Trung tâm Y học Hạt nhân và Ung bướu
Bệnh viện Bạch Mai Trung tâm Y học Hạt nhân và Ung bướu The Nuclear Medicine and Oncology center
  • Trang chủ
  • Giới thiệu
  • Ung thư
  • Y học hạt nhân
  • Gen trị liệu
  • Ca lâm sàng
  • Đào tạo & Nghiên cứu
  • Tư vấn bệnh nhân
  • Thư viện
    • Thư viện video
    • Thư viện ảnh
    • Thư viện download
  • Liên hệ
  • Tài liệu chuyên môn

Ca lâm sàng

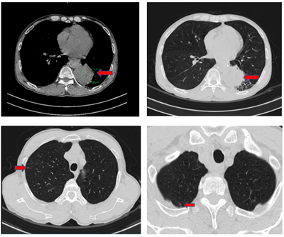
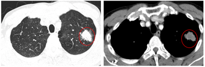
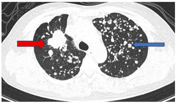
Ca lâm sàng: Điều trị đích bệnh nhân ung thư phổi không tế bào nhỏ giai đoạn muộn di căn nhiều cơ quan, tại Trung tâm Y học hạt nhân và Ung bướu – Bệnh viện Bạch Mai

Ca lâm sàng: Điều trị đích bệnh nhân ung thư phổi không tế bào nhỏ giai đoạn muộn di căn nhiều cơ quan, tại Trung tâm Y học hạt nhân và Ung bướu –...

Ngày đăng: 30/01/2026
Ung thư phổi là nguyên nhân hàng đầu gây tử vong do ung thư trên toàn thế giới. Trong đó, ung thư phổi không tế bào nhỏ (NSCLC) là thể thường gặp nhất, chiếm khoảng 85% các trường hợp [1]. Phần lớn...
Ca lâm sàng: Chẩn đoán ung thư tuyến giáp di căn não tại Trung tâm Y học hạt nhân và Ung bướu, bệnh viện Bạch Mai

Ca lâm sàng: Chẩn đoán ung thư tuyến giáp di căn não tại Trung tâm Y học hạt nhân và Ung bướu, bệnh viện Bạch Mai

Ngày đăng: 30/01/2026
Ung thư tuyến giáp (UTTG) là loại ung thư phổ biến nhất trong các ung thư của hệ thống tuyến nội tiết, với tỷ lệ mắc có xu hướng gia tăng trong những năm gần đây. Theo GLOBOCAN 2022, UTTG đứng hàng...
Ca lâm sàng: Điều trị ung thư biểu mô tế bào gan bằng thuốc điều trị đích Sorafenib tại Trung tâm Y học hạt nhân và Ung bướu, Bệnh viện Bạch Mai.

Ca lâm sàng: Điều trị ung thư biểu mô tế bào gan bằng thuốc điều trị đích Sorafenib tại Trung tâm Y học hạt nhân và Ung bướu, Bệnh viện Bạch Mai.

Ngày đăng: 29/01/2026
Ung thư biểu mô tế bào gan (hepatocellular carcinoma –HCC)  là loại ung thư thường gặp đứng thứ hai theo ghi nhận của Tổ chức Globocan Việt Nam năm 2022, ước tính mỗi năm có 24,502 trường hợp bệnh...
Ca lâm sàng:Hiệu quả điều trị đích bằng Osimertinib ở bệnh nhân UT biểu mô tuyến của phổi giai đoạn IV có đột biến gen EGFR L858R (Exon 21) tại Trung tâm YHHN&UB-Bệnh viện Bạch Mai

Ca lâm sàng:Hiệu quả điều trị đích bằng Osimertinib ở bệnh nhân UT biểu mô tuyến của phổi giai đoạn IV có đột biến gen EGFR L858R (Exon 21) tại Trung...

Ngày đăng: 29/01/2026
Ung thư phổi là một trong những ung thư có tỷ lệ mắc và tử vong cao nhất trên toàn thế giới. Theo GLOBOCAN 2022, ung thư phổi đứng thứ hai về số ca mắc mới với khoảng 2,5 triệu trường hợp mỗi năm và...
CASE LÂM SÀNG  ĐIỀU TRỊ MIỄN DỊCH  UNG THƯ PHỔI DI CĂN NÃO TẠI BỆNH VIỆN BẠCH MAI

