CASE LÂM SÀNG: ĐIỀU TRỊ BỆNH NHÂN SARCOMA CƠ TRƠN HIẾM GẶP Ở GAN TẠI TRUNG TÂM Y HỌC HẠT NHÂN VÀ UNG BƯỚU, BỆNH VIỆN BẠCH MAI

Ngày đăng: 29/11/2025 Lượt xem 484
CASE LÂM SÀNG:
 ĐIỀU TRỊ BỆNH NHÂN SARCOMA CƠ TRƠN HIẾM GẶP Ở GAN 
TẠI TRUNG TÂM Y HỌC HẠT NHÂN VÀ UNG BƯỚU, BỆNH VIỆN BẠCH MAI
GS.TS. Mai Trọng Khoa, PGS.TS. Phạm Cẩm Phương, TS. Phạm Văn Thái, ThS. BS. Vương Ngọc Dương, BSNT. Đỗ Thị Thu Trang
  Trung tâm Y học hạt nhân và Ung bướu - Bệnh viện Bạch Mai
Sarcoma cơ trơn gan nguyên phát (Primary hepatic leiomyosarcoma-PHL) là một loại khối u ác tính rất hiếm gặp, có nguồn gốc từ cơ trơn, với chỉ khoảng 70 trường hợp được công bố trên toàn thế giới theo một báo cáo năm 2022. Biểu hiện lâm sàng và các đặc điểm hình ảnh không đặc hiệu và có thể bắt chước các khối u gan nguyên phát khác, thường gặp nhất là ung thư biểu mô tế bào gan và ung thư đường mật trong gan. Chẩn đoán PHL đã được xác nhận bằng các xét nghiệm mô bệnh học và hóa mô miễn dịch. Phẫu thuật vẫn là trụ cột trong việc điều trị PHL. Diện cắt R0 là yếu tố tiên lượng chính.
Sau đây, chúng tôi xin giới thiệu một trường hợp lâm sàng bệnh nhân sarcoma cơ trơn tại gan, tại Trung tâm Y học hạt nhân và Ung bướu – Bệnh viện Bạch Mai.
Họ và tên: P. D. A. Giới: Nam       Tuổi: 56
Lý do vào viện: Đau bụng hạ sườn phải
Ngày vào viện: Tháng 10 năm 2024
Bệnh sử: Khoảng 1 tháng trước vào viện, bệnh nhân xuất hiện đau bụng hạ sườn phải âm ỉ, không buồn nôn, không nôn, ăn uống được, đại tiểu tiện bình thường, đi khám phát hiện u gan trái theo dõi Ung thư biểu mô tế bào gan
Tiền sử: 
- Bản thân: Chưa phát hiện bệnh lí mạn tính
- Gia đình: Không ai mắc bệnh lí liên quan
Khám lúc vào viện:
- Bệnh nhân tỉnh
- Thể trạng PS-0
- Không vàng da vàng mắt
- Tuần hoàn bàng hệ (-), sao mạch trên da (-)
- Nhịp tim đều, tần số 74 chu kì/phút, huyết áp 120/70 mmHg
- Phổi rì rào phế nang 2 bên rõ, không rale
- Bụng mềm, không chướng
- Gan lách không sờ thấy
- Các cơ quan bộ phận khác chưa phát hiện bất thường
Xét nghiệm cận lâm sàng:
- Công thức máu: trong giới hạn bình thường
- Đông máu: PT-INR: 1,01; PT%: 98,7% (trong giới hạn bình thường)
- Hóa sinh máu: Albumin: 43,5 g/L; Bilirubin tp: 6,1 µmol/L; GOT/GPT: 29/31 U/L (trong giới hạn bình thường)
- Chất chỉ điểm khối u (Tumor marker): AFP: 4,3 ng/ml (trong giới hạn bình thường)
- Vi sinh: HBsAg: (-), Anti-HCV (-), HIV: (-)
- Nội soi thực quản- dạ dày: Viêm dạ dày
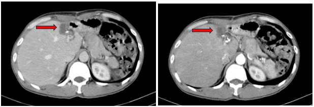
- Chụp cắt lớp vi tính ổ bụng:  
  
Hình 1: Trên hình ảnh CT ổ bụng cho thấy nhu mô gan trái có khối lớn, kích thước khoảng 92x70mm, tỉ trọng hỗn hợp trước tiêm, sau tiêm ngấm thuốc không đồng nhất, có phần ngấm thuốc mạnh thì động mạch, thải thuốc thì tĩnh mạch và thì muộn, tăng sinh mạch trong khối. Khối đẩy lồi bao gan, không thấy thâm nhiễm xung quanh hay hay to lân cận, theo dõi HCC
(ung thư biểu mô tế bào gan) (mũi tên đỏ)
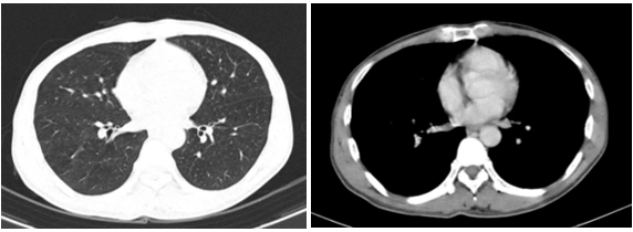
- Chụp cắt lớp vi tính lồng ngực:  
   
