Điều trị ung thư vú thể Her2 dương tính tại Trung tâm Y học hạt nhân và Ung bướu Bệnh viện Bạch Mai

Ngày đăng: 21/01/2026 Lượt xem 331

Điều trị ung thư vú thể Her2 dương tính tại Trung tâm Y học hạt nhân và Ung bướu Bệnh viện Bạch Mai

GS. TS. Mai Trọng Khoa, BSNT. Lê Thùy Dương, PGS. TS. Phạm Cẩm Phương, PGS. TS. Phạm Văn Thái
và CS

Trung tâm Y học hạt nhân và Ung bướu - Bệnh viện Bạch Mai

Ung thư vú là loại ung thư phổ biến nhất ở phụ nữ và là một trong những nguyên nhân hàng đầu gây tử vong do ung thư ở nữ giới trên toàn thế giới. Theo số liệu GLOBOCAN 2022, ung thư vú đứng thứ hai về tỷ lệ mắc, chiếm 11,59% tổng số ca ung thư (sau ung thư phổi), đồng thời xếp thứ tư về tỷ lệ tử vong, chỉ sau ung thư phổi, ung thư gan và ung thư đại trực tràng. Riêng ở nữ giới, ung thư vú giữ vị trí hàng đầu cả về tỷ lệ mắc và tỷ lệ tử vong trên phạm vi toàn cầu cũng như tại Việt Nam, với tỷ lệ mắc lên tới 28,9% và tỷ lệ tử vong chiếm 20,5%[1].

Với sự phát triển vượt bậc của các liệu pháp nhắm trúng đích, đặc biệt là các thuốc kháng HER2, khi được phối hợp với hóa trị và phẫu thuật, đã tạo ra những bước tiến quan trọng trong điều trị ung thư vú. Nghiên cứu NeoSphere đã chỉ ra rằng điều trị tân bổ trợ phác đồ kết hợp pertuzumab và trastuzumab, có hoặc không phối hợp hóa trịhiệu quả điều trị vượt trội trong ung thư vú có thụ thể HER-2 dương tính. Kết quả cho thấy nhóm phối hợp hóa trị nền tảng taxane–platinum với trastuzumab và pertuzumab đạt tỷ lệ đáp ứng hoàn toàn trên mô bệnh học (pCR) cao nhất, lên tới 45,8%, trong khi nhóm chỉ điều trị trastuzumab + pertuzumab, không hóa trị có tỷ lệ pCR thấp nhất là 16,8%. Tỷ lệ pCR của nhóm docetaxel + trastuzumab và nhóm docetaxel + pertuzumab lần lượt là 29% và 24%. Kết quả này khẳng định vai trò vượt trội của chiến lược ức chế kép thụ thể HER-2 kết hợp hóa trị trong điều trị tân bổ trợ ung thư vú HER2 dương tính[2].

Về tính an toàn của bộ đôi kháng thụ thể HER-2 cũng đã được chứng minh trong nghiên cứu TRYPHAENA [3]. Nghiên cứu cho thấy việc phối hợp trastuzumab và pertuzumab với các phác đồ hóa trị khác nhau trong điều trị tân bổ trợ ung thư vú HER2 dương tính mang lại tỷ lệ đáp ứng hoàn toàn bệnh lý (pCR) với phác đồ docetaxel–carboplatin–trastuzumab–pertuzumab (TCHP) đạt tỷ lệ pCR cao nhất lên tới (66,2%). Đồng thời, nghiên cứu ghi nhận độ an toàn tim mạch chấp nhận được, với tỷ lệ suy giảm chức năng thất trái thấp và chủ yếu hồi phục,không ghi nhận sự khác biệt có ý nghĩa giữa các phác đồ có hoặc không sử dụng anthracycline. Từ đó càng củng cố vai trò của bộ đôi kháng HER-2 trong điều trị ung thư vú có thụ thể HER-2 dương tính [3]

Dưới đây là một trường hợp lâm sàng điển hình ung thư vú phải HER2 dương tính, giai đoạn cT4bN1M0, ghi nhận đáp ứng rất tốt với điều trị tân bổ trợ bằng phác đồ hóa trị nền tảng taxane–platinum với trastuzumab và pertuzumab tại Trung tâm Y học hạt nhân và Ung bướu, Bệnh viện Bạch Mai.