CASE LÂM SÀNG ĐIỀU TRỊ MIỄN DỊCH UNG THƯ PHỔI DI CĂN NÃO TẠI BỆNH VIỆN BẠCH MAI

Ngày đăng: 28/01/2026
Ung thư phổi là một trong những bệnh ung thư thường gặp nhất. Tại Việt Nam, theo  số liệu GLOBOCAN 2022, các số liệu cho thấy ung thư phổi đứng hàng thứ ba về tỉ lệ mới mắc và thứ hai về tỷ lệ tử...
Ca lâm sàng:  Điều trị hóa chất kết hợp liệu pháp miễn dịch ở bệnh nhân ung thư phổi không tế bào nhỏ giai đoạn IV tại Trung tâm Y học hạt nhân và Ung bướu – Bệnh viện Bạch Mai

Ca lâm sàng: Điều trị hóa chất kết hợp liệu pháp miễn dịch ở bệnh nhân ung thư phổi không tế bào nhỏ giai đoạn IV tại Trung tâm Y học hạt nhân và...

Ngày đăng: 27/01/2026
Ung thư phổi là loại ung thư phổ biến và là nguyên nhân gây tử vong do ung thư thường gặp nhất trên thế giới trong nhiều thập kỷ qua. Theo số liệu từ GLOBOCAN 2022, ung thư phổi đứng thứ hai về số ca...
Ca lâm sàng: Điều trị tân bổ trợ ung thư trực tràng giúp giảm giai đoạn và phẫu thuật triệt căn tại Trung tâm Y học hạt nhân và Ung bướu - Bệnh viện Bạch Mai

Ca lâm sàng: Điều trị tân bổ trợ ung thư trực tràng giúp giảm giai đoạn và phẫu thuật triệt căn tại Trung tâm Y học hạt nhân và Ung bướu - Bệnh viện...

Ngày đăng: 23/01/2026
Ung thư trực tràng là một trong những ung thư tiêu hóa thường gặp, với chiến lược điều trị dựa trên giai đoạn bệnh, vị trí u (tính từ rìa hậu môn), nguy cơ xâm lấn mạc treo trực tràng và tình trạng...
Ca lâm lâm sàng  Bệnh nhân mắc hai ung thư nguyên phát: Ung thư phổi không tế bào nhỏ và Ung thư trực tràng

Ca lâm lâm sàng Bệnh nhân mắc hai ung thư nguyên phát: Ung thư phổi không tế bào nhỏ và Ung thư trực tràng

Ngày đăng: 22/01/2026
Đa ung thư nguyên phát được định nghĩa là sự xuất hiện nhiều khối u ác tính nguyên phát, khác nhau về mô bệnh học, trên cùng một bệnh nhân. Nhờ sự phát triển của các kỹ thuật chẩn đoán hình ảnh và...
Ca lâm sàng: Điều trị bệnh nhân ung thư phổi không tế bào nhỏ giai đoạn di căn không có đột biến gen tại Trung tâm Y học hạt nhân và Ung bướu, Bệnh viện Bạch Mai

Ca lâm sàng: Điều trị bệnh nhân ung thư phổi không tế bào nhỏ giai đoạn di căn không có đột biến gen tại Trung tâm Y học hạt nhân và Ung bướu, Bệnh...

Ngày đăng: 22/01/2026
Theo GLOBOCAN 2022, ung thư phổi tiếp tục là gánh nặng y tế toàn cầu với 2,48 triệu ca mắc mới, chiếm 12,4% tổng số ca ung thư và 1,8 triệu ca tử vong, chiếm 18,7% tổng số ca tử vong do ung thư. Tại...
CA LÂM SÀNG  ĐIỀU TRỊ ĐÍCH BỆNH NHÂN UNG THƯ PHỔI GIAI ĐOẠN MUỘN TẠI BỆNH VIỆN BẠCH MAI

CA LÂM SÀNG ĐIỀU TRỊ ĐÍCH BỆNH NHÂN UNG THƯ PHỔI GIAI ĐOẠN MUỘN TẠI BỆNH VIỆN BẠCH MAI

Ngày đăng: 21/01/2026
Theo số liệu GLOBOCAN 2022, ung thư phổi là loại ung thư đứng hàng đầu trên toàn cầu cả về số ca mắc mới với 2.489.675 trường hợp (chiếm 12,4% tổng số ca ung thư mới) và số ca tử vong với 1.817.469...
12345 ...41

