CA LÂM SÀNG: ĐIỀU TRỊ UNG THƯ PHỔI BIỂU MÔ TUYẾN DI CĂN XƯƠNG
GS. TS. Mai Trọng Khoa – PGS. TS. Phạm Cẩm Phương - PGS. TS. Phạm Văn Thái - Ths. Hoàng Công Tùng – sv Lê Đình Minh Hiếu
Đặt vấn đề:
Ung thư phổi là một trong những bệnh lý ác tính có gánh nặng dịch tễ học lớn nhất toàn cầu. Theo ước tính của GLOBOCAN 2022, tại Việt Nam, ung thư phổi có tỉ lệ mới mắc là 13,5% (xếp thứ 3) với tỉ lệ tử vong lên tới 18,8% (xếp thứ 2) trong số tổng bệnh nhân ung thư. Ung thư phổi được chia thành 2 nhóm chính bao gồm: ung thư phổi tế bào nhỏ (SCLC) và ung thư phổi không tế bào nhỏ (NSCLC).Trong đó, NSCLC là loại ung thư phổi thường gặp (85% - 90%). Theo mô học, NSCLC được phân thành ung thư biểu mô tuyến (adenocarcinoma), ung thư biểu mô tế bào vảy (squamous cell carcinoma), ung thư biểu mô tế bào lớn (large cellcarcinoma).
Điều trị ung thư phổi giai đoạn sớm phẫu thuật đóng vai trò chính, với giai đoạn muộn hoặc tái phát di căn thì các phương pháp điều trị toàn thân đóng vai trò chủ đạo như hóa trị, điều trị đích, miễn dịch.
Dưới đây, chúng tôi xin giới thiệu một ca lâm sàng về bệnh nhân ung thư phổi biểu mô tuyến di căn xương đang điều trị tại Trung tâm y học hạt nhân và ung bướu - Bệnh viện Bạch Mai.
1. Hành chính:
- Họ và tên: T.V.H
- Tuổi: 67
- Giới tính: Nam
- Dân tộc: Kinh
- Địa chỉ: xã Mỹ Đức, Hà Nội
- Nghề nghiệp: Hưu trí
- Ngày giờ vào viện: 7h50 ngày 05/01/2026
- Ngày giờ làm bệnh án: 14h ngày 05/01/2026
2. Lý do vào viện: Đau vai, mạn sườn trái
3. Bệnh sử:
Tháng 7 Năm 2024, bệnh nhân xuất hiện đau vùng vai và mạn sườn trái, đau liên tục, từ từ tăng dần, không có tư thế giảm đau, không đáp ứng với thuốc giảm đau thông thường, kèm theo ho khan húng hắng, không sốt, không khó thở, không đau ngực, sụt 10kg trong 3 tháng. Bệnh nhân đi khám tại bệnh viện Bạch Mai phát hiện khối u phổi trái, được chụp CT ngực và sinh thiết khối u, kết quả giải phẫu bệnh: ung thư biểu mô tuyến. Bệnh nhân được chẩn đoán ung thư biểu mô tuyến phổi trái di căn xương T1N3M1. Hiện tại, bệnh nhân đã được điều trị hoá trị 6 chu kỳ theo phác đồ Pemetrexed + Carboplatin,bệnh đáp ứng 1 phần nên chuyển phác đồ Docetaxel duy trì. Đợt này (tháng 1 năm 2026), bệnh nhân vào viện truyền hoá chất theo hẹn.
4. Tiền sử: hút thuốc lá 22 bao năm, đã bỏ được 2 năm.
5. Khám lâm sàng:
- Bệnh nhân tỉnh, tiếp xúc tốt, PS1
- Thể trạng trung bình: BMI: 22.2 Cân nặng: 60kg Chiều cao: 165 cm
- Hội chứng suy mòn (+): Sụt 10kg trong 3 tháng đầu (hiện tại đã thể trạng ổn định, BMI: 22.2)
- Hội chứng thiếu máu (+): da niêm mạc nhợt
- Hội chứng nhiễm trùng (-)
- Rì rào phế nang đỉnh phổi trái giảm, không rale bất thường
- Không sờ thấy hạch ngoại vi
- Bụng mềm, không có phản ứng thành bụng
- Cột sống thẳng, ấn đau vùng mạn sườn trái, các khớp không sưng nóng, không hạn chế vận động
6. Cận lâm sàng:
- Các cận lâm sàng trước khi được điều trị ( tháng 7/2024):
· CT lồng ngực:

Hình 1. Khối kích thước 17x19 mm, bờ tua gai, ngấm thuốc cản quang. Cả 2 trường phổi có giãn phế nang lan toả ở thuỳ trên phổi trái

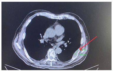
Hình 2. Khối ngấm thuốc bên xương sườn VII bên trái kích thước 36 x 23 mm
Hình 3. Các đốt sống ngưc có nhiều ổ tiêu xương, gai xương
Hình 4. CT bụng chưa phát hiện di căn

Hình 5. MRI sọ não chưa phát hiện bất thường
· siêu âm hạch cổ 2 bên phát hiện có vài học ở hố thượng đòn trái, không rõ cấu trúc rốn hạch, kích thước lớn nhất 4x10mm
· Giải phẫu bệnh (tháng 7/2024): Ung thư biểu mô tuyến
· Giải trình tự gen: EGFR (-)
· Xét nghiệm công thức máu, chức năng gan (AST, ALT), chức năng thận (creatinin, ure), điện giải đồ đều trong giới hạn bình thường
· Xét nghiệm marker ung thư: CEA: 2,06 (bình thường <5 ng/ml); Cyfra 21-1: 5,81 ng/mL (tăng)
- Các xét nghiệm cận lâm sàng sau khi điều trị hoá chất PC 6 chu kỳ và chuyển sang Docetaxel (tháng 7/2025):
· CT lồng ngực:
Hình 6. Nốt đặc kích thước 16x10mm (nhỏ hơn phim chụp tháng 7/2024) bờ tua gai, ngấm thuốc không đồng nhất sau tiêm ở thuỳ trên phổi trái

Hình 7. Nốt đặc kích thước 9x8mm (nốt mới), bờ tua gai, ngấm thuốc 1 phần sau tiêm ở thuỳ dưới phổi phải, nhu mô còn lại có vài dải xơ xẹp phổi rải rác
Hình 8. Các đốt sống ngực có nhiều ổ tiêu xương,không có viền đặc xương. Khối ngấm thuốc cung bên xương sườn VII trái kích thước 34x15mm (nhỏ hơn phim chụp tháng 7/2024), chưa xâm lấn màng phổi tạng
· Siêu âm hạch không thấy hạch cổ bất thường
· MRI sọ não: không phát hiện bất thường
· Xét nghiệm công thức máu: RBC: 2,93 T/L ( 4,5 -5,2); HGB: 94 g/l (120 - 160).
· Xét nghiệm chức năng gan (AST, ALT),chức năng thận (creatinin, ure), điện giải đồ đều trong giới hạn bình thường
· Xét nghiệm marker ung thư ( tháng 1/ 2026): CEA: 3,01ng/mL ; Cyfra 21-1: 3,7 ng/mL (giảm so với T7/2024)
7. Chẩn đoán xác định: Ung thư biểu mô tuyến phổi trái di căn phổi phải và xương (T1bN3M1c - Giai đoạn IVB), EGFR (-)
8. Hướng xử trí:
- Truyền hóa chất duy trì phác đồ Docetaxel chu kỳ tiếp theo theo hẹn.
- Chống hủy xương: Sử dụng các thuốc Bisphosphonate để hạn chế biến cố xương do di căn tiêu xương.
- Giảm đau: Duy trì giảm đau bậc 1
- Bổ sung sắt, vitamin, dinh dưỡng tốt
Tóm lại:
Đây là trường hợp bệnh nhân ung thư biểu mô tuyến phổi trái di căn xương sườn, được điều trị ban đầu bằng phác đồ Pemetrexed + Carboplatin. Sau khi điều trị 1 năm, khối u ở phổi trái và khối di căn ở xương sườn đáp ứng, giảm kích thước, giảm ngấm thuốc, tuy nhiên sau đó đã xuất hiện thêm khối di căn ở bên phổi phải, nên bệnh nhân được chuyển sang phác đồ Doxetacel để tiếp tục điều trị.