CA LÂM SÀNG: CHẨN ĐOÁN VÀ ĐIỀU TRỊ U SCHWANNOMA DẠ DÀY TẠI TRUNG TÂM Y HỌC HẠT NHÂN VÀ UNG BƯỚU BỆNH VIỆN BẠCH MAI

Ngày đăng: 24/10/2025 Lượt xem 745
CA LÂM SÀNG: 
CHẨN ĐOÁN VÀ ĐIỀU TRỊ U SCHWANNOMA DẠ DÀY TẠI TRUNG TÂM Y HỌC HẠT NHÂN VÀ UNG BƯỚU BỆNH VIỆN BẠCH MAI
GS. TS Mai Trọng Khoa1,2, PGS. TS Phạm Cẩm Phương1,2, TS.BS Phạm Văn Thái1,3,
    BSNT. Nguyễn Thị Thuý Hường2.
(1) Trung tâm Y học hạt nhân và Ung bướu - Bệnh viện Bạch Mai
(2) Trường Đại học Y Dược - Đại học Quốc gia Hà Nội
(3) Trường Đại học Y Hà Nội
Schwannoma (còn gọi là u bao sợi thần kinh) là loại u phát triển chậm, đồng nhất, phần lớn là lành tính xuất phát từ các tế bào schwann của bao thần kinh. U thường được tìm thấy ở hệ thống thần kinh trung ương gồm cả các tế bào tạo myelin của dây thần kinh số 8. Bệnh hiếm khi xuất hiện ở đường tiêu hóa, chỉ chiếm khoảng 2–6% trong tổng số các khối u trung mô. Vị trí phổ biến nhất (60–70% các trường hợp ở đường tiêu hóa) là dạ dày, tiếp theo là đại tràng và trực tràng (3%) [1], [2]. 
Schwannoma đường tiêu hóa thường không có triệu chứng, biểu hiện dưới dạng tổn thương dưới niêm mạc và chủ yếu được phát hiện tình cờ trong quá trình nội soi ổ bụng/mở ổ bụng, nội soi thực quản-dạ dày-tá tràng (EGD), siêu âm nội soi (EUS) hoặc qua các phương pháp chẩn đoán hình ảnh [3].
 Chẩn đoán Schwannoma trước phẫu thuật không phải lúc nào cũng đạt độ chính xác cao và thường chỉ được xác định thông qua xét nghiệm mô bệnh học trên mẫu phẫu thuật [4], với sự dương tính của S-100 và âm tính với smooth muscle actin (SMA), CD 34 và c-Kit [5]. Do các khối u loại này thường có tiên lượng tốt, nên phẫu thuật cắt bỏ khối u là chỉ định tối ưu.
Dưới đây là một trường hợp u Schwannoma được chẩn đoán và điều trị tại Trung tâm Y học hạt nhân và Ung bướu – Bệnh viện Bạch Mai:
Bệnh nhân: Bùi Thị Thu H., 52 tuổi
Giới tính: Nữ; 
Lý do vào viện: Tình cờ đi khám sức khỏe phát hiện u dạ dày
Tiền sử bản thân: Đái tháo đường type 2.
Tiền sử gia đình: Chưa phát hiện ai mắc ung thư.
Bệnh sử: Cách vào viện 1 tháng bệnh nhân tình cờ đi khám sức khỏe định kỳ phát hiện mặt trước thân và hang vị có 02 khối lồi kích thước ~ 0.6 - 1.0cm trên nội soi tiêu hóa. Siêu âm ổ bụng thấy hình ảnh 2 nốt giảm âm nằm cạnh mỏm gan trái. Bệnh nhân sau đó được siêu âm nội soi thấy 2 tổn thương dưới niêm mạc mặt trước thân vị dạ dày: 2 tổn thương giảm âm không đều, thuộc lớp cơ thành dạ dày, kích thước khoảng 1,5 cm và 2,8 cm. Bệnh nhân được đánh giá lại và phẫu thuật cắt dạ dày hình chêm, hậu phẫu ổn định, có kết quả giải phẫu bệnh u tế bào hình thoi ⇒ Nhập viện tại Trung tâm Y học hạt nhân và Ung bướu, bệnh viện Bạch Mai.
Khám lâm sàng:
+ Bệnh nhân tỉnh, tiếp xúc tốt
+ Huyết động ổn định, không sốt, thể trạng trung bình, chỉ số toàn trạng Performance Status (PS): 0.
+ Không phù, không xuất huyết dưới da, hạch ngoại vi không sờ thấy
+ Tim đều, tiếng T1, T2 rõ
+ Bụng mềm, không chướng, đại tiểu tiện bình thường
+ Phổi rì rào phế nang rõ, không rale.
+ Không có dấu hiệu thần kinh khu trú.
+ Các cơ quan khác chưa phát hiện bất thường
Cận lâm sàng lúc vào viện:
Xét nghiệm máu: Công thức máu, chức năng gan, chức năng thận, trong giới hạn bình thường.
Siêu âm ổ bụng: cạnh mỏm gan trái có 2 nốt giảm âm nằm cạnh nhau, nốt lớn kích thước 15x20mm, có ranh giới không rõ với gan trái, nốt nhỏ kích thước 12x14mm.
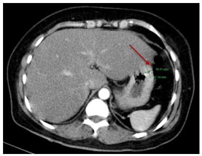
MRI ổ bụng: Nằm trong lớp dưới niêm thành thân vị bờ cong lớn dạ dày, ngay dưới mỏm gan trái có nốt tổn thương kích thước 18x16x25mm, bờ và ranh giới rõ tăng tín hiệu trên T2W, không hạn chế khuếch tán trên DWI/ADC, ngấm thuốc mạnh, tăng dần qua các thì, không thâm nhiễm mỡ xung quanh, không thấy hạch lân cận.
 
