Ca lâm sàng:
Điều trị Trastuzumab phối hợp với hóa chất tân bổ trợ trên bệnh nhân ung thư vú có thụ thể Her-2 dương tính tại bệnh viện Bạch Mai
GS. TS. Mai Trọng Khoa, PGS. TS Phạm Cẩm Phương, TS. Phạm Văn Thái, BSNT. Mẫn Thị Huế
Trung tâm Y học hạt nhân và Ung bướu - Bệnh viện Bạch Mai
Trường Đại học Y Dược - Đại học Quốc Gia Hà Nội
Ung thư vú là một trong số các bệnh ung thư phổ biến nhất ở nhiều nước trên thế giới cũng như tại Việt Nam. Theo số liệu từ GLOBOCAN 2022, ung thư vú đứng hàng đầu trên thế giới với gần 2,3 triệu ca, chiếm 11,5% tổng số ca mắc mới các bệnh ung thư. Trong số bệnh nhân tử vong do ung thư thì ung thư vú chiếm 6,8%, đứng thứ 4 (xếp sau ung thư phổi, ung thư đại trực tràng, ung thư gan). Tại Việt Nam, theo ghi nhận GLOBOCAN 2022, số ca mới mắc ung thư vú đứng hàng đầu, chiếm 13,6% tổng số ca mắc mới các bệnh ung thư, tỷ lệ tử vong chiếm 8,3%, đứng thứ 4 (sau ung thư gan, ung thư phổi và ung thư dạ dày)[1].
Thụ thể yếu tố tăng trưởng biểu bì người 2 (Her-2), thuộc họ yếu tố tăng trưởng biểu bì (EGFR). Các thụ thể này rất quan trọng trong việc kích hoạt các con đường truyền tín hiệu dưới tế bào kiểm soát sự phát triển và biệt hóa tế bào biểu mô. Khoảng 15-30% bệnh nhân ung thư vú xâm lấn có Her-2 dương tính. Một số nghiên cứu đã chỉ ra rằng, ung thư vú có Her-2 dương tính có tiên lượng xấu và có nguy cơ tái phát cao hơn ung thư vú có Her-2 âm tính. Việc bổ sung Trastuzumab vào hóa trị tân bổ trợ giúp kéo dài thời gian sống còn cho bệnh nhân ung thư vú có Her-2 dương tính [2].
Sau đây, chúng tôi xin giới thiệu một trường hợp lâm sàng bệnh nhân ung thư vú có thụ thể Her-2 dương tính được điều trị theo phác đồ hoá chất tân bổ trợ kết hợp với Trastuzumab, đáp ứng tốt tại Trung tâm Y học hạt nhân và ung bướu Bệnh viện Bạch Mai.
Họ và tên: Trần Thị M. Giới: Nữ Tuổi: 43
Ngày vào viện: 03/07/2024
Lý do vào viện: Sờ thấy khối u vú phải
Bệnh sử: Cách vào viện 2 tuần, bệnh nhân tự sờ thấy khối u vú phải, không đau, không chảy dịch, không co kéo da.Bệnh nhân vào viện Bạch Mai khám được sinh thiết khối u vú phải cho kết quả: ung thư biểu mô tuyến vú xâm nhập, NST độ II, ER dương tính, PR dương tính, Her-2 dương tính, Ki67 dương tính 25%. Sau đó bệnh nhân được chuyển đến Trung tâm Y học hạt nhân và Ung bướu, Bệnh viện Bạch Mai điều trị.
Tiền sử:
· Bản thân: tiền sử sản khoa: PARA 2002, chưa mãn kinh, chưa phát hiện các bệnh lý mạn tính và bệnh lý liên quan.
· Gia đình: Chưa phát hiện bệnh lý liên quan
Khám lâm sàng:
· Bệnh nhân tỉnh, Glasgow 15 điểm
· Toàn trạng PS 0
· Huyết động ổn
· Da niêm mạc hồng
· Khối u vú phải kích thước 2x6cm, mật độ cứng chắc, di động hạn chế, ranh giới không rõ ràng, không sưng đau, không chảy dịch, không co kéo da, không tụt núm vú
· Vú trái bình thường
· Hạch hố nách phải kích thước 1x1cm, cứng chắc, di động hạn chế, không sưng đỏ, đau khi sờ nắn
· Tim đều, T1, T2 rõ, không có tiếng thổi bệnh lý
· Phổi rì rào phế nang rõ,không có rales
· Bụng mềm, không chướng
· Đại tiểu tiện bình thường
· Các cơ quan khác chưa phát hiện bất thường
Cận lâm sàng:
- Công thức máu (03/07/2024): trong giới hạn bình thường
- Sinh hóa máu (03/7/2024): trong giới hạn bình thường
- Chất chỉ điểm khối u (03/07/2024): CA15-3: 22.7 (trong giới hạn bình thường)
- Kết quả sinh thiết làm mô bệnh học và nhuộm hóa mô miễn dịch: Ung thư biểu mô tuyến vú xâm nhập,ER(3+)80%, PR(3+) 80%, Her-2 (3+), Ki67 25%.
