Điều trị ung thư phổi tế bào nhỏ bằng liệu pháp miễn dịch phối hợp hóa chất tại Bệnh viện Bạch Mai
GS. Mai Trọng Khoa, PGS. Phạm Cẩm Phương, PGS. TS. Phạm Văn Thái,
TS. Nguyễn Thanh Hùng, BSNT. Nguyễn Hoàng Việt
Trung Tâm Y Học Hạt Nhân và Ung Bướu bệnh viện Bạch Mai
I. Tổng quan
Ung thư phổi là nguyên nhân tử vong hàng đầu trong các loại ung thư trên thế giới, theo Globocan năm 2022, Việt Nam ghi nhận 24.426 ca mắc mới và 22.597 ca tử vong vì căn bệnh này. Ung thư phổi cũng là nguyên nhân tử vong hàng đầu do ung thư ở cả hai giới. Có hai loại ung thư phổi chính là ung thư phổi tế bào nhỏ (chiếm khoảng 20%) và ung thư không tế bào nhỏ (chiếm khoảng 80%), trong đó ung thư phổi tế bào nhỏ tiến triển nhanh hơn và đáp ứng kém với điều trị.
Trong nhiều năm, việc điều trị với hóa trị nền tảng gồm Carboplatin và Etoposide là phương pháp điều trị tiêu chuẩn. Tuy nhiên, sự kết hợp với Atezolizumab (Tecentriq), một chất ức chế PD-L1, đã mở ra một hướng đi mới trong điều trị ung thư phổi tế bào nhỏ giai đoạn lan tràn. Atezolizumab giúp hệ miễn dịch nhận diện và tiêu diệt tế bào ung thư, khi kết hợp cùng với hóa trị sẽ tạo điều kiện thuận lợi cho hệ miễn dịch hoạt động hiệu quả hơn trong việc điều trị và kiểm soát bệnh.
Nhiều nghiên cứu và các hướng dẫn điều trị như NCCN và ESMO … đều khuyến nghị sử dụng Atezolizumab + Carboplatin + Etoposide như một lựa chọn điều trị hàng đầu cho bệnh nhân ung thư phổi tế bào nhỏ giai đoạn lan tràn.
Sau đây chúng tôi xin giới thiệu một trường hợp bệnh nhân ung thư phổi tế bào nhỏ giai đoạn lan tràn được điều trị bằng sự kết hợp phác đồ hóa chất và Atezolizumab mở ra triển vọng mới trong quản lý căn bệnh đầy thử thách này.
II. Case lâm sàng
Họ và tên : T.N.M.
Tuổi: 66.
Giới: Nam.
Lý do vào viện : Ho khan, gầy sút cân.
Bệnh sử :
Tháng 12/2024, bệnh nhân xuất hiện tình trạng ho khan về đêm, thúng thắng từng cơn,không ho máu, không sốt, không đau ngực, không khó thở, sụt cân 3kg/4 tháng, ăn uống được, đại tiểu tiện bình thường, nhập viện đa khoa Tỉnh điều trị, tại đây được chụp cắt lớp vi tính lồng ngực thấy hình ảnh khối u vùng rốn phổi phải,hạch trung thất; siêu âm ổ bụng có hình ảnh khối u gan đa ổ theo dõi thứ phát. Sau đó, bệnh nhân được chuyển đến khoa Hô Hấp bệnh viện tuyến trên, được làm giải phẫu bệnh hạch thượng đòn phát hiện kết quả là ung thư biểu mô tế bào nhỏ di căn hạch. Bệnh nhân tiếp tục được thăm khám và điều trị tại Trung Tâm Y Học Hạt Nhân và Ung Bướu bệnh viện Bạch Mai.
Khám lúc vào viện:
- Bệnh nhân tỉnh, tiếp xúc được.
- Huyết động ổn.
- Thể trạng trung bình, PS-1
- Da, niêm mạc kém hồng, không phù, không xuất huyết dưới da.
- Tuyến giáp không to, hạch ngoại vi không sờ thấy.
- Phổi thông khí giảm hai bên , không rales.
- Tim đều, tần số 80l/phút, T1, T2 rõ.
- Bụng mềm, không chướng, gan, lách không sờ thấy.
- Các cơ quan khác chưa phát hiện bất thường.
Tiền sử :
- Hút thuốc lá 40 bao/năm.
- Uống rượu nhiều năm, số lượng ít.
- Thuyên tắc và huyết khối động mạch.
- Suy tim.
Xét nghiệm cận lâm sàng trước khi điều trị :
- Cắt lớp vi tính lồng ngực:
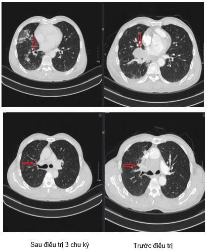
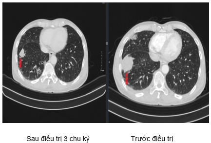
+ Phổi phải : vị trí rốn phổi, ôm quanh phế quản gốc phải, động tĩnh mạch phổi phải, là tổn thương tỷ trọng tổ chức, kích thước khoảng 62x65mm phát triển lan vào trung thất, dưới vị trí phân đôi của hai phế quản gốc, tổn thương gây hẹp phế quản phải và các nhánh trung tâm, hẹp động tĩnh mạch phổi nhưng chưa gây huyết khối . Nhu mô thùy dưới phổi phải có các nốt tính chất tương tự nốt lớn sát rãnh liên thùy kích thước 45x36mm.
+ Phổi Trái: nhu mô thùy trên có các nốt bán đặc, nốt lớn đường kính 8mm.
