CA LÂM SÀNG: ĐIỀU TRỊ BỆNH NHÂN UNG THƯ PHỔI KHÔNG CÒN CHỈ ĐỊNH PHẪU THUẬT TẠI TRUNG TÂM Y HỌC HẠT NHÂN VÀ UNG BƯỚU, BỆNH VIỆN BẠCH MAI

Ngày đăng: 15/07/2025 Lượt xem 709
CA LÂM SÀNG: 
ĐIỀU TRỊ BỆNH NHÂN UNG THƯ PHỔI KHÔNG CÒN CHỈ ĐỊNH PHẪU THUẬT
TẠI TRUNG TÂM Y HỌC HẠT NHÂN VÀ UNG BƯỚU, BỆNH VIỆN BẠCH MAI

GS. TS Mai Trọng Khoa1,2, BSNT. Nguyễn Khánh Hoàng, 2PGS. TS Phạm Cẩm Phương1,2,TS.BS Phạm Văn Thái1,3, BSNT. Nguyễn Văn Tiến3, BSNT. Nguyễn Văn Sơn2,.
(1) Trung tâm Y học hạt nhân và Ung bướu - Bệnh viện Bạch Mai
(2) Trường Đại học Y Dược - Đại học Quốc gia Hà Nội
(3) Trường Đại học Y Hà Nội

Theo GLOBOCAN 2022, trên thế giới, ung thư phổi đứng đầu về số ca mới mắc (với gần 2,5 triệu ca, chiếm 12,4% tổng số ca mới mắc) và đứng đầu về tỷ lệ tử vong (với 1,8 triệu ca, chiếm 18,7% tổng số ca tử vong). Tại Việt Nam, mỗi năm phát hiện khoảng 24500 ca mắc mới, và khoảng 22500 ca tử vong, như vậy ung thư phổi đứng thứ 3 về số ca mới mắc (sau ung thư vú và ung thư gan), đứng thứ 2 về số ca tử vong (chỉ sau ung thư gan).
Điều trị cho bệnh nhân ung thư nói chung và ung thư phổi nói riêng cần phối hợp nhiều phương pháp khác nhau. Bên cạnh các phương pháp điều trị tại chỗ, tại vùng như phẫu thuật và xạ trị, liệu pháp toàn thân đóng một vai trò quan trọng, đặc biệt là khi bệnh nhân ở giai đoạn muộn đã di căn nhiều nơi, hoặc khi khối u ở những vị trí khó tiếp cận. Cùng với sự phát triển của các thuốc điều trị đích và điều trị miễn dịch, hóa trị liệu cũng ngày càng tiến bộ thêm với những phác đồ hiệu quả giúp tiêu diệt tế bào ung thư mạnh mẽ hơn trong khi độc tính trên cơ thể đã được hạn chế rất nhiều và cải thiện tốt tình trạng của người bệnh. 
Dưới đây là ca lâm sàng về bệnh nhân ung thư phổi được sử dụng hóa trị liệu cho kết quả đáp ứng tốt trong thời gian ngắn.

- Bệnh nhân: Nguyễn T. C.
- Giới tính: Nam
- Tuổi: 62
- Ngày vào viện: 21/08/2024
- Lý do vào viện: Đau ngực, khó thở, ho khạc đờm
- Tiền sử:
+ Bản thân: Khỏe mạnh
+ Gia đình: Chưa phát hiện bất thường
- Bệnh sử: 
+ Tháng 8/2024, bệnh nhân xuất hiện khó thở tăng dần, khó thở tăng lên khi nằm, giảm đi khi ngồi dậy, kèm theo ho khạc đờm số lượng ít, đờm trong. Bệnh nhân đau ngực nhiều bên phải, không sốt, đi khám tại Bệnh viện huyện được chẩn đoán Viêm phế quản, điều trị nội khoa 1 tuần, tình trạng không cải thiện, khó thở tăng lên. 
+ Bệnh nhân sau đó đi khám tại Bệnh viện Bạch Mai, chụp Cắt lớp vi tính lồng ngực (20/08/2024): Hình ảnh theo dõi u thùy trên phổi phải, kích thước 67x39mm; Hạch trung thất và rốn phổi phải; Giãn phế nang 2 phổi. Bệnh nhân được sinh thiết xuyên thành ngực không phát hiện tế bào ác tính, sinh thiết qua nội soi phế quản kết quả: Tổn thương viêm mạn tính, thoái hóa tơ huyết. Bệnh nhân sau điều trị nội khoa, tình trạng ổn định, đỡ đau ngực, không còn khó thở.
+ Tháng 9/2024: Bệnh nhân sút 7kg/tháng, khó thở tăng lên, đau tức ngực kèm ho khạc ít đờm trong, mệt mỏi nhiều, đi khám tại Bệnh viện Bạch Mai, sinh thiết lại tổn thương qua thành ngực cho kết quả: Ung thư biểu mô tuyến kém biệt hóa nguồn gốc phổi ⇒ Nhập viện tại Trung tâm Y học hạt nhân và Ung bướu.

