CA LÂM SÀNG: Điều trị khối u lớn liposarcoma sau phúc mạc tại Trung tâm Y học hạt nhân và Ung bướu - Bệnh viện Bạch Mai

Ngày đăng: 28/11/2025 Lượt xem 296
CA LÂM SÀNG: Điều trị khối u lớn liposarcoma sau phúc mạc tại Trung tâm Y học hạt nhân và Ung bướu - Bệnh viện Bạch Mai

GS.TS. Mai Trọng Khoa, PGS.TS Phạm Cẩm Phương, TS.Phạm Văn Thái, ThS. Lê Quang Hiển, BSNT. Nguyễn Hồng Nga, BSNT Nguyễn Trung Xuân Hoa 
 
Trung tâm Y học hạt nhân và Ung bướu - Bệnh viện Bạch Mai

I. Đại cương về liposarcoma
Liposarcoma là một khối u ác tính hiếm gặp có nguồn gốc từ mô mỡ, thường xảy ra ở bất cứ vị trí nào của cơ thể nhưng hay gặp nhất cả các chi và khoang sau phúc mạc. Nó chiếm 15% tất cả các khối u mô mềm với 15-20% phát sinh từ khoang sau phúc mạc. Là sarcoma nguyên phát sau phúc mạc phổ biến nhất, chiếm 35% tất cả các khối u mô mềm ác tính sau phúc mạc ở bệnh nhân trưởng thành. Thường gặp ở người lớn, đặc biệt là độ tuổi 40-60 tuổi.
 Phân loại liposarcoma:
• U mỡ không điển hình / biệt hoá tốt: Thường gặp tại các chi, khoang sau phúc mạc, vùng bẹn và cận tinh hoàn. Đây là loại u có độ ác tính thấp, ít di căn nhưng dễ tái phát do khó bóc tách hoàn toàn khỏi mô lân cận. Đặc điểm hình ảnh gợi ý bao gồm kích thước ≥10 cm, có nốt mô mềm xen kẽ trong khối mỡ.
• Sarcoma mỡ dạng nhầy / tế bào tròn: Gặp ở người trẻ, có nguy cơ di căn và tử vong cao nếu thành phần tế bào tròn >5%. U thường khu trú ở mô sâu vùng đùi, chứa rất ít mỡ (<10% thể tích).
• Sarcoma mỡ đa hình: Hiếm gặp, thường xuất hiện ở mô mềm sâu vùng chi ở người cao tuổi. Tỷ lệ tái phát và di căn cao.
Về điều trị liposarcoma:
Phẫu thuật vẫn là phương pháp chính. Xạ trị thường được phối hợp để kiểm soát tại chỗ. Hóa trị, liệu pháp nhắm trúng đích và miễn dịch đang ngày càng có vai trò, đặc biệt trong các thể ác tính cao hoặc di căn. Tiên lượng phụ thuộc vào phân nhóm mô học, trong đó thể biệt hoá tốt có tiên lượng tốt hơn so với thể đa hình hoặc mất biệt hoá.
Sau đây, chúng tôi xin giới thiệu một trường hợp lâm sàng bệnh nhân được chẩn đoán u Liposarcoma và điều trị tại Trung tâm Y học hạt nhân và ung bướu - Bệnh viện Bạch Mai.
II. Ca lâm sàng
Họ và tên: Đ.V.B                         Giới: Nam                            Tuổi: 52
Ngày vào viện: 26/02/2025
Lý do vào viện: đau bụng vùng thượng vị
Tiền sử: khỏe mạnh
Bệnh sử: Cách đây 1 năm, bệnh nhân xuất hiện đau âm ỉ vùng thượng vị nhưng không đi khám. Khoảng 1 tháng nay, bệnh nhân thấy bụng chướng tăng dần, đau bụng vùng thượng vị tăng lên, hạn chế sinh hoạt, ăn uống kém, không tiêu. Bệnh nhân không sốt, không nôn, không vàng da, tiểu tiện nhiều lần, đại tiện khó. Bệnh nhân đi khám tại Bệnh viện Bạch Mai theo dõi khối u lớn trong ổ bụng, được nhập viện vào Trung tâm Y học hạt nhân và Ung bướu - Bệnh viện Bạch Mai chẩn đoán và điều trị. 
Khám lâm sàng:
Bệnh nhân tỉnh, thể trạng gầy (cao 163cm, nặng 50kg)
Mạch: 80 chu kỳ/phút, HA: 120/70 mmHg,
Tim đều T1, T2 rõ,
Phổi thông khí đều 2 bên,
Khối u lớn chiếm gần hết ổ bụng, gần đến mào chậu, kích thước khoảng 25cm, chắc, không di động, ấn tức nhẹ,
Không có phản ứng thành bụng,
Các cơ quan khác chưa phát hiện gì đặc biệt.
Cận lâm sàng: 
- Công thức máu: Hồng cầu: 4,43 T/L; Hb: 137 g/l; Bạch cầu: 4,98 G/L; Tiểu cầu: 202 G/L (trong giới hạn bình thường).
- Sinh hóa máu: Creatinin: 73 μmol/l; AST/ALT: 27/30 U/L; Protein: 76,8 g/L; Albumin: 43,3 g/L; Bilirubin toàn phần/Bilirubin trực tiếp: 11,8/3,2 μmol/L (trong giới hạn bình thường).
- Chất chỉ điểm khối u (Tumor marker): AFP: 2,6 ng/ml; Beta HCG: < 1,2 mUI/ml; PSA toàn phần/PSA tự do: 0/28/0,05 ng/ml; CEA: 2,04 ng/ml; CA 19-9: 6,9 U/ml (đều trong giới hạn bình thường).
- Vi sinh: HbsAg: âm tính, HCV Ab: âm tính, HIV: âm tính.
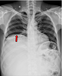
- Xquang ngực: Vòm hoành phải bị đẩy lên cao, dải xẹp phổi mảnh đáy phổi phải.
 
