Ca lâm sàng: Điều trị bệnh nhân ung thư phổi không tế bào nhỏ di căn màng phổi tại Trung tâm Y học hạt nhân và Ung bướu, Bệnh viện Bạch Mai

Ngày đăng: 10/01/2026 Lượt xem 196

Ca lâm sàng: Điều trị bệnh nhân ung thư phổi không tế bào nhỏ di căn màng phổi tại Trung tâm Y học hạt nhân và Ung bướu, Bệnh viện Bạch Mai

GS. TS. Mai Trọng Khoa, PGS. TS. Phạm Cẩm Phương, BSNT. Đào Thị Trinh

Trung tâm Y học hạt nhân và Ung bướu, Bệnh viện Bạch Mai

Theo số liệu từ GLOBOCAN 2022, ung thư phổi đang đứng đầu trong danh sách các loại ung thư với 2.48 triệu ca mắc mới, chiếm 12.4% tổng số ca mắc trên toàn thế giới, và 1.8 triệu ca tử vong, chiếm 18.7% tổng số ca tử vong. Tại Việt Nam, ung thư phổi đứng thứ ba trong các bệnh ung thư, với 24.420 ca mắc mới và 22.597 ca tử vong. Ung thư phổi không tế bào nhỏ (NSCLC) là dạng ung thư phổi phổ biến nhất, chiếm khoảng 80% tổng số ca ung thư phổi. Đáng chú ý, khoảng 80% bệnh nhân ung thư phổi tại Việt Nam được chẩn đoán ở giai đoạn bệnh đã di căn xa. Ở giai đoạn muộn, ung thư phổi có tỷ lệ đáp ứng thấp với hoá trị và tiên lượng thường không khả quan. Tuy nhiên hiện nay, những tiến bộ vượt bậc trong việc phát hiện các đột biến gen (EGFR, ALK, ROS-1...) và các phương pháp điều trị nhắm trúng đích đặc hiệu điều trị ung thư phổi không tế bào nhỏ giai đoạn muộn đã mở ra hy vọng mới giúp cải thiện rõ rệt tỷ lệ sống thêm và giảm thiểu tác dụng phụ không mong muốn.

Trong phương pháp điều trị nhắm trúng đích, các kháng thể đơn dòng hoặc thuốc phân tử nhỏ giống như những "chìa khóa", có khả năng gắn vào các vị trí đặc hiệu trên bề mặt tế bào ung thư, được ví như các "ổ khóa". Sự kết hợp đặc hiệu tác động trực tiếp vào tế bào ung thư, làm chúng bị tiêu diệt hoặc ngừng phát triển. Phương pháp này mang lại hiệu quả cao nhờ vào sự chính xác trong việc nhắm trúng tế bào ung thư, giảm thiểu tác động đến các tế bào khỏe mạnh xung quanh.

Dưới đây là một bệnh nhân ung thư phổi di màng phổi được điều trị ổn định bằng phương pháp điều trị đích.

Họ tên: T.D.Q. Nam, 37 tuổi

Ngày vào viện: 16/05/2024

Lí do vào viện: Đau ngực

Tiền sử: Hút thuốc lá 10 năm, số lượng khoảng 2 bao/ tuần

Bệnh sử: Cách vào viện 3 tháng, bệnh nhân xuất hiện đau tức ngực phải, ho có ít đờm trong kèm theo khó thở nhẹ. Đau tức ngực và khó thở tăng lên khi gắng sức, bệnh nhân mệt mỏi nhiều. Bệnh nhân đi khám tại Trung tâm hô hấp bệnh viện Bạch Mai và được chụp phim cắt lớp vi tính lồng ngực phát hiện tổn thương dạng hang thùy trên phổi phải kèm các nốt đặc rải rác phổi hai bên, tràn dịch màng phổi phải. Bệnh nhân đã được chọc dò dịch màng phổi làm các xét nghiệm loại trừ lao, xét nghiệm Cell blocks và hóa mô miễn dịch có kết quả phù hợp với ung thư biểu mô tuyến nguyên phát tại phổi di căn. Bệnh nhân được nhập viện vào Trung tâm Y học hạt nhân và Ung bướu – Bệnh viện Bạch Mai.

Khám lúc vào viện:      

-        Bệnh nhân tỉnh, tiếp xúc tốt

-        Không sốt

-        Mạch:80 lần/phút, Huyết áp: 120/70mmHg

-        Thể trạng trung bình, PS: 1, chiều cao: 173cm, cân nặng: 81kg   

-        Da niêm mạc hồng, không phù, không xuất huyết dưới da

-        Hạch ngoại vi không to

-        Lồng ngực hai bên cân đối, không có u cục thành ngực

-        Phổi rì rào phế nang rõ, không có rales

-        Các cơ quan khác không thấy bất thường

Các kết quả cận lâm sàng:

-       Xét nghiệm: công thức máu, chức năng gan thận, điện giải đồ đều trong giới hạn bình thường; HIV (-), HbsAg (-).

-       Xét nghiệm chất chỉ điểm u tăng: CEA: 7.0 ng/ml (bình thường: < 5.0ng/ml); Cyfra 21-1: 4.89 ng/ml (bình thường: < 2.37 ng/ml).

-        Nội soi dạ dày, đại tràng chưa phát hiện bất thường.