Hình 1. Hình ảnh MRI ổ bụng: ngay dưới mỏm gan trái có nốt tổn thương kích thước 18x16x25mm, bờ và ranh giới rõ tăng tín hiệu trên T2W, không hạn chế khuếch tán trên DWI/ADC, ngấm thuốc mạnh, tăng dần qua các thì, không thâm nhiễm mỡ xung quanh, không thấy hạch lân cận. (mũi tên đỏ)
Nội soi tiêu hóa có gây mê: Mặt trước thân và hang vị có 02 khối lồi kích thước ~ 0.6 - 1.0cm. 
 
Hình 2. Hình ảnh nội soi tiêu hóa lúc vào viện: Mặt trước thân và hang vị có 02 khối lồi kích thước ~ 0.6 - 1.0cm. (mũi tên đỏ)
Nội soi siêu âm: Sử dụng đầu dò Radial đánh giá 2 tổn thương dưới niêm mạc mặt trước thân vị dạ dày: 2 tổn thương giảm âm không đều, thuộc lớp cơ thành dạ dày, kích thước khoảng 1.5 cm và 2.8 cm. Các lớp còn lại của dạ dày không thấy bất thường, không thấy hạch xung quanh.
  
Hình 3. Hình ảnh nội soi siêu âm 2 tổn thương giảm âm không đều, thuộc lớp cơ thành dạ dày, kích thước 1.5 cm và 2.8 cm.
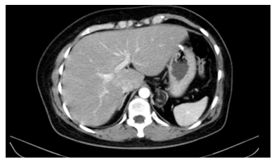
Chụp cắt lớp vi tính ổ bụng có tiêm thuốc: Vị trí bờ cong lớn dạ dày có nốt kích thước 21x15mm, phát triển ra ngoài dạ dày, không phá hủy lớp niêm mạc dạ dày, bờ đều ranh giới rõ, ngấm thuốc tương đối đồng nhất sau tiêm, không thấy hạch to lân cận.
 
