Điều trị ung thư phổi không tế bào nhỏ di căn phổi đối bên, não, tuyến thượng thận tại Trung tâm Y học hạt nhân và Ung bướu Bệnh viện Bạch Mai

Ngày đăng: 23/01/2026 Lượt xem 301

Điều trị ung thư phổi không tế bào nhỏ di căn phổi đối bên, não, tuyến thượng thận tại Trung tâm Y học hạt nhân và Ung bướu Bệnh viện Bạch Mai

GS. TS. Mai Trọng Khoa, PGS. TS. Phạm Cẩm Phương, PGS. TS. Phạm Văn Thái

BSNT. Lê Thùy Dương

Trung tâm Y học hạt nhân và Ung bướu - Bệnh viện Bạch Mai

Ung thư phổi là một trong những loại ung thư có tỷ lệ mắc và tử vong cao nhất trên thế giới cũng như tại Việt Nam. Trong thực tế, phần lớn bệnh nhân được chẩn đoán ung thư phổi khi bệnh đã ở giai đoạn tiến triển hoặc di căn xa, gây nhiều khó khăn trong quá trình điều trị.

Những năm gần đây, sự phát triển của liệu pháp nhắm trúng đích và miễn dịch đã mở ra bước ngoặt quan trọng, mang lại nhiều lợi ích về sống còn và chất lượng sống cho bệnh nhân ung thư phổi. Tuy nhiên, với các trường hợp không có đột biến gen hoặc không đủ điều kiện điều trị miễn dịch, thì hóa trị vẫn giữ vai trò trụ cột trong phác đồ điều trị toàn thân, giúp kiểm soát triệu chứng, cải thiện tiên lượng và kéo dài thời gian sống.

Theo một phân tích gộp từ 16 nghiên cứu, đã được báo cáo tại hội nghị thường niên của ASCO, so sánh giữa hóa trị có chứa cisplatin với chăm sóc giảm nhẹ đơn thuần ở bệnh nhân ung thư phổi giai đoạn tiến xa. Kết quả cho thấy, hóa trị giúp giảm 23% nguy cơ tử vong, khẳng định vai trò thiết yếu của hóa trị trong điều trị bệnh nhân không còn khả năng điều trị triệt căn.

Đặc biệt, nghiên cứu pha III của Scagliotti và cộng sự (JCO, 2008) đã so sánh hiệu quả giữa hai phác đồ hóa trị nền tảng platinum là cisplatin + pemetrexed cisplatin + gemcitabine ở bệnh nhân ung thư phổi không tế bào nhỏ chưa điều trị trước đó. Kết quả cho thấy: Ở nhóm biểu mô tuyến,phác đồ pemetrexed + cisplatin mang lại trung vị sống còn (OS) là 12,6 tháng, cao hơn so với 10,9 tháng ở nhóm gemcitabine. Ngược lại, ở nhóm biểu mô vảy, gemcitabine + cisplatin cho kết quả tốt hơn với OS 10,8 tháng so với 9,4 tháng ở nhóm pemetrexed.  Kết quả này đã đặt nền móng cho việc lựa chọn hóa trị cá thể hóa theo mô bệnh học, giúp tối ưu hiệu quả điều trị và giảm độc tính không cần thiết.

Dưới đây là một trường hợp lâm sàng của ung thư phổi không tế bào nhỏ giai đoạn tiến triển di căn xa, đáp ứng với điều trị bằng phác đồ hóa chất:  Pemetrexed– Carboplatin tại Trung tâm Y họchạt nhân và Ung bướu – Bệnh viện Bạch Mai.

1, Hành chính

Họ và tên: Bùi Công Ch                       

Giới: Nam                         

Tuổi: 81

Nghề nghiệp: Tự do

Ngày vào viện: 10/2024

2, Chuyên môn

- Lý do vào viện: Ho kéo dài

- Bệnh sử:

Cách vào viện khoảng 1 tháng, bệnh nhân xuất hiện ho khan nhiều, không khó thở, không đau tức ngực, không gầy sút cân. Bệnh nhân tới viện Bạch Mai khám được chỉ định chụp cắt lớp vi tính lồng ngực kết quả: Phổi phải nhu mô ngoại vi phân thùy S10 có khối đặc bờ tua gai, kích thước 40x30mm, ngấm thuốc không đồngnhất sau tiêm, nhu mô thùy trên và thùy dưới còn lại có vài nốt đặc đường kính lớn nhất 9 mm; phổi trái nhu mô thùy trên có vài nốt đặc khoảng 3mm; trung thất có vài hạch, có hạch vôi hóa, hạch lớn kích thước 16x12 mm. Bệnh nhân nhập viện điều trị tiếp.

