Trung tâm Y học Hạt nhân và Ung bướu
Bệnh viện Bạch Mai Trung tâm Y học Hạt nhân và Ung bướu The Nuclear Medicine and Oncology center
  • Trang chủ
  • Giới thiệu
  • Ung thư
  • Y học hạt nhân
  • Gen trị liệu
  • Ca lâm sàng
  • Đào tạo & Nghiên cứu
  • Tư vấn bệnh nhân
  • Thư viện
    • Thư viện video
    • Thư viện ảnh
    • Thư viện download
  • Liên hệ
  • Tài liệu chuyên môn

Ung thư

CASE LÂM SÀNG:  ĐIỀU TRỊ UNG THƯ PHỔI TẾ BÀO NHỎ BẰNG LIỆU PHÁP MIỄN DỊCH TẠI TRUNG TÂM YHHN VÀ UNG BƯỚU BỆNH VIỆN BẠCH MAI

CASE LÂM SÀNG: ĐIỀU TRỊ UNG THƯ PHỔI TẾ BÀO NHỎ BẰNG LIỆU PHÁP MIỄN DỊCH TẠI TRUNG TÂM YHHN VÀ UNG BƯỚU BỆNH VIỆN BẠCH MAI

Ngày đăng: 21/11/2025
Ung thư phổi tế bào nhỏ (Small Cell Lung Cancer - SCLC) là một loại ung thư phổi ác tính, chiếm khoảng 10-15% tổng số ca ung thư phổi. Theo số liệu từ GLOBOCAN 2022, trên toàn thế giới, ung thư phổi...
Ca lâm sàng: Kết hợp thuốc miễn dịch Pembrolizumab và hóa chất trong điều trị ung thư phổi giai đoạn tiến triển tại bệnh viện Bạch Mai

Ca lâm sàng: Kết hợp thuốc miễn dịch Pembrolizumab và hóa chất trong điều trị ung thư phổi giai đoạn tiến triển tại bệnh viện Bạch Mai

Ngày đăng: 24/10/2025
Ung thư phổi là một trong những loại ung thư có tỷ lệ mắc bệnh và tử vong cao nhất thế giới, cũng như ở Việt Nam. Theo thống kê từ GLOBOCAN 2022, tỷ lệ mắc bệnh của ung thư phổi ở cả hai giới chiếm...
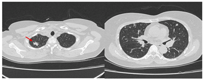
VAI TRÒ CỦA CẮT LỚP VI TÍNH NGỰC LIỀU THẤP TRONG SÀNG LỌC UNG THƯ PHỔI

VAI TRÒ CỦA CẮT LỚP VI TÍNH NGỰC LIỀU THẤP TRONG SÀNG LỌC UNG THƯ PHỔI

Ngày đăng: 24/10/2025
Theo Globocan năm 2022 ung thư phổi chiếm tỷ lệ lớn nhất về cả tỷ lệ mắc chiếm 12,4% và tỷ lệ tử vong chiếm 18,7%. Tại Việt Nam tỷ lệ mắc ung thư phổi xếp thứ ba 13,5% ( sau ung thư gan 13,6% và ung...
Cập nhật chỉ định xét nghiệm BRCA trong ung thư vú, buồng trứng, tụy, tuyến tiền liệt năm 2025

Cập nhật chỉ định xét nghiệm BRCA trong ung thư vú, buồng trứng, tụy, tuyến tiền liệt năm 2025

Ngày đăng: 09/10/2025
Cập nhật chỉ định xét nghiệm BRCA trong ung thư vú, buồng trứng, tụy, tuyến tiền liệt năm 2025
Tỷ lệ mắc và tử vong do ung thư tại Việt Nam gia tăng

Tỷ lệ mắc và tử vong do ung thư tại Việt Nam gia tăng

Ngày đăng: 04/08/2025

Sáng 2/8 tại TP.HCM, Hội miễn dịch trị liệu ung thư ViệtNam phối hợp với Viện Nghiên cứu Tâm Anh (TAMRI) tổ chức Hội nghị khoa học thườngniên năm 2025.


Miễn dịch trị liệu ung thư - bước tiến vượt bậc của y học hiện đại

Miễn dịch trị liệu ung thư - bước tiến vượt bậc của y học hiện đại

Ngày đăng: 04/08/2025

Đó là khẳng định của Thứ trưởng Bộ Y tế Nguyễn Tri Thức tại Hội nghị Khoa học Quốc tế thường niên lần thứ hai năm 2025, do Hội Miễn dịch trị liệu ung thư Việt Nam tổ chức tại TPHCM vào ngày 2/8.