- Khám lâm sàng:
+ Bệnh nhân tỉnh, tiếp xúc tốt
+ Huyết động ổn định, không sốt, thể trạng trung bình, chỉ số toàn trạng Performance Status (PS): 1.
+ Không phù, không xuất huyết dưới da, hạch ngoại vi không sờ thấy
+ Tim đều, tiếng T1, T2 rõ
+ Bụng mềm, không chướng, đại tiểu tiện bình thường
+ Phổi rì rào phế nang rõ, không rale.
+ Không có dấu hiệu thần kinh khu trú.
+ Các cơ quan khác chưa phát hiện bất thường

- Xét nghiệm máu:
+ Công thức máu, chức năng gan, chức năng thận, trong giới hạn bình thường.
+ Vi sinh: Viêm gan B, viêm gan C, HIV âm tính.
- Chụp cắt lớp vi tính lồng ngực (20/08/2024): Thùy trên phổi phải có khối đặc kích thước ~ 67x39mm, bờ không đều, ngấm thuốc sau tiêm không đồng nhất, dày tổ chức kẽ dạng lưới và kính mờ xung quanh, lân cận có nốt kính mờ đường kính ~5mm, phát triển vào trung thất, đẩy khí quản và thực quản lệch trái, có phần không rõ ranh giới với thành thực quản đoạn ngang mức. Phổi trái giãn phế nang trung tâm tiểu thùy và cạnh vách chủ yếu thùy trên. Trung thất, rốn phổi phải có vài hạch kích thước ~13x17mm, ngấm thuốc không đều sau tiêm.
  
Hình 1. Hình ảnh khối u thùy trên phổi phải (mũi tên xanh) kích thước 67x39mm, bờ không đều, ngấm thuốc sau tiêm không đồng nhất.
  
Hình 2. Hình ảnh hạch rốn phổi và hạch trung thất (mũi tên đỏ) kích thước khoảng 13x17mm
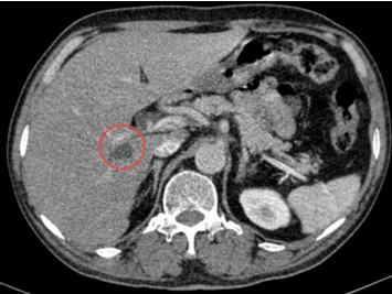
 - Chụp cắt lớp vi tính tầng trên ổ bụng (24/09/2024): Gan kích thước bình thường, bờ đều. Nhu mô hai bên rải rác có vài nang , nang lớn đường kính 16mm. Hạ phân thùy VII, VIII có 2 nốt ngấm thuốc mạnh đồng nhất thì động mạch và tĩnh mạch đường kính 6mm và 8mm. Tiền liệt tuyến kích thước 56x39x41mm tương đương 45gram.
  
Hình 3. Hình ảnh nốt gan phải (ô màu đỏ) ngấm thuốc mạnh đồng nhất thì động mạch và tĩnh mạch.
- Cộng hưởng từ sọ não (04/09/2024): Hình ảnh thoái hóa myelin bán cầu hai bên (Fazekas 1). Dày nhẹ niêm mạc xoang sàng.

 Hình 4. Chưa phát hiện bất thường.

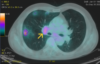
- PET/CT (30/09/2024): Hình ảnh khối mờ ở trung tâm thùy trên phổi phải xâm lấn trung thất, kích thước 70x54mm, tăng chuyển hóa FDG (SUVmax 38.6); Vài đám mờ kính thùy trên phổi phải kích thước 25x22mm, tăng chuyển hóa FDG (SUVmax 8.78); Vài hạch trước khí quản, trước carina, dưới quai động mạch chủ, hạch lớn nhất có đường kính 10mm, tăng chuyển hóa FDG (SUVmax 6.47); Vài hạch rốn phổi phải, hạch lớn nhất có đường kính 11mm, tăng chuyển hóa FDG (SUVmax 5.2); Vài hạch hố nách hai bên đường kính <10mm không tăng chuyển hóa FDG.
  
