Ca lâm sàng: ĐIỀU TRỊ ĐA MÔ THỨC TRONG UNG THƯ TRỰC TRÀNG GIAI ĐOẠN MUỘN

Ngày đăng: 08/01/2026 Lượt xem 188
Ca lâm sàng: 
ĐIỀU TRỊ ĐA MÔ THỨC TRONG UNG THƯ TRỰC TRÀNG GIAI ĐOẠN MUỘN 
GS. TS. Mai Trọng Khoa, PGS. TS. Phạm Cẩm Phương, 
ThS.BS. Nguyễn Xuân Thanh, BSNT Vũ Thị Niên
Trung tâm Y học hạt nhân và Ung bướu, Bệnh viện Bạch Mai
Theo GLOBOCAN 2022, ung thư đại trực tràng là loại ung thư thường gặp thứ 3 trên thế giới với hơn 1,9 triệu ca mắc mới và đứng thứ 2 về tỷ lệ tử vong với hơn 900.000 ca tử vong. Tại Việt Nam, số ca mắc mới là hơn 16 nghìn ca, đứng thứ 4 trong các loại ung thư và hơn 8000 ca tử vong.
Điều trị ung thư là điều trị đa mô thức, tức là phổi hợp nhiều phương pháp điều trị. Bên cạnh các phương pháp điều trị truyền thống như phẫu thuật, hóa chất, xạ trị, thì các phương pháp điều trị mới như điều trị nhắm trúng đích, điều trị miễn dịch, liệu pháp sinh học… đang mở ra những cơ hội mới cho các bệnh nhân ung thư đại trực tràng giai đoạn muộn. 
Dưới đây là một bệnh nhân ung thư trực tràng giai đoạn muộn đã được điều trị đa mô thức tại trung tâm Y học hạt nhân và Ung bướu, Bệnh viện Bạch Mai. 
Họ tên: Nguyễn Đình T., Nam, 57 tuổi
Ngày vào viện: 05/ 05/ 2024
Lí do vào viện: Đau ngực, ho khan
Tiền sử: chưa phát hiện bệnh lý khác trước đây 
Bệnh sử: Tháng 3/2023, bệnh nhân được chẩn đoán ung thư trực tràng cao đã phẫu thuật cắt đoạn đại trực tràng + vét hạch tại tại Bệnh viện Quân y 110. Giải phẫu bệnh sau mổ: ung thư biểu mô tuyến biệt hóa vừa xâm nhập lớp cơ, 3/3 hạch viêm mạn tính. Sau đó bệnh nhân được theo dõi định kỳ -> Tháng 5/2024 bệnh nhân xuất hiện đau ngực trái âm ỉ, kèm ho khan, không ho ra máu, không khó thở, không đau bụng, đại tiện bình thường, đi khám được chụp cắt lớp vi tính lồng ngực phát hiện nốt ở phổi trái kích thước 23x25mm, sinh thiết, giải phẫu bệnh và hóa mô miễn dịch: ung thư biểu mô tuyến di căn nguồn gốc đại trực tràng, BRAF (-), KRAS (+). Sau đó bệnh nhân được nhập viện vào Trung tâm Y học hạt nhân và Ung bướu – Bệnh viện Bạch Mai.
Khám lúc vào viện:
- Bệnh nhân tỉnh, tiếp xúc tốt
- Thể trạng trung bình, thể trạng chung tốt, chiều cao: 173cm, cân nặng: 65kg      
- Mạch: 80 lần/phút, huyết áp: 120/80mmHg
- Hạch ngoại vi không sờ thấy
- Tim đều, T1, T2 rõ, không có tiếng bất thường
- Phổi: Rì rào phế nang phổi phải giảm, không rales
- Bụng mềm, gan lách không to
- Cơ quan bộ phận khác chưa phát hiện bất thường
Các xét nghiệm cận lâm sàng:
- Xét nghiệm: công thức máu, chức năng gan thận, điện giải đồ trong giới hạn bình thường; HIV (-), HbsAg (-).
- Xét nghiệm chất chỉ điểm u: CEA: 0,88 ng/ml (bình thường: < 4,3 ng/ml)
- Nội soi dạ dày, đại tràng: chưa phát hiện bất thường.
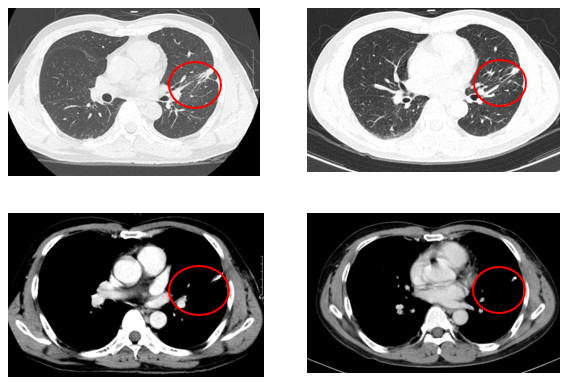
- Chụp cắt lớp vi tính lồng ngực: khối thùy trên phổi trái tỷ trọng tổ chức có phế quản chứa khí, có vôi hóa, 23x25mm, bờ tròn
 
