Case lâm sàng: Ung thư trực tràng di căn phúc mạc được chẩn đoán và điều trị tại Trung tâm Y học hạt nhân và Ung bướu Bệnh viện Bạch Mai.
GS. TS. Mai Trọng Khoa, PGS. TS. Phạm Cẩm Phương, PGS. TS. Phạm Văn Thái,
ThS. Trần Văn Oai, BSNT. Hoàng Đăng Huy
Trung tâm Y học hạt nhân và Ung bướu - Bệnh viện Bạch Mai
Ung thư trực tràng là loại ung thư phổ biến với tỷ lệ mới mắc đứng thứ ba và tử vong đứng thứ hai trong các loại ung thư ở trên phạm vi toàn cầu. Tại Việt Nam, bệnh đứng thứ tư với hơn 16.000 ca mắc mới mỗi năm. Trên lâm sàng, bệnh nhân thường đi khám với các triệu chứng đau bụng, rối loạn tiêu hóa, đi ngoài phân máu, phân dẹt,…Trong quá trình chẩn đoán, khi có nghi ngờ khối u trực tràng các bác sỹ sẽ thăm trực tràng, chỉ định nội soi đại trực tràng, chụp cắt lớp vi tính ổ bụng-tiểu khung để đánh giá. Thông thường khi có u trực tràng sẽ dễ dàng phát hiện được bằng thăm khám và các cận lâm sàng nêu trên. Tuy nhiên trong một số trường hợp ung thư trực tràng biểu hiện không điển hình, khối u nguyên phát thể thâm nhiễm nhỏ rất khó phát hiện, bệnh chỉ biểu hiện triệu chứng ở các tổn thương di căn xa.
Sau đây, chúng tôi xin giới thiệu ca lâm sàng Ung thư trực tràng di căn phúc mạc khó chẩn đoán được chẩn đoán và điều trị tại Trung tâm Y học hạt nhân và Ung bướu bệnh viện Bạch Mai.
Họ và tên: Đỗ Thị H Giới: Nữ Tuổi: 74
Lí do vào viện: rối loạn tiêu hóa, đau bụng hạ vị
Bệnh sử:
Bệnh biểu hiện từ tháng 07/2024 với triệu chứng đi ngoài phân táo, lỏng thất thường, không đi ngoài phân máu kèm theo đau bụng hạ vị âm ỉ, gầy sút 2kg/3 tháng, không sốt, không buồn nôn, không nôn, ăn uống bình thường. Bệnh nhân đi khám và điều trị tại tuyến y tế cơ sở tuy nhiên các triệu chứng không giảm. Bệnh nhân được chuyển đến bệnh viện Bạch Mai khám và điều trị.
Tiền sử:
Bản thân: Khỏe mạnh
Gia đình: Chưa phát hiện bệnh lí liên quan
Tình trạng lúc vào viện
Tỉnh, tiếp xúc tốt
Thể trạng trung bình
Da niêm mạc bình thường
Không sốt, nhiệt độ 36.5 độ C
Mạch: 76 lần/phút, Huyết áp: 120/70 mmHg
Tim đều, tiếng tim T1, T2 rõ
Rì rào phế nang 2 phổi rõ
Bụng mềm, chướng nhẹ
Gan lách không sờ thấy
Đau bụng hạ vị âm ỉ
Thăm trực tràng không phát hiện u cục, không có máu theo găng
Cơ quan khác chưa phát hiện bất thường
Cận lâm sàng:
Công thức máu: Hồng cầu 3.92 T/L, Bạch cầu 6.18 G/L, Tiểu cầu: 412 G/L (Giảm nhẹ hồng cầu, bạch cầu, tiểu cầu trong giới hạn bình thường)
Sinh hóa máu: Ure 5.3 mmol/l, creatinin 61µmol/l, GOT/GPT 14/9 U/L (chức năng gan, thận trong giới hạn bình thường)
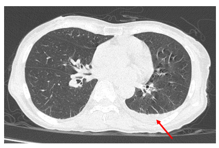
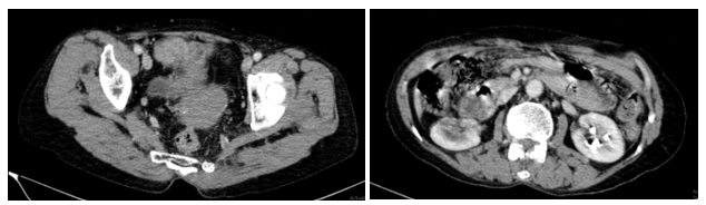
Chụp CT ổ bụng có tiêm thuốc cản quang:
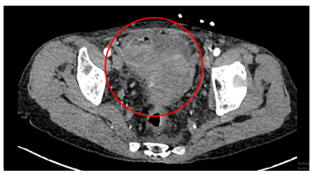
Hình 1: Hình ảnh khối vùng tiểu khung kích thước 52x69mm (vòng tròn đỏ).