Hình 5. Hình ảnh khối mờ trung tâm thùy trên phổi phải xâm lấn trung thất (mũi tên xanh) kích thước 70x54mm, tăng chuyển hóa FDG (SUVmax 38.6); Vài đám mờ kính thùy trên phổi phải (mũi tên vàng) kích thước 25x22mm, tăng chuyển hóa FDG (SUVmax 8.78). 
 
Hình 6. Vài hạch trung thất(mũi tên vàng) hạch lớn nhất có đường kính 11mm, tăng chuyển hóa FDG (SUVmax 5.2).

- Mô bệnh học: Bệnh nhân được sinh thiết tổn thương xuyên thành ngực dưới hướng dẫn của cắt lớp vi tính cho kết quả: Ung thư biểu mô tuyến kém biệt hoá nguồn gốc phổi.
- Xét nghiệm gen: Không phát hiện đột biến gen EGFR, ALK, RET, MET, ROS 1, PD-L1.
- Chẩn đoán: Ung thư biểu mô tuyển phổi phải, T4N2M0, giai đoạn IIIB, EGFR âm tính, ALK âm tính, PD-L1 âm tính.

- Điều trị: Bệnh nhân không còn chỉ định phẫu thuật. Sau khi đánh giá lợi ích và nguy cơ của hóa xạ trị đồng thời, người bệnh và gia đình chưa đồng ý với điều trị hóa xạ trị. Do điều kiện chưa tiếp cận được liệu pháp miễn dịch, bệnh nhân được chỉ định điều trị phác đồ hóa chất Docetaxel-Carboplatin: 
+ Docetaxel: 75mg/m2 da, truyền tĩnh mạch trong 1 giờ vào ngày 1.
+ Carboplatin: AUC 5, truyền tĩnh mạch vào ngày 1.
Chu kỳ 21 ngày

- Kết quả: Sau 4 chu kỳ điều trị:
+ Lâm sàng: Bệnh nhân không còn khó thở, không đau ngực, cân nặng tăng 6kg, chỉ số toàn trạng (Performance Status – PS): 0, sinh hoạt trở về bình thường.
+ Xét nghiệm: Các chỉ điểm u: CEA 1.64ng/ml; CYFRA 21-1: 1.95ng/ml (trong mức bình thường).
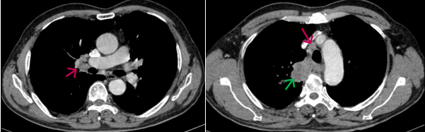
+ Chụp cắt lớp vi tính lồng ngực (16/12/2024): Hình ảnh cấu trúc dạng hang thùy trên phổi phải, kích thước ~36x22x44mm, bờ không đều, thành dày không đều, ngấm thuốc không đồng nhất sau tiêm. Hạch trung thất và rốn phổi phải. 
   
Hình 6. Khối u trước và sau điều trị (mũi tên xanh), sau điều trị kích thước khối u giảm còn khoảng 36x22x44mm
  
 
Hình 7. Hạch trung thất trước và sau điều trị (mũi tên xanh), kích thước hạch sau điều trị giảm xuống còn dưới 10mm đường kính trục ngắn.

*Kết luận: Ca lâm sàng trên cho thấy một trường hợp bệnh nhân nam lớn tuổi, chỉ số toàn trạng (Performance Status - PS) 1, vào viện với tình trạng khó thở và đau ngực nhiều, được chẩn đoán Ung thư phổi không tế bào nhỏ giai đoạn IIIB. Sau 4 chu kỳ hóa trị liệu với phác đồ Docetaxel - Carboplatin, bệnh nhân đạt được đáp ứng bệnh một phần, khối u giảm khoảng 50% kích thước so với trước khi điều trị, kích thước hạch trung thất giảm và nhiều hạch không còn nhìn thấy trên phim chụp cắt lớp vi tính. Sau điều trị bệnh nhân hết các triệu chứng lâm sàng, thể trạng được cải thiện và sinh hoạt trở lại bình thường. Bệnh nhân tiếp tục được đánh giá lên kế hoạch điều trị tiếp theo.

Tin liên quan