Hình 2: Hình ảnh chụp cắt lớp vi tính lồng ngực chưa phát hiện tổn thương nghi ngờ thứ phát
Bệnh nhân được sinh thiết u gan trái làm giải phẫu bệnh: U tế bào hình thoi
Hóa mô miễn dịch: Kết quả mô bệnh học và hóa mô miễn dịch phù hợp với sarcoma cơ trơn
-> Bệnh nhân được phẫu thuật cắt gan trái ngày 22/10/2024 
Giải phẫu bệnh sau mổ: 
Đại thể: U gan kích thước 12x9,2x5,5 cm trắng, chắc, ranh giới không rõ, xung quanh u 2 cm có nhiều nốt vệ tinh đường kính <1,5cm, tính chất tương tự u. U đẩy lồi và gây co kéo bao gan 
Vi thể: Mô u gồm các tế bào hình thoi, đa hình, nhân lớn, không đều, chất nhiễm sắc thô, bào tương ưa toan, sắp xếp thành bó. Tỉ lệ nhân chia cao (20 nhân chia/10 HPF), u có vùng hoại tử
Kết luận: U ác tính hướng đến sarcoma độ cao; 04 hạch viêm mạn tính
Hóa mô miễn dịch: Hình ảnh mô bệnh học và hóa mô miễn dịch phù hợp với sarcoma cơ trơn (dương tính với SMA, Ki67 (30%), Desmin; âm tính với CD117, DOG1, S100, CD34, GF AP)
Chụp cắt lớp vi tính ổ bụng sau mổ: 
   
Hình 3: Hình ảnh tụ dịch vị trí diện cắt gan trái sau phẫu thuật (mũi tên đỏ) trên phim chụp CT ổ bụng
Chẩn đoán xác định: Sarcoma cơ trơn tại gan đã phẫu thuật pT1N0M0G3
Điều trị: Bệnh nhân được điều trị hóa trị bổ trợ Phác đồ AIM:
- Doxorubicin 50mg/m2, truyền tĩnh mạch ngày 1.
- Ifosfamide 5g/m2, truyền tĩnh mạch trong 24 giờ.
- Mesna 600mg/m2, truyền tĩnh mạch, trước truyền ifosfamide sau đó 2,5g/m2, truyền tĩnh mạch, pha với 3 lít dịch chảy cùng với ifosfamide và 1,25g/m2 trong 2 lít dịch truyền trong 12 giờ sau dùng ifosfamide.
Chu kỳ  21 ngày

Lời bàn: 
- Sarcoma cơ trơn gan nguyên phát là một khối u rất hiếm gặp trong số tất cả các khối u ác tính nguyên phát ở gan, chỉ chiếm 0,2–2% trong số các ung thư nguyên phát tại gan. Các u cơ trơn ác tính ở gan thường là di căn, xuất phát từ đường tiêu hóa, tử cung, sau phúc mạc hoặc phổi, đòi hỏi phải chẩn đoán phân biệt cẩn thận. Bản chất hiếm gặp của bệnh đã cản trở việc làm sáng tỏ cơ chế bệnh sinh tiềm ẩn của nó. Các biểu hiện lâm sàng thường không đặc hiệu và các khối u thường không có triệu chứng cho đến khi chúng tăng kích thước đáng kể. 
- Bệnh có tiên lượng tương đối xấu và khả năng di căn xâm lấn cao. Phương pháp điều trị ưu tiên là phẫu thuật cắt bỏ, đôi khi kết hợp với hóa trị và xạ trị bổ trợ; tuy nhiên, có rất ít thông tin về hiệu quả của các lựa chọn điều trị hiện có do sự hiếm gặp của bệnh. Cần có các nghiên cứu sâu hơn để làm sáng tỏ thực thể lâm sàng không phổ biến này.

Tài liệu tham khảo chính
1. Hướng dẫn chẩn đoán và điều trị một số bệnh ung bướu, Bộ Y Tế, NXB Y học 2020
2. Esposito F, Lim C, Baranes L, Salloum C, Feray C, Calderaro J, Azoulay D. Primary leiomyosarcoma of the liver: Two new cases and a systematic review. Ann Hepatobiliary Pancreat Surg. 2020 Feb;24(1):63-67.
3. Ahmed H, Bari H, Nisar Sheikh U, Basheer MI. Primary hepatic leiomyosarcoma: A case report and literature review. World J Hepatol. 2022 Sep 27;14(9):1830-1839..

Tin liên quan