Tìm kiếm thông tin

Tin tiêu điểm

CÁC TIÊU CHÍ ĐÁNH GIÁ THƯỜNG GẶP TRONG CÁC THỬ NGHIỆM LÂM SÀNG BỆNH UNG THƯ

CÁC TIÊU CHÍ ĐÁNH GIÁ THƯỜNG GẶP TRONG CÁC THỬ NGHIỆM LÂM SÀNG BỆNH UNG THƯ

(29/12/2025)
Tỷ lệ mắc và tử vong do ung thư tại Việt Nam gia tăng

Tỷ lệ mắc và tử vong do ung thư tại Việt Nam gia tăng

(04/08/2025)
Đường Link các báo cáo Hội nghị Cập nhật tiến bộ trong điều trị ung thư vú tổ chức tại Bệnh viện Bạch Mai ngày 12/8/2022

Đường Link các báo cáo Hội nghị Cập nhật tiến bộ trong điều trị ung thư vú tổ chức tại Bệnh viện Bạch Mai ngày 12/8/2022

(17/08/2022)
Tế bào gốc trung mô và ứng dụng trong y học tái tạo

Tế bào gốc trung mô và ứng dụng trong y học tái tạo

(21/02/2018)

Tin tức - Sự kiện

Tỷ lệ mắc và tử vong do ung thư tại Việt Nam gia tăng

Tỷ lệ mắc và tử vong do ung thư tại Việt Nam gia tăng

(04/08/2025)
Miễn dịch trị liệu ung thư - bước tiến vượt bậc của y học hiện đại

Miễn dịch trị liệu ung thư - bước tiến vượt bậc của y học hiện đại

(04/08/2025)
TỔNG QUAN VỀ  HIỆU QUẢ CỦA ĐIỀU TRỊ ĐA MÔ THỨC CHO UNG THƯ BIỂU MÔ TẾ BÀO GAN QUÁ CHỈ ĐỊNH PHẪU THUẬT: ĐÁNH GIÁ QUA CA LÂM SÀNG ĐƠN LẺ

TỔNG QUAN VỀ HIỆU QUẢ CỦA ĐIỀU TRỊ ĐA MÔ THỨC CHO UNG THƯ BIỂU MÔ TẾ BÀO GAN QUÁ CHỈ ĐỊNH PHẪU THUẬT: ĐÁNH GIÁ QUA CA LÂM SÀNG ĐƠN LẺ

(18/08/2024)
Điều trị bệnh nhân mắc  Ung thư tuyến giáp thể nang di căn phổi

Điều trị bệnh nhân mắc Ung thư tuyến giáp thể nang di căn phổi

(06/08/2024)

Hướng dẫn Khám chữa bệnh

Hạt phóng xạ có thể điều trị tận gốc bệnh ung thư vú

Hạt phóng xạ có thể điều trị tận gốc bệnh ung thư vú

(24/12/2013)
Quỹ bảo hiểm y tế chi hơn 4.400 tỷ đồng cho bệnh nhân ung thư

Quỹ bảo hiểm y tế chi hơn 4.400 tỷ đồng cho bệnh nhân ung thư

(20/11/2008)
10 triệu chứng phát hiện ung thư buồng trứng sớm không thể bỏ qua cho mọi lứa tuổi

10 triệu chứng phát hiện ung thư buồng trứng sớm không thể bỏ qua cho mọi lứa tuổi

(10/05/2017)
Tác dụng phụ thường gặp khi hóa trị

Tác dụng phụ thường gặp khi hóa trị

(20/11/2008)

Video clip

  • Chương trình Ánh sáng tri thức - Khoa học hóa thành sự sống
  • Hội nghị khoa học quốc tế Hội Miễn dịch trị liệu ung thư Việt Nam Ngày 01-02/08/2024
  • Hội nghị cập nhật tiến bộ trong điêu trị ung thư vú tại Bệnh viện Bạch Mai ngày 12/8/2022

 

Thống kê truy cập

Members : 4496
Content : 1268
Web Links : 3
Content View Hits : 358314

Trung tâm Y học Hạt nhân và Ung bướu

Trung Tâm Y Học Hạt Nhân và Ung Bướu Bệnh Viện Bạch Mai

Địa chỉ: Số 78, Đường Giải Phóng, Phương Mai, Đống Đa, Hà Nội Điện thoại: (04) 3576 5590 Email: tuvan@ungthubachmai.com.vn, ungbuoubachmai@gmail.com
Liên hệ, góp ý Bản đồ
Tổng biên tập: GS.TS. Mai Trọng Khoa Giấy phép số 125/GP-TTĐT, Cục quản lý phát thanh, truyền hình và thông tin điện tử cấp ngày 17 tháng 6 năm 2010. Ghi rõ nguồn "ungthubachmai.com.vn" khi phát hành lại thông tin từ website này.
© 2017 Bản quyền thuộc về Trung tâm Y học Hạt nhân và Ung bướu
Thiết kế website bởi BICWeb.vn™