1, Hành chính

Họ tên: Dương Thị Phương N

Năm sinh: 1983 (42 tuổi)

Giới tính: Nữ

Địa chỉ: xã Sóc Sơn, thành phố Hà Nội

Ngày bắt đầu vào viện: 11/2024

2, Chuyên môn

Lý do vào viện: Đau vú phải kéo dài

Bệnh sử: Bệnh nhân phát hiện u vú phải nhiều tháng nay chưa đi khám kiểm tra, cách vào viện khoảng 1 tuần thấy vú phải đau , sờ thấy u vú tăng kích thước, đến viện Bạch Mai khám và kiểm tra

Tiền sử:

Bản thân: Khỏe mạnh, còn kinh nguyệt

Gia đình: Chưa phát hiện bệnh liên quan

Khám lâm sàng

- Toàn thân:

Bệnh nhân tỉnh, tiếp xúc tốt Glassgow 15 điểm

Không sốt, huyết động ổn, thể trạng trung bình, chỉ số toàn trạng PS:0

Da niêm mạc hồng, không phù, không xuất huyết dưới da

Tuyến giáp không to, hạch ngoại vi không sờ thấy

- Cơ năng: Đau tức vú phải, núm vú không chảy dịch bất thường

- Thực thể:

Vú phải : Khối u  vị trí ¼ trên ngoài kích thước khoảng 5x6cm,mật độ chắc, co kéo da vị trí tương ứng khối u, núm vú không chảy dịch bất thường.

Vú trái: Chưa phát hiện bất thường

Phổi phải rì rào phế nang đáy phổi phải giảm, phổi trái thông khí tốt không ran

Tim đều, tiếng T1, T2 rõ, không có tiếng tim bệnh lý

Bụng mềm, không chướng, gan lách không sờ thấy

Cơ lực 2 chi trên 5/5, cơ lực 2 chi dưới 5/5

Dấu hiệu não, màng não âm tính

Các cơ quan khác chưa phát hiện bất thường

Cận lâm sàng

- Xét nghiệm công thức máu, đông máu, sinh hoá máu: trong giới hạn bình thường

- Xét nghiệm vi sinh: HIV âm tính, HbsAg âm tính

- CT bụng: Chưa phát hiện bất thường

- MRI sọ: Chưa phát hiện bất thường

- MRI vú trước điều trị:


Hình 1:
 Vú phải vị trí 1/4 dưới ngoài, cách núm vú 15mm có khối ~ 70x59x37mm, tổn thương xâm lấn da (đường kính 34mm. Nằm sát khối lớn, vị trí trung tâm ngoài, cách núm vú 13mm có nốt 7x10mm, ngấm thuốc mạnh ở pha sớm. Hố nách bên phải có vài hạch thuộc chặng 1 ~9x14mm, còn rốn hạch, hạch thuộc chặng 2 ~5mm, ngấm thuốc mạnh sau tiêm.
- CT ngực trước điều trị:

Hình 2: Vú phải vị trí 1/2 dưới có khối tổn thương ~50x34mm, thâm nhiễm xung quanh, xâm lấn gây dày da vú lân cận. Hố nách trái có vài hạch đường kính ngắn 9mm, vỏ dày 7mm, ngấm thuốc mạnh sau tiêm.

Bệnh nhân được sinh thiết u vú phải kết quả:

- Giải phẫu bệnh và hoá mô miễn dịch: Hình ảnh mô bệnh học và hóa mô miễn dịch phù hợp với Ung thư biểu mô, xâm nhập, típ NST, độ II, dưới típ phân tử lòng ống B (Luminal B), ER dương tính 3+ 80%; PR dương tính 3+ 90%, Her-2 dương tính 3+, Ki67 dương tính 30%.

VII, CHẨN ĐOÁN: Ung thư vú phải dạng biểu mô, xâm nhập, cT4N1M0, ER dương tính 3+ 80%; PR dương tính 3+ 90%, Her-2, dương tính 3+, Ki67 dương tính 30%.

VIII, ĐIỀU TRỊ

Tân bổ trợ phác đồ TCHP ( Docetaxel – Carboplatine – Trastuzumab – Pertuzumab) x 6 chu kì

Đánh giá sau 6 chu kì điều trị phác đồ TCHP

Lâm sàng: Bệnh nhân tỉnh tiếp xúc tốt, không sờ thấy hạch ngoại vi. Vú phải: Khối u vị trí ¼ trên ngoài kích thước khoảng 2x3cm, mật độ chắc, núm vú không chảy dịch bất thường, vú trái: Chưa phát hiện bất thường. Cơ quan khác chưa phát hiện bất thường.


Hình 3:
  Trước điều trị khối u vú phải ~70x59x37mm (mũi tên xanh), xâm lấn da ~34mm. Hạch thuộc chặng 1lớn nhất ~9x14mm, hạch chặng 2 ~5mm. Sau điều trị u vú phải ~16x23x36mm (sau điều trị mũi tên vàng), tổn thương xâm lấn da ~ 25mmHố nách bên phải chặng I có vài hach, còn rốn hạch vỏ hạch dày, lớn nhất ~ 4x6mm.