Hình 4. Hình ảnh chụp CT ổ bụng: Nốt ở bờ cong lớn dạ dày kích thước khoảng 21x16 mm (vị trí mũi tên đỏ)
Siêu âm hạch cổ: không phát hiện bất thường
Bệnh nhân được chẩn đoán: GIST dạ dày
Bệnh nhân được phẫu thuật nội soi cắt dạ dày hình chêm: Mặt trước dạ dày có khối kích thước 15x20mm, lồi ra bên ngoài, chưa xâm lấn xung quanh. Giải phóng 1 phần bờ cong lớn dạ dày khỏi mạc nối lớn. Cắt khối u khỏi dạ dày bằng 02 stapler Endo GIA 60mm.
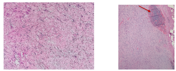
Mô bệnh học:
Đại thể: Vạt niêm mạc kích thước 4,5x2cm. Cắt qua dưới niêm mạc có 2 u. U thứ nhất đường kính 1cm. U thứ 2 kích thước 2,5x2x1,3cm diện cắt qua u trắng dai.
Vi thể: Các mảnh cắt lấy vào mô u. Các tế bào u nằm chủ yếu lớp cơ và lớp đệm. Đa phần các tế bào u hình dài, hình thoi, nhân nhỏ, đều, bào tương sáng hoặc ưa acid. các tế bào u sắp xếp thành bó, hình xoáy. Tỷ lệ nhân chia thấp. Không thấy hoại tử.
   
Chẩn đoán mô bệnh học: U tế bào hình thoi.
Kết quả nhuộm hóa mô miễn dịch:  Tế bào u dương tính mạnh, lan tỏa với dấu ấn S100; âm tính với các dấu ấn CD117, DOG1, CD34, SMA, desmin. Ki67 dương tính <1%.
Chẩn đoán mô bệnh học: Hình ảnh mô bệnh học và HMMD phù hợp với Schwannoma.
   
Hình 6. Hình ảnh nhuộm hoá mô dương tính mạnh với dấu ấn S100; âm tính với CD117 và CD34 (từ trái qua phải)
Cắt lớp vi tính ổ bụng sau mổ: Vị trí miệng nối bờ cong lớn dạ dày: không thấy dày thành, không thâm nhiễm mỡ và hạch nghi ngờ.
 
Hình 7. Hình ảnh dạ dày sau phẫu thuật
Hướng điều trị: Bệnh nhân hậu phẫu cắt khối u dạ dày ổn định, theo dõi tái khám ba tháng một lần.
*Kết luận: Trường hợp lâm sàng trên ghi nhận một bệnh nhân nữ trung niên, không có triệu chứng, tình cờ phát hiện khối u ở bờ cong lớn dạ dày trong một lần khám sức khỏe định kỳ. Ban đầu, khối u được chẩn đoán nghi ngờ là GIST. Tuy nhiên, sau phẫu thuật, kết quả nhuộm hóa mô miễn dịch cho thấy sự dương tính mạnh với S100, xác định chẩn đoán Schwannoma. Schwannoma là một khối u hiếm gặp, nhưng khi xuất hiện ở đường tiêu hóa, dạ dày lại là vị trí phổ biến nhất. Đây là một bệnh lý lành tính, thường bị nhầm lẫn với u mô đệm đường tiêu hóa (GIST). Đối với đa số bệnh nhân, việc theo dõi định kỳ ba tháng một lần sau phẫu thuật là đủ, do tiên lượng của bệnh rất tốt.
TÀI LIỆU THAM KHẢO
1. Qi Z., Yang N., Pi M. và cộng sự. (2021). Current status of the diagnosis and treatment of gastrointestinal schwannoma. Oncol Lett, 21(5), 384.
2. Lauricella S., Valeri S., Mascianà G. và cộng sự. (2021). What About Gastric Schwannoma? A Review Article. J Gastrointest Cancer, 52(1), 57–67.
3. Zheng L., Wu X., Kreis M.E. và cộng sự. (2014). Clinicopathological and immunohistochemical characterisation of gastric schwannomas in 29 cases. Gastroenterol Res Pract, 2014, 202960.
4. Oh S.J., Suh B.J., và Park J.K. (2016). Gastric Schwannoma Mimicking Malignant Gastrointestinal Stromal Tumor Exhibiting Increased Fluorodeoxyglucose Uptake. Case Rep Oncol, 9(1), 228–234.
5. Zhong Z., Xu Y., Liu J. và cộng sự. (2022). Clinicopathological study of gastric schwannoma and review of related literature. BMC Surgery, 22(1), 159.

Tin liên quan