Hình 1: Hình ảnh chụp cắt lớp vi tính lồng ngực: hình ảnh u thùy trên phổi trái
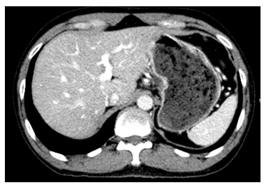
- Chụp cắt lớp vi tính ổ bụng: chưa phát hiện tổn thương thứ phát
 
Hình 2: Hình ảnh chụp cắt lớp vi tính ổ bụng: chưa phát hiện bất thường 
- Bệnh nhân được sinh thiết xuyên thành ngực u phổi trái 
- Làm xét nghiệm mô bệnh học, kết quả: ung thư biểu mô tuyến
- Nhuộm hoá mô miễn dịch: được xác định nguồn gốc tại đại trực tràng, không có mất bộc lộ protein của gen MMR (pMMR).
- Xét nghiệm để tìm đột biến gen của mẫu mô sinh thiết: không có đột biến gen BRAF, phát hiện đột biến p.Gly12Val trên codon 12 tại exon 2 gen KRAS.
Chẩn đoán xác định:
Ung thư trực tràng cao đã phẫu thuật tái phát di căn phổi, giai đoạn IV (T2N0M1)
Giải phẫu bệnh: Ung thư biểu mô tuyến, BRAF (-), KRAS (+), pMMR
Điều trị:
- Bệnh nhân được điều trị hóa chất phác đồ XELOX kết hợp thuốc đích kháng sinh mạch Bevacizumab x 4 chu kỳ -> sau đó phẫu thuật cắt một phần thùy trên phổi trái chứa u. Sau phẫu thuật, điều trị 4 chu kỳ XELOX + Bevacizumab 
Đánh giá sau điều trị:
Lâm sàng: Sau 3 tháng bệnh nhân không còn đau tức ngực, không ho, không khó thở. Sau 6 tháng bệnh nhân ổn định, tăng cân, đại tiểu tiện bình thường, không đau ngực, không khó thở.  
Trong quá trình điều trị, bệnh nhân có tác dụng phụ hạ bạch cầu và hạ tiểu cầu độ 2 ở chu kỳ 7 (chu kỳ 3 sau phẫu thuật cắt một phần thùy phổi), điều trị hỗ trợ, giãn chu kỳ truyền hóa chất 7 ngày, tình trạng hạ bạch cầu, hạ tiểu cầu về ổn định, bệnh nhân được truyền chu kỳ tiếp theo. 
Xét nghiệm chất chỉ điểm u: Nồng độ CEA nằm trong giới hạn bình thuờng, ổn định qua các đợt điều trị:

 Chụp cắt lớp vi tính lồng ngực và ổ bụng sau điều trị 3 tháng và 6 tháng:  
 


Hình 5: Hình ảnh chụp cắt lớp vi tính lồng ngực sau điều trị 3 và 6 tháng: vài dải xơ xẹp phổi trái, không phát hiện các tổn thương tái phát, thứ phát 
Tóm lại:
Trên đây là một bệnh nhân nam được chẩn đoán bệnh tái phát, ở giai đoạn muộn (ung thư trực tràng cao giai đoạn IV), được điều trị đa mô thức bao gồm hóa chất, điều trị đích và phẫu thuật, đạt được đáp ứng hoàn toàn tại Trung tâm y học hạt nhân và ung bướu – Bệnh viện Bạch Mai. Hiện tại bệnh nhân hoàn toàn không đau ngực, không khó thở, đại tiểu tiện bình thường, sinh hoạt bình thường và đang được tiếp tục điều trị và theo dõi. Hy vọng bệnh nhân sẽ đạt ổn định bệnh lâu dài.

Tin liên quan