Chẩn đoán và điều trị bệnh nhân mắc đồng thời hai loại ung thư: Ung thư đại tràng và Ung thư dạ dày ở giai đoạn sớm tại Trung tâm Y học hạt nhân và Ung bướu - Bệnh viện Bạch Mai

Chẩn đoán và điều trị bệnh nhân mắc đồng thời hai loại ung thư: Ung thư đại tràng và Ung thư dạ dày ở giai đoạn sớm tại Trung tâm Y học hạt nhân và...

Ngày đăng: 09/09/2025
Ung thư đại – trực tràng và ung thư dạ dày là 2 trong 10 loại ung thư phổ biến nhất trên thế giới trong nhiều thập kỷ qua. Theo GLOBOCAN 2022, ở Việt Nam, ung thư đại trực tràng đứng thứ 4 về tỷ lệ...
CA LÂM SÀNG:  ĐIỀU TRỊ BỆNH NHÂN UNG THƯ PHỔI KHÔNG CÒN CHỈ ĐỊNH PHẪU THUẬT TẠI TRUNG TÂM Y HỌC HẠT NHÂN VÀ UNG BƯỚU, BỆNH VIỆN BẠCH MAI

CA LÂM SÀNG: ĐIỀU TRỊ BỆNH NHÂN UNG THƯ PHỔI KHÔNG CÒN CHỈ ĐỊNH PHẪU THUẬT TẠI TRUNG TÂM Y HỌC HẠT NHÂN VÀ UNG BƯỚU, BỆNH VIỆN BẠCH MAI

Ngày đăng: 15/07/2025
Theo GLOBOCAN 2022, trên thế giới, ung thư phổi đứng đầu về số ca mới mắc (với gần 2,5 triệu ca, chiếm 12,4% tổng số ca mới mắc) và đứng đầu về tỷ lệ tử vong (với 1,8 triệu ca, chiếm 18,7% tổng số ca...
Điều trị ung thư đường mật bằng liệu pháp miễn dịch phối hợp hóa chất tại Bệnh viện Bạch Mai

Điều trị ung thư đường mật bằng liệu pháp miễn dịch phối hợp hóa chất tại Bệnh viện Bạch Mai

Ngày đăng: 15/07/2025
Ung thư đường mật (UTĐM) là những tổn thương ác tính xuất phát từ tế bào biểu mô của đường mật, bao gồm: ung thư bóng Vater, ung thư túi mật, UTĐM trong gan và UTĐM ngoài gan. UTĐM có thể di căn ra...
CASE LÂM SÀNG  HIỆU QUẢ CỦA OSIMERTINIB TRONG ĐIỀU TRỊ BỆNH NHÂN UNG THƯ PHỔI DI CĂN NÃO TẠI BỆNH VIỆN BẠCH MAI

CASE LÂM SÀNG HIỆU QUẢ CỦA OSIMERTINIB TRONG ĐIỀU TRỊ BỆNH NHÂN UNG THƯ PHỔI DI CĂN NÃO TẠI BỆNH VIỆN BẠCH MAI

Ngày đăng: 11/07/2025
Ung thư phổi là một trong những bệnh ung thư thường gặp nhất. Theo GLOBOCAN 2022, các số liệu cho thấy trên thế giới, ung thư phổi có tỉ lệ mới mắc và tỉ lệ tử vong hàng đầu. Tại Việt Nam, ung thư...
12345 ...115

Tìm kiếm thông tin

Tin tiêu điểm

CÁC TIÊU CHÍ ĐÁNH GIÁ THƯỜNG GẶP TRONG CÁC THỬ NGHIỆM LÂM SÀNG BỆNH UNG THƯ

CÁC TIÊU CHÍ ĐÁNH GIÁ THƯỜNG GẶP TRONG CÁC THỬ NGHIỆM LÂM SÀNG BỆNH UNG THƯ

(02/12/2025)
Tỷ lệ mắc và tử vong do ung thư tại Việt Nam gia tăng

Tỷ lệ mắc và tử vong do ung thư tại Việt Nam gia tăng

(04/08/2025)
Đường Link các báo cáo Hội nghị Cập nhật tiến bộ trong điều trị ung thư vú tổ chức tại Bệnh viện Bạch Mai ngày 12/8/2022