+ Nhiều khối nốt ngấm thuốc kém vị trí trung thất, có ranh giới không rõ với tổn thương tỷ trọng tổ chức rốn phổi phải, khối lớn kích thước 58x32mm.
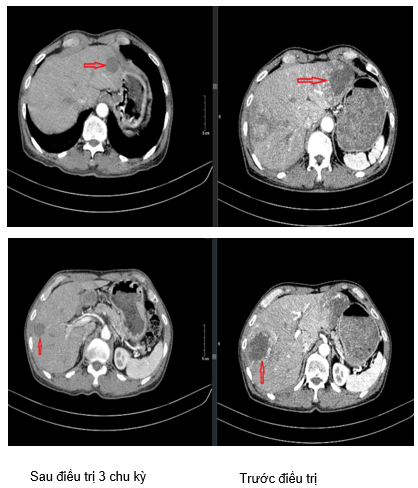
- Cắt lớp vi tính ổ bụng: nhu mô gan hai bên có nhiều khối tổ chức, hoại tử trung tâm, ngấm thuốc sau tiêm, các thành phần khác chưa phát hiện tổn thương.
- Siêu âm ổ bụng: gan trái có vài nốt hỗn hợp âm tập trung thành đám, khối lớn kích thước 4,8 x 4,9cm. Gan phải có khối hỗn hợp âm, khối lớn kích thước 4,1 x 5,7cm.
- Cộng hường từ sọ não: chưa phát hiện tổn thương bất thường.
- Các chỉ số đông máu, công thức máu, hóa sinh máu trong giới hạn bình thường.
=> Chẩn đoán xác định: Ung thư phổi tế bào nhỏ cT4N3M1 di căn gan, hạch trung thất, hạch thượng đòn. Mô bệnh học là: ung thư biểu mô tế bào nhỏ di căn hạch
Điều trị: Bệnh nhân được hội chẩn hội đồng chuyên môn chỉ định điều trị liệu pháp toàn thân.
Phác đồ cụ thể: Atezolizumab phối hợp với hóa trị chuẩn:
Etoposid 100mg/m2, truyền tĩnh mạch ngày 1,2,3.
Carboplatin 5AUC truyền tĩnh mạch ngày 1.
Durvalumab 1200mg, truyền tĩnh mạch ngày 1.
Chu kỳ 21 ngày, dự kiến đánh giá kết quả sau mỗi 3 chu kỳ.
ĐÁNH GIÁ KẾT QUẢ SAU ĐIỀU TRỊ SAU 3 CHU KỲ.
Lâm sàng: Bệnh nhân tỉnh, huyết động ổn định, da, niêm mạc kém hồng, không đau ngực, không khó thở.
- Chụp cắt lớp vi tính lồng ngực:
+ Phổi phải: vị trí rốn phổi, ôm quanh phế quản gốc phải,động mạch phổi phải, tổn thương tỷ trọng tổ chức, kích thước khoảng 16x29 mm,phát triển lan vào trung thất, dưới vị trí phân đôi của hai phế quản gốc, tổn thương gây hẹp phế quản phổi và các nhánh trung tâm, hẹp động mạch phổi chưa gây huyết khối. Nhu mô thùy dưới phổi phải có các nốt tính chất tương tự, nốt lớn sát rãnh liên thùy 28x18mm.
+ Phổi trái: Nhu mô thùy trên có các nốt bán đặc, nốt lớn đường kính 7mm.
+Trung thất cân đối, vài hạch trung thất lớn nhất kích thước 17x8mm.
+ Các thành phần khác chưa phát hiện tổn thương mới.
- Cắt lớp vi tính ổ bụng: Nhu mô gan hai bên có nhiều khối tổ chức lớn nhất đường kính 22mm, chưa xuất hiện thêm các tổn thương mới ở các cơ quan khác.
- Các xét nghiệm công thức máu, hóa sinh máu trong giới hạn bình thường.
Hình 1. Hình ảnh tổn thương phổi phải phát triển lan vào trung thất: Sau 3 chu kỳ điều trị kích thước giảm xuống còn khoảng 16x29mm (hình bên trái) so với trước điều trị kích thước khoảng 62x65mm (hình bên phải).
Hình 2. Hình ảnh tổn thương nhu mô thùy dưới phổi phải sát rãnh liên thùy: Sau 3 chu kỳ điều trị kích thước giảm xuống còn 28x18mm (hình bên trái) so với trước điều trị kích thước 45x36mm (hình bên phải).
Hình 3. Hình ảnh tổn thương thùy trên phổi trái: Sau 3 chu kỳ điều trị (hình bên trái) giảm kích thước so với trước điều trị (hình bên phải).

Hình 4. Hình ảnh khối u gan sau 3 chu kỳ điều trị: các khối u lớn nhất đường kính 22mm (hình bên trái) đã giảm kích thước so với phim trước điều trị (hình bên phải).
NHẬN XÉT: Như vậy chỉ sau 3 chu kì điều trị theo phác đồ Atezolizumab + Carboplatin + Etoposide, các tổn thương tại phổi, tổn thương di căn gan và các hạch khi được xác định trên các công cụ chẩn đoán hình ảnh đã có sự giảm kích thước đáng kể so với ban đầu, đồng thời khi định lượng CEA và Cyfra11-1 có xu hướng giảm từ sau chu kì thứ 3. Điều này chứng minh rằng phác đồ phối hợp trên là có hiệu quả đối với các bệnh nhân ung thư phổi tế bào nhỏ có di căn nhiều cơ quan như gan, hạch.