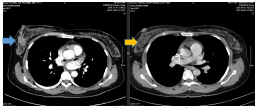
- CT ngực trước và sau điều trị tân bổ trợ


Hình 4: Vú phải vị trí 1/2 dưới , có khối ~50x34mm (Trước điều trị mũi tên xanh). Sau điều trị giảm còn ~ 24x17 mm (Sau điều trị mũi tên vàng)

- CT bụng, MRI sọ não: Chưa phát hiện bất thường

Như vậy sau 6 chu kì điều trị tân bổ trợ phác đồ TCHP cho thấy bệnh đáp ứng một phần, u và hạch giảm đáng kể kích thước. Bệnh nhân được chỉ định cắt toàn bộ tuyến vú phải và vét hạch nách (5/2025)

- Giải phẫu bệnh sau mổ: Ung thư biểu mô tuyến vú nội ống, 15/15 hạch viêm mạn tính

Chẩn đoán sau phẫu thuật: Ung thư vú phải ypTisN0M0

Bệnh nhân sau phẫu thuật ổn định tiếp tục điều trị phác đồ trastuzumab – pertuzumab. Hiện tại sau 13 chu kì điều trị phác đồ TCHP- HP đánh giá

Lâm sàng: Bệnh nhân tỉnh tiếp xúc tốt, không sờ thấy hạch ngoại vi. Vú phải đã cắt không phát hiện khối bất thường, sẹo mổ cũ ngực phải. Vú trái chưa phát hiện bất thường. Cơ quan khác chưa phát hiện bất thường.
- CT ngực, bụng: Chưa phát hiện bất thường


Hình 5: Hình ảnh CT ngực 13 chu kì điều trị phác đồ TCHP- HP u vú phải đã cắt ( mũi tên xanh) không phát hiện hạch, khối bất thường trên CT ngực

Trong quá trình điều trị bệnh nhân được theo dõi định kì siêu âm tim và điện tim kết quả qua các chu kì theo dõi là bình thường. Xét nghiệm chỉ điểm từ lúc chẩn đoán đến thời điểm hiện tại đều không tăng

Bàn luận:

Qua trường hợp lâm sàng trên ta thấy được, thuốc kháng HER-2 mang lại lợi ích rõ rệt trên nhóm bệnh nhân ung thư vú có thụ thể Her-2 dương tính, đặc biệt là nhóm có di căn hạch. Kết quả giải phẫu bệnh sau phẫu thuật của bệnh nhân trong ca này cho thấy chỉ còn tổn thương ung thư biểu mô tuyến vú nội ống tại chỗ (ypTis) và không còn tế bào ung thư tại hạch nách (ypN0), chứng tỏ đáp ứng hoàn toàn về mặt bệnh lý tại mô xâm nhập. Điều này cho thấy hiệu quả rõ rệt của điều trị tân bổ trợ, đồng thời khẳng định giá trị của chiến lược điều trị đa mô thức trong ung thư vú giai đoạn tiến triển.

Việc tiếp tục duy trì điều trị trastuzumab và pertuzumabsau phẫu thuật phù hợp với các khuyến cáo hiện hành, nhằm hoàn tất tổng thời gian điều trị đích 1 năm, giúp giảm nguy cơ tái phát.

Kết quả điều trị trên cho thấy phối hợp hóa trị nền tảng taxane–platinum với trastuzumab và pertuzumab  là một lựa chọn đầu tay để điều trị cho bệnh nhân ở ca lâm sàng này. Hiện tại bệnh nhân đang được tiếp tục theo dõi và điều trị duy trì điều trị trastuzumab và pertuzumab sau phẫu thuật và theo định kỳ tại Trung tâm Y học hạt nhân và Ung bướu – Bệnh viện Bạch Mai.

Tài liệu tham khảo

[1] Global cancer statistics 2022

[2] Luca Gianni, et al. NIH 2016, 5-year analysis ofneoadjuvant pertuzumab and trastuzumab in patients with locally advanced,inflammatory, or early-stage HER2-positive breast cancer (NeoSphere): amulticentre, open-label, phase 2 randomised trial

[3] A Schneeweiss, et al. NIH2013, Pertuzumab plus trastuzumab in combination with standard neoadjuvantanthracycline-containing and anthracycline-free chemotherapy regimens inpatients with HER2-positive early breast cancer: a randomized phase II cardiacsafety study (TRYPHAENA)


Tin liên quan