Hình 2: Dày lan tỏa phúc mạc, ngấm thuốc mạnh sau tiêm (mũi tên đỏ).
Hình 3: Dịch tự do ổ bụng, chỗ dày nhất 53 mm (mũi tên vàng).
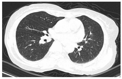
Chụp CT lồng ngực:

Hình 4: Hình ảnh vài dải xẹp phổi thùy dưới phổi hai bên. Ít dịch màng phổi trái
10 mm (mũi tên đỏ).
MRI tiểu khung:
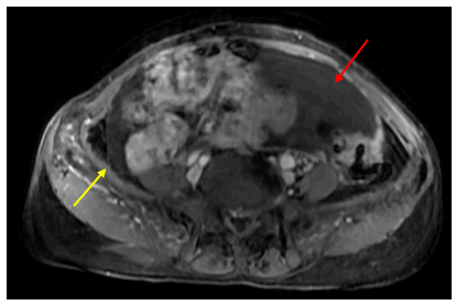
Hình 5: Vị trí cạnh đáy tử cung hai bên có các đám ngấm thuốc mạnh, lớn nhất kích thước 18x19mm, ranh giới không rõ với lớp cơ ngoài tử cung và các quai ruột lân cận (mũi tên đỏ). Trực tràng xẹp, hạn chế đánh giá,sơ bộ thấy dày nhẹ thành trước trực tràng cao, dày nhất 7mm, trên đoạn dài 50mm, tăng ngấm thuốc nhẹ sau tiêm, không thấy mất cấu trúc lớp, không thấy thâm nhiễm ngoài thành (mũi tên vàng).
Hình 6: Nhiều dịch tự do ổ bụng, dày nhất do được ở tiểu khung ~35mm (mũi tên đỏ). Dày phúc mạc lan tỏa (mũi tên vàng).
Nội soi dạ dày: Viêm dạ dày.
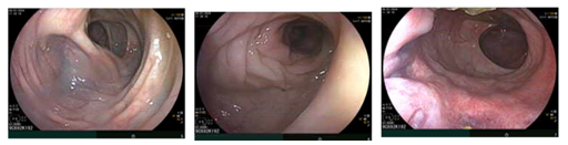
Nội soi đại trực tràng:
Hình 7: Hình ảnh nội soi đại trực tràng bình thường. Trĩ nội độ I.
Siêu âm tử cung, phần phụ qua đường âm đạo: chưa phát hiện bất thường.
Chất chỉ điểm khối u: CEA: 6.53 ng/ml CA125: 141.2 U/ml HE4: 104.1 pmol/L
Cell bloc dịch ổ bụng: Dịch viêm cấp.
Bệnh nhân được nội soi ổ bụng sinh thiết nốt phúc mạc thành.
Mô bệnh học của phúc mạc: Ung thư biểu mô tuyến di căn.
Sau đó, bệnh nhân được chuyển đến Trung tâm Y học hạt nhân và Ung bướu khám và điều trị.
Từ các dữ liệu lâm sàng và cận lâm sàng trên có thể chẩn đoán sơ bộ: Ung thư biểu mô tuyến di căn phúc mạc chưa rõ nguyên phát. Đối với trường hợp bệnh nhân nữ ung thư di căn phúc mạc thường nghĩ nhiều đến nguồn gốc buồng trứng. Tuy nhiên các kết quả cộng hưởng từ vùng chậu, siêu âm tử cung phần phụ không phát hiện tổn thương tại buồng trứng và mô bệnh học tổn thương di căn là biểu mô tuyến. Do đó, các bác sĩ chuyên khoa ung bướu đã hội chẩn với chuyên khoa giải phẫu bệnh để nhuộm hóa mô miễn dịch bệnh phẩm phúc mạc để tìm nguồn gốc.
