ĐIỀU TRỊ UNG THƯ ĐẠI TRÀNG BỊ VỠ U TRÊN BỆNH NHÂN VỊ THÀNH NIÊN

Ngày đăng: 29/01/2026 Lượt xem 319

ĐIỀU TRỊ UNG THƯ ĐẠI TRÀNG BỊ VỠ U TRÊN BỆNH NHÂN VỊ THÀNH NIÊN 

GS.TS. Mai Trọng Khoa, Ths. BS Lê Văn Long, BSNT Trần Anh Đức, Đinh Khắc Minh

 

         Ung thư đại trực tràng là một trong những bệnh lý ác tính phổ biến nhất trên toàn cầu cũng như tại Việt Nam. Theo GLOBOCAN 2022, bệnh đứng hàng thứ 4 về tỷ lệ mắc mới và thứ 5 về tỷ lệ tử vong [1]. Mặc dù ung thư đại trực tràng thường được coi là bệnh lý của người lớn tuổi (trên 50), xu hướng trẻ hóa của bệnh đang trở thành một vấn đề đáng báo động trong những năm gần đây.

         Tuy nhiên, ung thư đại trực tràng ở nhóm bệnh nhân trẻ tuổi (dưới 20 tuổi) vẫn là một bệnh cảnh lâm sàng cực kỳ hiếm gặp, thường có độ ác tính cao và tiên lượng xấu hơn so với nhóm người lớn tuổi [2]. Đặc biệt, việc chẩn đoán ở nhóm tuổi này thường bị chậm trễ do triệu chứng lâm sàng không đặc hiệu hoặc bị che lấp bởi các biến chứng cấp tính như tắc ruột, thủng tạng rỗng hay áp xe hóa, dẫn đến nhầm lẫn với các bệnh lý lành tính khác.

         Chúng tôi xin giới thiệu ca lâm sàng về một bệnh nhân nam 18 tuổi đang được điều trị tại Trung tâm Y học hạt nhân và Ung bướu Bệnh viện Bạch Mai, khởi phát bệnh với bệnh cảnh áp xe tiểu khung do u đại tràng sigma vỡ. Bệnh nhân đã được phẫu thuật cắt đoạn đại tràng, làm hậu môn nhân tạo và hiện đang được chỉ định điều trị hóa chất bổ trợ. Ca bệnh này không chỉ đặt ra thách thức trong chẩn đoán sớm mà còn là bài toán cân nhắc kỹ lưỡng trong chiến lược điều trị đa mô thức và tư vấn di truyền cho người bệnh trẻ tuổi.

1. Hành chính:

-        Họ tên BN: N.T.H, nam 18 tuổi

-        Địa chỉ: Nghệ An

-        Nghề nghiệp: Học sinh

-        Lý do vào viện: Điều trị hóa chất theo đợt

Bệnh sử:

Cách vào viện 3 tháng (Tháng 10/2025), bệnh nhân đột ngột đau bụng vùng hạ vị, đau từng cơn, đau tăng khi điđại tiện và tiểu tiện, đau không lan kèm đi ngoài phân nâu lẫn máu đỏ tươi,ngày đi 2-3 lần, kéo dài khoảng 1 tuần.

Ngoài ra bệnh nhân chán ăn, ăn uống kém, sút 3kg trong khoảng thời gian này. Bệnh nhân vào Bệnh viện Hữu nghị Nghệ An khám, được chẩn đoán Áp xe tiểu khung, điều trị nội trú 12 ngày tình trạng cải thiện, bệnh nhân được cho xuất viện.

Ngày 27/11/2025, bệnh nhân xuất hiện đau bụng và đi ngoài với các tính chất tương tự à Vào Bệnh viện Bạch Mai ngày 29/11/2025.

Chẩn đoán: Áp xe tiểu khung theo dõi do đại tràng Sigma vỡ. Bệnh nhân được phẫu thuật nội soi cắt đại tràng chậu hông + nạo vét hạch ngày 7/12/2025, phát hiện đại tràng sigma nối trực tràng có khối u kích thước 3x3cm đã vỡ tạo thành ổ áp xe ở tiểu khung.

Mô bệnh học của khối u: Ung thư biểu mô tuyến biệt hóa vừa xâm nhập ra ngoài thanh mạc,trên bệnh nhân bị viêm loét thủng thành đại tràng, viêm mủ thanh mạc. Diện cắt R0. Sau đó, bệnh nhân được làm xét nghiệm gen, phát hiện đột biến gen KRAS (+), BRAF (-). Sau phẫu thuật bệnh nhân được hẹn tái khám sau 1 tháng (lần vào viện này) để đánh giá và quyết định bước điều trị tiếp theo.

