. Ngoài ra có thể sử dụng các phương pháp khác như nút mạch, đốt sóng cao tần, tiêm cồn, xạ trị,hóa trị triệu chứng, điều trị đau và giảm nhẹ triệu chứng, điều trị đích, xạ trị chiếu trong bằng hạt vi cầu phóng xạ. Mỗi phương pháp có những ưu điểm và chỉ định riêng. Các trường hợp UTBMTBG tiến triển, không còn chỉ định phẫu thuật, nút mạch, đốt u thì có thể xem xét dùng điều trị toàn thân.
Atezolizumab và Bevacizumab là hai loại thuốc được sử dụng trong điều trị ung thư, nhưng chúng có cơ chế tác dụng khác nhau. Atezolizumab là một loại thuốc ức chế điểm kiểm soát miễn dịch (immune checkpoint inhibitor), hoạt động bằng cách ức chế PD-L1 (Programmed Death-Ligand 1) trên các tế bào ung thư. Khi PD-L1 bị ức chế, hệ thống miễn dịch có thể nhận diện và tấn công các tế bào ung thư. Bevacizumab là một thuốc ức chế VEGF (Vascular Endothelial Growth Factor), giúp ngăn chặn sự hình thành mạch máu mới (angiogenesis) trong khối u ung thư. Việc ức chế VEGF làm giảm khả năng cung cấp máu và oxy cho khối u, từ đó giúp làm chậm sự phát triển của ung thư. Một vài nghiên cứu cho thấy việc kết hợp Atezolizumab và Bevacizumab cho hiệu quả trong việc cải thiện thời gian sống thêm không bệnh ở các bệnh nhân UTBMTBG giai đoạn muộn hoặc tái phát.
Sau đây là ca lâm sàng bệnh nhân ung thư biểu mô tế bào gan được chẩn đoán và điều trị hiệu quả tại Trung tâm Y học hạt nhân và Ung bướu - Bệnh viện Bạch Mai.
Họ và tên: Đ.H.M Giới: Nam Tuổi: 65 tuổi
Thời gian vào viện: Tháng 10 năm 2023
Lý do vào viện: sốt, đau hạ sườn phải
Tiền sử:
- Bản thân: viêm gan B đang điều trị thuốc kháng virus Tenofovir 300mg/ngày
- Gia đình: không ai mắc bệnh ác tính
Bệnh sử:
Bệnh nhân được chẩn đoán ung thư biểu mô tế bào gan từ năm 2019 đã nút mạch 6 lần (3 lần tại bệnh viện K cơ sở Tân Triều, 3 lần tại bệnh viện Đa khoa Thái Nguyên). Bệnh nhân được nút mạch lần thứ 6 vào tháng 10 năm 2023. Sau nút mạch 1 tuần, bệnh nhân xuất hiện đau nhiều vùng hạ sườn phải, sốt. Bệnh nhân đi khám và nhập viện tại bệnh viện Bạch Mai được chẩn đoán áp xe gan và đã được điều trị nội khoa ổn định. Bệnh nhân được chuyển vào Trung tâm Y học hạt nhân và Ung bướu – Bệnh viện Bạch Mai điều trị tiếp.
Khám vào viện:
Bệnh nhân tỉnh, tiếp xúc được.
Thể trạng trung bình (chiều cao: 165 cm, cân nặng: 60 kg), chỉ số toàn trạng PS: 0
Da, niêm mạc hồng, không phù, không xuất huyết dưới da
Hạch ngoại biên: không sờ thấy
Tim mạch: nhịp đều, rõ, tần số 80 chu kỳ/phút, huyết áp 120/80 mmHg.
Hô hấp: rì rào phế nang rõ, không có tiếng ran bệnh lí
Tiêu hóa: bụng mềm, không chướng, gan lách không sờ thấy
Các cơ quan bộ phận khám chưa phát hiện bất thường
Cận lâm sàng:
- Công thức máu, sinh hóa máu, đông máu cơ bản trong giới hạn bình thường.
- Xét nghiệm chất chỉ điểm khối u: AFP: 648,1ng/ml (giới hạn bình thường là < 7 ng/ml) => tăng rất cao
- Chụp cắt lớp vi tính ổ bụng:

Hình 1: Hình ảnh chụp cắt lớp vi tính ổ bụng: Nhu mô hạ phân thùy S7-8 có khối (vòng tròn đỏ) tỷ trọng hỗn hợp kích thước 81x51mm gồm phần tăng tỷ trọng của vật liệu can thiệp và nhiều bóng khí tạo thành ổ tụ khí trong nhu mô kèm phần hoại tử dạng dịch, không có huyết khối.
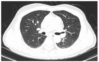
- Chụp cắt lớp vi tính ngực:

Hình 2: Hình ảnh chụp cắt lớp vi tính lồng ngực: Không thấy các tổn thương thứ phát
- Nội soi dạ dày: chưa phát hiện bất thường
- Nội soi đại tràng: chưa phát hiện bất thường
Chẩn đoán xác định:
Ung thư biểu mô tế bào gan BCLC B đã TACE 6 lần- Xơ gan Child pugh A - Viêm gan B
Điều trị:
Bệnh nhân được hội chẩn hội đồng ung thư tiêu hóa và được thống nhất điều trị
Phác đồ: Atezolizumab –Bevacizumab Chu kỳ: 21 ngày
1. Atezolizumab 1200mg truyền TM ngày 1.
2. Bevacizumab 15mg/kg da truyền TM ngày 1.
THEO DÕI TRONG QUÁ TRÌNH ĐIỀU TRỊ:
1. Lâm sàng:
- Bệnh nhân ổn định, không mệt mỏi
- Không nôn, không sốt
- Không đau bụng
- Ăn tốt, tăng 3 kg
- Sinh hoạt bình thường
2. Xét nghiệm máu:
- Công thức máu, sinh hóa máu, đông máu cơ bản trong giới hạn bình thường.
- Chất chỉ điểm khối u:

Biểu đồ 1: Biến động chất chỉ điểm khối u AFP trong quá trình điều trị (từ tháng 10/2023 tới tháng 03/2025)
Bảng 1: Nồng độ chất chỉ điểm khối u AFP trong quá trình điều trị (từ tháng 10/2023 tới tháng 03/2025)
| Thời gian | Tháng 10/2023 | Tháng 03/2024 | Tháng 06/2024 | Tháng 12/2024 | Tháng 03/2025 |
| AFP (ng/ml) | 648,1 | 266,6 | 10,6 | 7,1 | 9,2 |
Kết quả trên cho thấy nồng độ chất chỉ điểm khối u AFP trước điều trị tăng cao (648,1ng/ml) nhưng sau khi điều trị phác đồ Atezolizumab-Bevacizumab được 20 chu kì đã giảm còn 9,2ng/ml (giới hạn bình thường là < 7ng/ml)3. Đánh giá về hình ảnh:
Ngày 27/02/2024: (sau 3 chu kì)

Hình 3: Hình ảnh chụp cắt lớp vi tính ổ bụng: U gan hạ phân thùy VIII (vòng tròn đỏ) kích thước 50x77mm, ngấm thuốc không đều, có thải thuốc sau tiêm sau điều trị, còn tăng sinh mạch, không có huyết khối
Ngày 19/06/2024: (sau 7 chu kì)
Hình 4: Hình ảnh chụp cắt lớp vi tính ổ bụng: Nhu mô vùng ngoại vi sát bao gan hạ phân thùy VII - VIII có đám (vòng tròn đỏ) giảm tỉ trọng kích thước ~ 28x36mm, trong có lắng đọng vật liệu nút mạch, không có huyết khối
Ngày 26/12/2024: (sau 17 chu kì)
Hình 5: Hình ảnh chụp cắt lớp vi tính ổ bụng: Nhu mô vùng ngoại vi sát bao gan hạ phân thùy VII - VIII có đám (vòng tròn đỏ) giảm tỉ trọng kích thước ~ 21x48mm, trong có lắng đọng vật liệu nút mạch, sau tiêm không ngấm thuốc, không có huyết khối.
Ngày 03/03/2025: (sau 20 chu kì)
Hình 6: Hình ảnh chụp cắt lớp vi tính ổ bụng: Nhu mô vùng ngoại vi sát bao gan hạ phân thùy VII - VIII có đám (vòng tròn đỏ) giảm tỉ trọng kích thước ~ 22x45mm, trong có lắng đọng vật liệu nút mạch, sau tiêm không ngấm thuốc, không có huyết khối.
Nhận xét: Bệnh nhân đạt đáp ứng tốt với điều trị: khối u thu nhỏ kích thước đáng kể sau 20 chu kì (từ 81x51mm xuống 22x45 mm). Đánh giá theo tiêu chuẩn RECIST 1.1, bệnh đáp ứng một phần (PR – Partial Responce).
Hướng điều trị tiếp theo: Tiếp tục phác đồ Atezolizumab - Bevacizumab
Như vậy: Bệnh nhân trên đây là 1 trường hợp Ung thư biểu mô tế bào gan BCLC B đã TACE 6 lần - Xơ gan Child pugh A - Viêm gan B đã được điều trị bằng phác đồ Atezolizumab - Bevacizumab được 20 chu kì, đem lại đáp ứng rất tốt thể hiện ở trên hình ảnh có thể thấy khối u giảm kích thước cũng như chỉ số AFP giảm mạnh,từ giai đoạn không thể phẫu thuật chuyển về giai đoạn có thể phẫu thuật, hiện tại bệnh ổn định. Trong thời gian sắp tới, bệnh nhân vẫn được tiếp tục điều trị phác đồ Atezolizumab – Bevacizumab và đồng thời đánh giá, phát hiện các thay đổi bất thường.