Đường Link các báo cáo Hội nghị Cập nhật tiến bộ trong điều trị ung thư vú tổ chức tại Bệnh viện Bạch Mai ngày 12/8/2022

(17/08/2022)
Tế bào gốc trung mô và ứng dụng trong y học tái tạo

Tế bào gốc trung mô và ứng dụng trong y học tái tạo

(21/02/2018)

Tin tức - Sự kiện

Tỷ lệ mắc và tử vong do ung thư tại Việt Nam gia tăng

Tỷ lệ mắc và tử vong do ung thư tại Việt Nam gia tăng

(04/08/2025)
Miễn dịch trị liệu ung thư - bước tiến vượt bậc của y học hiện đại

Miễn dịch trị liệu ung thư - bước tiến vượt bậc của y học hiện đại

(04/08/2025)
TỔNG QUAN VỀ  HIỆU QUẢ CỦA ĐIỀU TRỊ ĐA MÔ THỨC CHO UNG THƯ BIỂU MÔ TẾ BÀO GAN QUÁ CHỈ ĐỊNH PHẪU THUẬT: ĐÁNH GIÁ QUA CA LÂM SÀNG ĐƠN LẺ

TỔNG QUAN VỀ HIỆU QUẢ CỦA ĐIỀU TRỊ ĐA MÔ THỨC CHO UNG THƯ BIỂU MÔ TẾ BÀO GAN QUÁ CHỈ ĐỊNH PHẪU THUẬT: ĐÁNH GIÁ QUA CA LÂM SÀNG ĐƠN LẺ

(18/08/2024)
Điều trị bệnh nhân mắc  Ung thư tuyến giáp thể nang di căn phổi

Điều trị bệnh nhân mắc Ung thư tuyến giáp thể nang di căn phổi

(06/08/2024)

Hướng dẫn Khám chữa bệnh

Hạt phóng xạ có thể điều trị tận gốc bệnh ung thư vú

Hạt phóng xạ có thể điều trị tận gốc bệnh ung thư vú

(24/12/2013)
Quỹ bảo hiểm y tế chi hơn 4.400 tỷ đồng cho bệnh nhân ung thư

Quỹ bảo hiểm y tế chi hơn 4.400 tỷ đồng cho bệnh nhân ung thư

(20/11/2008)
10 triệu chứng phát hiện ung thư buồng trứng sớm không thể bỏ qua cho mọi lứa tuổi

10 triệu chứng phát hiện ung thư buồng trứng sớm không thể bỏ qua cho mọi lứa tuổi

(10/05/2017)
Tác dụng phụ thường gặp khi hóa trị

Tác dụng phụ thường gặp khi hóa trị

(20/11/2008)

Video clip

  • Chương trình Ánh sáng tri thức - Khoa học hóa thành sự sống
  • Hội nghị khoa học quốc tế Hội Miễn dịch trị liệu ung thư Việt Nam Ngày 01-02/08/2024
  • Hội nghị cập nhật tiến bộ trong điêu trị ung thư vú tại Bệnh viện Bạch Mai ngày 12/8/2022

 

Thống kê truy cập

Members : 4496
Content : 1268
Web Links : 3
Content View Hits : 358314

Trung tâm Y học Hạt nhân và Ung bướu

Trung Tâm Y Học Hạt Nhân và Ung Bướu Bệnh Viện Bạch Mai

Địa chỉ: Số 78, Đường Giải Phóng, Phương Mai, Đống Đa, Hà Nội Điện thoại: (04) 3576 5590 Email: tuvan@ungthubachmai.com.vn, ungbuoubachmai@gmail.com
Liên hệ, góp ý Bản đồ
Tổng biên tập: GS.TS. Mai Trọng Khoa Giấy phép số 125/GP-TTĐT, Cục quản lý phát thanh, truyền hình và thông tin điện tử cấp ngày 17 tháng 6 năm 2010. Ghi rõ nguồn "ungthubachmai.com.vn" khi phát hành lại thông tin từ website này.
© 2017 Bản quyền thuộc về Trung tâm Y học Hạt nhân và Ung bướu
Thiết kế website bởi BICWeb.vn™