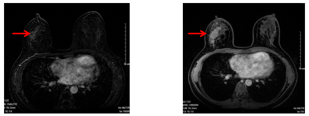
- Chụp cộng hưởng từ tuyến vú hai bên: (03/07/2024)
+ Vú Phải:
· Vị trí góc ¼ trên trong có khối kích thước 25x61mm, tăng tín hiệu trên STIR, hạn chế khuếch tán trên DWI/ADC, sau tiêm ngấm thuốc sớm, tăng dần, không thấy thải thuốc.
· Không thấy hình ảnh tụt núm vú, không thấy co kéo da
· Hạch hố nách bên phải,chặng I có vài hạch, có vỏ dày, kích thước lớn nhất 7x13mm
+ Vú trái: Hệ thống ống tuyến cân đối, không thấy khối, không tụt núm vú, không co kéo da
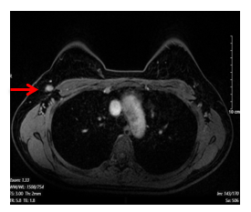
Hình 1. Hình ảnh chụp cộng hưởng từ tuyến vú: Hình ảnh khối u vú phải kích thước 25x61mm, sau tiêm ngấm thuốc sớm, tăng dần, không thấy thải thuốc (mũi tên màu đỏ)

Hình 2. Hình ảnh chụp cộng hưởng từ tuyến vú. Hạch hố nách bên phải, có vỏ dày, kích thước 7x13mm (mũi tên màu đỏ)
- Chụp cắt lớp vi tính lồng ngực (03/07/2024)
+ Vú phải có khối tổn thương ngấm thuốc sau tiêm kích thước lớn nhất 22x34mm, vài hạch vùng nách bên phải kích thước lớn nhất 9x7mm
+ Không thấy tổn thương di căn xa
- Chụp cắt lớp vi tính ổ bụng (03/07/2024): không thấy bất thường,không thấy tổn thương di căn xa
- Chụp cắt lớp vi tính sọ não (03/07/224): không thấy bất thường,không thấy tổn thương di căn xa
Chẩn đoán xác định: Ung thư biểu mô tuyến xâm nhập vú phải di căn hạch nách, luminal B, Her-2 dương tính, cT3N1M0, giai đoạn IIIA
Điều trị: Bệnh nhân được chỉ định truyền hóa chất tân bổ trợ 6 đợt bằng phác đồ TC kết hợp Trastuzumab (phác đồ TCH), sau tân bổ trợ phẫu thuật Patey vú phải, sau đó tiếp tục điều trị Trastuzumab bổ trợ trong ít nhất 1 năm.
Phác đồ TCH: Chu kỳ: 21 ngày
Docetaxel 100mg/5ml truyền tĩnh mạch ngày 1
Carboplatin 150mg/15ml truyền tĩnh mạch ngày 1
Trastuzumab 150mg truyền tĩnh mạch ngày 1
Bệnh nhân hoàn thành 6 chu kỳ hóa chất thuận lợi, gặp một số tác dụng phụ như mệt mỏi và buồn nôn sau truyền, các triệu chứng này sau đó giảm dần.
Đánh giá sau 6 chu kỳ truyền hoá chất tân bổ trợ kết hợp Trastuzumab
- Lâm sàng: toàn trạng ổn định, khối u vú phải giảm kích thước, không chảy dịch, không sưng đau, không co kéo da
- Cận lâm sàng:
+ Chất chỉ điểm khối u (26/11/2024): CA15-3: 20.9 (trong giới hạn bình thường),giảm nhẹ so với trước điều trị
+ Siêu âm tuyến vú (16/09/2024): Vú phải: Ống tuyến không giãn, nhu mô vị trí 12h sát núm vú có nốt giảm âm kích thước 7x11 mm, bờ không đều bên trong có vi vôi hóa. có vài nang lớn nhất đường kính 6mm
+ Siêu âm tuyến vú (26/11/2024): Vú phải: ống tuyến giãn đoạn ½ trên giãn nhẹ, nhu mô vị trí 12h sát núm vú có đám giảm âm bờ không đều,kích thước 12x4,5mm.
+ Chụp cắt lớp vi tính lồng ngực (26/11/2024): Vú phải có nốt ngấm thuốc sau tiêm kích thước lớn nhất 15mm, vài hạch vùng nách bên phải kích thước lớn nhất 8mm có nốt ngấm thuốc sau tiêm kích thước lớn nhất 15mm, vài hạch vùng nách bên phải kích thước lớn nhất 8mm
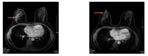
+ Chụp cộng hưởng từ hai bên tuyến vú (03/11/2024)
· Vú phải: vị trí góc 1/4 trên trong có nốt kích thước 5mm ngấm thuốc muộn tăng dần, không thấy thải thuốc.
· Không thấy hình ảnh tụt núm vú, không thấy co kéo da
· Hố nách bên phải, chặng I có vài hạch, có vỏ hạch dày, lớn nhất kích thước 7x13mm