Mô bệnh học và hóa mô miễn dịch (phúc mạc):Hình ảnh mô bệnh học và hóa mô miễn dịch phù hợp với ung thư biểu mô tuyến di căn, gợi ý nguồn gốc đường tiêu hoá thấp. Dấu ấn CA 19-9 + nền, WT1-, Meso-. Đề nghị kiểm tra đường tiêu hoá và các cơ quan khác.
Chất chỉ điểm khối u: CA 19-9: 9.5 U/ml CA 72-4: 2.34 U/ml
Từ kết quả mô bệnh học và hóa mô miễn dịch trên nghĩ nhiều đến ung thư đường tiêu hóa dưới (đại, trực tràng). Tuy nhiên kết quả nội soi đại trực tràng lần 1 không phát hiện tổn thương. Dữ liệu ủng hộ nhiều về ung thư tiêu hóa do đó bệnh nhân được chỉ định nội soi lại đại trực tràng lần 2 và có đề nghị bác sĩ nội soi kiểm tra cẩn thận trong lần này.
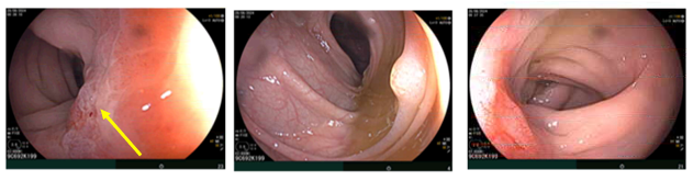
Nội soi đại trực tràng lần 2:
Hình 8: Trực tràng cách rìa hậu môn ~12cm có tổn thương thâm nhiễm co kéo niêm mạc xung quanh (mũi tên vàng), sinh thiết tổn thương làm mô bệnh học.
Mô bệnh học trực tràng: Ung thư biểu mô tuyến kém biệt hóa. Không có mất biểu hiện protein gen MMR (pMMR).
Xét nghiệm đột biến gen: Hiện tại không phát hiện đột biến gen KRAS, BRAF.
Chẩn đoán xác định: Ung thư biểumô tuyến kém biệt hóa của trực tràng cao di căn phúc mạc.
Điều trị:
Bệnh nhân đã được điều trị hóa chất phác đồ CAPEOX-BEVACIZUMAB x 08 chu kì.
Sau 8 chu kì hóa chất, bệnh đáp ứng tốt.
Chất chỉ điểm khối u: CEA 8.3 ng/ml CA 19-9: 14.1 U/ml

Hình 9: Chụp CT lồng ngực có tiêm thuốc cản quang sau điều trị không phát hiện hình ảnh nghi ngờ thứ phát.
Hình 10: Chụp CT ổ bụng có tiêm thuốc cản quang sau điều trị không phát hiện dịch ổ bụng, không phát hiện hình ảnh dày phúc mạc khu trú.
Sau 8 chu kì hóa chất bệnh có đáp ứng, chuyển sang duy trì hóa chất phác đồ CAPECITABINE-BEVACIZUMAB được 03 chu kì.
Hiện tại bệnh nhân toàn trạng ổn định và tiếp tục điều trị theo phác đồ.
Lời bàn
Lâm sàng của ung thư đường tiêu hóa rất đa dạng, nhiều trường hợp khối u nguyên phát có biểu hiện không điển hình và chỉ biểu hiện triệu chứng ở các cơ quan di căn khiến việc chẩn đoán gặp nhiều khó khăn. Nội soi tiêu hóa đóng vai trò quan trọng trong phát hiện tổn thương, tuy nhiên trong một số trường hợp, các tổn thương nhỏ hoặc nằm ở vị trí khó quan sát, các tổn thương thâm nhiễm,… có thể bị bỏ sót.
Vì vậy, để nâng cao hiệu quả chẩn đoán, các bác sĩ cần kết hợp đầy đủ các dữ liệu lâm sàng, xét nghiệm cận lâm sàng (như sinh hóa,hình ảnh học, mô bệnh học), và tiến hành hội chẩn đa chuyên khoa. Việc phối hợp đa ngành không chỉ giúp xác định chẩn đoán một cách chính xác mà còn rút ngắn thời gian chẩn đoán, từ đó góp phần cải thiện tiên lượng và hiệu quả điều trị cho người bệnh.