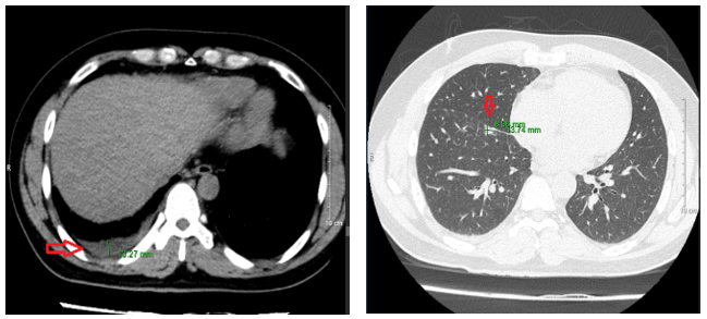
Chụp cắt lớp vi tính lồng ngực: Phổi phải nhu mô thùy trên sát rãnh liên thùy lớn có tổn thương dạng hang chứa khí kích thước 18x20mm, thành dày 8mm, bờ không đều. Nhu mô phổi còn lại có nhiều nốt đặc, nốt lớn nhất đường kính 13mm. Không thấy giãn phế quản - phế nang. Rãnh liên thùy phổi trái có nốt đặc bờ đều đường kính 2mm. Dịch khoang màng phổi phải dày 13mm.


Hình 1: Hình ảnh chụp cắt lớp vi tính lồng ngực: hình ảnh tràn dịch màng phổi phải và nhiều nốt đặc nhu mô phổi phải


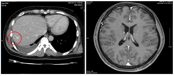
- Chụp cắt lớp vi tính ổ bụng: Hình ảnh theo dõi u máu gan phải kích thước 18x20mm

- Chụp cộng hưởng từ sọ não: Hiện tại không có bất thường

- Bệnh nhân đã được chọc dịch màng phổi ra khoảng 20ml dịch vàng đậm 

- Làm xét nghiệm khối tế bào (Cellblocks) kết quả là ung thư biểu mô tuyến di căn.

- Nhuộm hoá mô miễn dịch: phản ứng dương tính với các dấu ấn: CK7, CK20 (ổ, yếu), TTF1; âm tính với các dấu ấn: CDX2, Calre, Napsin => ung thư biểu mô tuyến nguyên phát tại phổi di căn.

- Xét nghiệm để tìm đột biến gen EGFR mẫu dịch màng phổi: Phát hiện đột biến xóa đoạn trên exon 19.

Chẩn đoán xác định:

-        Ung thư phổi phải di căn màng phổi, giai đoạn IVa (T4N2M1)

-        Giải phẫu bệnh: Ung thư biểu mô tuyến, EGFR dương tính

Điều trị:

-         Thuốc điều trị đích thế hệ thứ 2: Afatinib (Giotrif) 40mg/ ngày. Uống hàng ngày.

Đánh giá sau điều trị:

-        Lâm sàng: Sau 1 tháng bệnh nhân đỡ đau tức ngực, không ho, không khó thở. Hiện tại sau 10 tháng điều trị, bệnh nhân ổn định, không khó thở, thỉnh thoảng đau ít ngực phải

-        Trong quá trình điều trị: 

Trong tháng đầu tiên bệnh nhân có tình trạng viêm loét niêm mạc miệng được kê đơn vitamin B, anginovag xịt họng, tình trạng cải thiện và hết.

Tháng thứ 2 bệnh nhân có tác dụng phụ viêm da các đầu ngón tay, ngón chân và tiêu chảy độ 2. Bệnh nhân được dùng thuốc Loperamid 2mg x 1- 2 viên/ngày, tình trạng rối loạn tiêu hóa cải thiện sau đó hết hẳn.

Tháng thứ 3 bệnh nhân có tình trạng tăng nhẹ men gan được điều trị bổ gan và men gan trở về giá trị bình thường.

-        Xét nghiệm chất chỉ điểm u: Nồng độ chất chỉ điểm u trong máu giảm về mức bình thường sau 3 tháng điều trị và giữ ổn định đến hiện tại

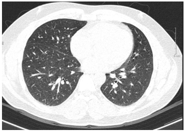
-        Chụp cắt lớp vi tính lồng ngực sau điều trị 10 tháng:  Nhu mô thùy trên sát rãnh liên thùy lớn có tổn thương dạng hang chứa khí kích thước 18x13mm, thành dày, có xơ hóa lân cận. Nhu mô phổi còn lại có vài nốt đặc, nốt lớn nhất đường kính 6mm. Phổi trái có vài nốt đặc bờ đều đường kính 5 mm.

Hình 4: Hình ảnh chụp cắt lớp vi tính lồng ngực sau điều trị 10 tháng: các nốt tổn thương gần hết và không có tràn dịch màng phổi

-        Chụp cắt lớp vi tính ổ bụngNốt đặc xương thân -cánh trái xương cùng kích thước 15x8mm và xương cánh chậu trái kích thước 13x9mm. Hình ảnh theo dõi u máu gan phải/ gan nhiễm mỡ


Hình 5: hình ảnh chụp cắt lớp vi tính ổ bụng sau điều trị 10 tháng không có tổn thương nghi ngờ thứ phát


Bàn luận

- Đây là trường hợp lâm sàng của một bệnh nhân nam trẻ, mới 37 tuổi, đến khám với các triệu chứng ho, đau tức ngực và khó thở nhẹ. Những dấu hiệu này dễ bị coi thường do tương tự các bệnh lý hô hấp thông thường. Tuy nhiên, sau khi được chẩn đoán bệnh đã ở giai đoạn muộn (ung thư phổi giai đoạn IV).

- Dù vậy, bệnh nhân đã có sự đáp ứng tốt với phương pháp điều trị và hiện đang tiếp tục điều trị bằng thuốc đích Afatinib tại Trung tâm Y học Hạt nhân và Ung bướu– Bệnh viện Bạch Mai. Hiện tại, bệnh nhân chỉ còn thỉnh thoảng cảm thấy đau ngực nhẹ, không khó thở, sinh hoạt hàng ngày bình thường, và đang được tiếp tục theo dõi, điều trị.


Tin liên quan