Tiền sử:

Bản thân: Tăng huyết áp điều trị thường xuyên, không có tiền sử dị ứng

Gia đình: Chưa phát hiện bệnh liên quan

Khám lâm sàng

- Toàn thân:

Bệnh nhân tỉnh, tiếp xúc tốt Glassgow 15 điểm

Không sốt, huyết động ổn, thể trạng trung bình, chỉ số toàn trạng PS:0

Da niêm mạc hồng, không phù, không xuất huyết dưới da

Tuyến giáp không to, hạch ngoại vi không sờ thấy

- Cơ năng:

Ho khan

Ăn uống được, đại tiểu tiện bình thường

- Thực thể:

Phổi phải rì rào phế nang đáy phổi phải giảm, phổi trái thông khí tốt không ran

Tim đều, tiếng T1, T2 rõ, không có tiếng tim bệnh lý

Bụng mềm, không chướng, gan lách không sờ thấy

Cơ lực 2 chi trên 5/5, cơ lực 2 chi dưới 5/5

Dấu hiệu não, màng não âm tính

Các cơ quan khác chưa phát hiện bất thường

Cận lâm sàng

- Xét nghiệm công thức máu, đông máu, sinh hoá máu: trong giới hạn bình thường

- Xét nghiệm vi sinh: HIV âm tính, HbsAg âm tính

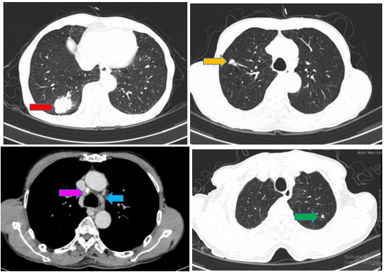
- Cắt lớp vi tính lồng ngực tháng 10/2024 (trước điều trị)


Hình 1: 
Hình ảnh chụp CT ngực cho thấyPhổi phải phân thùy S10 có khối ~ 40x30mm bờ tua gai (mũi tên đỏ); thùy trên, thùy dưới còn lại có vài nốt đặc, lớn nhất đường kính 9mm (mũi tên màu cam); Phổi trái: thùy trên có nốt đặc đường kính 3m ngấm thuốc, bờ tua gai (mũi tên xanh lá cây). Nhiều hạch trung thất, lớn nhất ~ 16x12mm (mũi tên xanh dương), có hạch vôi hóa (mũi tên hồng)

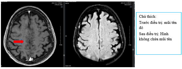
- Chụp cộng hưởng từ sọ não tháng 10/2024 (trước điều trị)


Hình 2: 
Vỏ não thùy trán hai bên và thùy đỉnh phải có các nốt tăng ngấm thuốc sau tiêm, nốt lớn nhất ~ 4mm (mũi tên đỏ) – Theo dõi thứ phát

- Chụp CT bụng tháng 10/2024 (trước điều trị)


Hình 3:
 Hình ảnh dày cành trong tuyến thượng thận trái 11mm (mũi tên đỏ), gan có vài nang, lớn nhất đường kính 30mm (mũi tên vàng)
- Siêu âm hạch vùng cổ: Chưa phát hiện hạch bệnh lý


- Siêu âm tim: Chưa phát hiện bất thường

- Nội soi dạ dày, đại tràng: Viêm dạ dày, trĩ nội độ I

- Bệnh nhân được tiến hành sinh thiết u phổi phải dưới hướng cắt lớp vi tính, kết quả mô bệnh học: Ung thư biểu mô tuyến

- Xét nghiêm gen: Không phát hiện đột biến EGFR

- Xét nghiệm hóa mô miễn dich: PDL1 âm tính

Chẩn đoán: Ung thư biểu mô tuyến thùy dưới phổi phải di căn phổi đối bên, não, tuyến thượng thận trái cT4N3M1 giai đoạn IV, EGFR âm tính, PDL1 âm tính/ Viêm dạ dày/ Nang gan/Tăng huyết áp

Điều trị:

Bệnh nhân được chỉ định điều trị hóa chất phác đồ: Pemetrexed- Carboplatin chu kì 21 ngày x 6 chu kì

Đánh giá kết quả sau điều trị 6 chu kì điều trị:

- Lâm sàng: Toàn trạng bệnh nhân ổn định, ho khan cải thiện đáng kể, không đau ngực, không khó thở, tim nhịp đều, phổi không ran, cơ quan khác chưa phát hiện bất thường.