Tiền sử:

          Bản thân: Chưa phát hiện bất thường trước khi phát hiện có áp xe tiểu khung

          Gia đình: Có em ruột của bà nội và chú họ bị ung thư đại tràng, điều trị bệnh đã ổn định

2. Khám lâm sàng:

-        Bệnh nhân tỉnh, PS 1

-        Thể trạng trung bình: Cân nặng: 62kg.        Chiều cao: 178cm.       

-        Huyết động ổn định

-        Da, niêm mạc nhợt

-        Hạch ngoại vi không sờ thấy

-        Bụng mềm, không chướng không có phản ứng thành bụng

-        Gan, lách không to

-        01 hậu môn nhân tạo hồi tràng tạm thời đặt ở hố chậu phải hoạt động bình thường. Vùng da quanh chân hậu môn nhân tạo phẳng, không tấy đỏ, không lở loét

-        01 sẹo mổ cũ vùng hạ vị kích thước 6x1cm, liền tốt, không chảy dịch

-        01 vết dẫn lưu ổ bụng cũ kích thước 1x1 cm, liền tốt, không chảy dịch

-        Tim đều, T1, T2 rõ, không tiếng thổi bất thường

-        Phổi rì rào phế nang rõ, không rales

3. Các xét nghiệm cận lâm sàng:

a. Trước phẫu thuật:

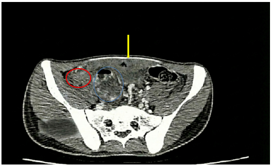
-       CLVT ổ bụng(29/11/2025): 


Hình ảnh ổ dịch – khí vùng tiểu khung kích thước 22x15mm (vùng khoanh tròn màu xanh dương), thâm nhiễm mỡ rộng (vùng khoanh tròn màu đỏ), dày phúc mạc kèm dịch vùng tiểu khung dày 12mm (vùng mũi tên màu vàng)

b. Đợt vào viện này (6/1/2026):

-        Xét nghiệm: Chức năng gan thận, điện giải đồ, đông máu trong giới hạn bình thường, chỉ điểm u CEA: 1,06 ng/mL. Tổng phân tích tế bào máu ngoại vi:HGB: 99g/L, MCV: 67.6fL

-        CLVT ổ bụng: Hình ảnh dày nhẹ thành hậu môn nhân tạo, dày thành miệng nối đại - trực tràng kèm thâm nhiễm mỡ xung quanh.

-        CLVT lồng ngực: chưa phát hiện bất thường

-        X Quang ngực thẳng: chưa phát hiện bất thường

4. Chẩn đoán xác định:

Ung thư đại tràng sigma loại  biểu mô tuyến biệt hóa vừa xâm nhập ra ngoài thanh mạc - viêm loét thủng thành đại tràng, viêm mủ thanh mạc đã phẫu thuật, pT4aN1M0/ Thiếu máu nhược sắc hồng cầu nhỏ mức độ vừa.

Đột biến gen: KRAS (+),BRAF (-)

5. Hướng xử trí:

Bệnh nhân được hội chẩn hội đồng chuyên môn, được chỉ định điều trị hóa chất bổ trợ bằng phác đồ: FOLFOX4:

-        Oxaliplatin 85mg/m2 da pha truyền tĩnh mạch ngày 1

-        Leucovorin 200mg/m2 da pha truyền tĩnh mạch ngày 1,2

-        5-FU 400mg/m2 da pha truyền tĩnh mạch ngày 1,2

-        5-FU 600mg/m2 da pha truyền tĩnh mạch trong 22 giờ; ngày 1,2

Tóm lại

         Qua trường hợp bệnh nhân nam 18 tuổi được chẩn đoán ung thư biểu mô tuyến đại tràng sigma giai đoạn IIIB (pT4aN1M0),có đột biến KRAS (+), nhập viện trong bối cảnh biến chứng u vỡ gây áp xe tiểu khung, chúng tôi rút ra một số nhận xét sau:

         Thứ nhất, ung thư đại trực tràng cần được nghĩ tới và tầm soát ngay cả ở những bệnh nhân rất trẻ tuổi khi có các triệu chứng tiêu hóa kéo dài hoặc các biến chứng ổ bụng không điển hình, nhằm tránh bỏ sót hoặc chẩn đoán muộn.

         Thứ hai, đây là trường hợp ung thư giai đoạn tiến triển tại chỗ - tại vùng, có yếu tố tiên lượng xấu (đột biến KRAS, xâm lấn tạng, thủng vỡ). Việc phẫu thuật triệt căn (R0) kết hợp với phác đồ hóa trị bổ trợ FOLFOX4 là chỉ định phù hợp.

         Cuối cùng, với tiền sử gia đình có người mắc ung thư đại tràng và bệnh nhân mắc bệnh khi tuổi đời còn rất trẻ, bên cạnh việc điều trị hóa chất, cần tư vấn xét nghiệm sàng lọc các hội chứng ung thư di truyền cho bệnh nhân và người thân để có kế hoạch theo dõi lâu dài.

 

Tin liên quan