- Cận lâm sàng:

Theo dõi đáp ứng trên phim cắt lớp vi tính lồng ngực, phim cắt lớp vi tính ổ bụng, phim chụp cộng hưởng từ sọ não như sau:

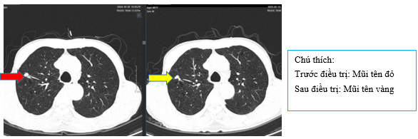
+ Chụp CT ngực sau điều trị


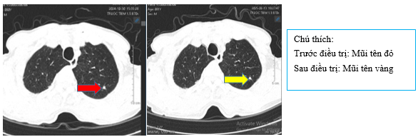
Hình 4:
 
So sánh phim chụp cắt lớp vi tính lồng ngực trước điều trị kích thước khối u thùy dưới phổi phải từ 40x30mm (mũi tên đỏ) sau điều trị giảm còn 26x20mm (mũi tên vàng) 

Hình 5: Hình ảnh nốt đặc thùy trên phổi phải trước điều trị kích thước ~9mm, sau điều trị đạt duy trì bệnh ~9mm

Hình 6: Hình ảnh nốt đặc thùy trên phổi trái trước điều trị ~3mm và sau điều trị kích thước ~5mm

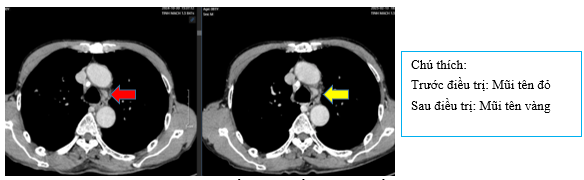
Hình 7: Hình ảnh các hạch trung thất trước điều trị lớn nhất ~16x12mm (mũi tên đỏ) giảm nhẹ sau điều trị còn 15x12mm (mũi tên vàng)


 + Chụp MRI sọ não sau điều trị:

 
Hình 8: So sánh phi chụp cộng hưởng từ sọ não trước điều trị có nốt tăng ngấm thuốc sau tiêm vùng vỏ não thùy trán thùy đỉnh phải ~ 3mm (mũi tên đỏ) của phim chụp trước điều trị. Hiện tại chụp lại phim MRI não đã không còn phát hiện các nốt ngấm thuốc bất thường.

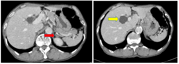
- Chụp CT bụng sau điều trị:

Hình 9: So sánh phim chụp CT bụng trước điều trị nốt tuyến thượng thận ~11mm (mũi tên đỏ) đã giảm nhẹ kích thước sau điều trị còn ~9mm (mũi tên vàng)


- Các chất chỉ điểm khối u liên quan đến ung thư phổi CEA có xu hướng giảm, Cyfra 21-1: tăng nhẹ

 

Sau 6 chu kỳ điều trị với phác đồ Pemetrexed – Carboplatin, theo tiêu chuẩn RECIST bệnh nhân đạt đáp ứng một phần. Triệu chứng ho khan cải thiện rõ rệt, tình trạng toàn thân được cải thiện. Hình ảnh chụp cắt lớp cho thấy khối u tại phổi phải giảm kích thước đáng kể, đồng thời các tổn thương ngấm thuốc trên não không còn được ghi nhận, cho thấy hiệu quả kiểm soát bệnh cả tại phổi nguyên phát và các vị trí di căn.

Như vậy: Qua trường hợp lâm sàng này, có thể thấy rằng hóa trị vẫn đóng vai trò then chốt trong điều trị ung thư phổi không tế bào nhỏ giai đoạn tiến xa, đặc biệt ở những bệnh nhân không có đột biến gen nhắm trúng đích và âm tính với PD-L1. Việc bệnh nhân đạt đáp ứng tốt với phác đồ hóa trị Pemetrexed – Carboplatin trong bối cảnh không có chỉ điểm sinh học đã nhấn mạnh vai trò nền tảng và không thể thay thế của hóa trị trong việc kiểm soát bệnh, kéo dài thời gian sống và cải thiện chất lượng cuộc sống.

 

 

 

Tin liên quan