Hình 1. Hình ảnh chụp XQ ngực thẳng: vòm hoành phải bị đẩy lên cao do u chèn ép (mũi tên đỏ).
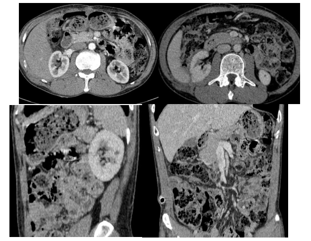
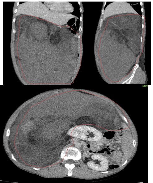
- CTscanner ổ bụng: Phát triển từ khoang sau phúc mạc bên phải có khối lớn kích thước khoảng 253x127mm, tỷ trọng hỗn hợp gồm phần đặc ngấm thuốc sau tiêm, thành phần nang dịch, mỡ và các ổ tăng tỷ trọng tự nhiên trước tiêm dạng máu cục lớn nhất kích thước khoảng 83x64 mm theo dõi liposarcoma. Khối lớn đẩy thận phải ra trước, sang trái sát đường giữa, đẩy nhu mô gan lên trên và đẩy các quai ruột trong ổ bụng sang trái. Không ghi nhận tổn thương ở các cơ quan khác.

Hình 2. Hình ảnh chụp cắt lớp vi tính ổ bụng: Khối khoang sau phúc mạc – Theo dõi Liposarcoma (vòng tròn màu đỏ)
- Siêu âm tuyến giáp và hạch cổ: Hình ảnh nang keo nhỏ hai thùy tuyến giáp, không thấy hạch bất thường vùng cổ.
- Nội soi thực quản - dạ dày - tá tràng: đảo niêm mạc dạ dày lạc chỗ tại thực quản cách cung răng trước 15cm.
- Nội soi đại tràng: Hiện không thấy bất thường.
- Nội soi phế quản: Chưa phát hiện bất thường trên hình ảnh nội soi phế quản
- CLVT ngực (27/02): Hình ảnh đông đặc kèm xẹp nhẹ rải rác nhu mô thùy dưới và thùy giữa phổi phải. Tổn thương kính mờ rải rác nhu mô thùy trên và phân thùy lưỡi phổi trái. Các dải xẹp phổi phân thùy lưỡi và thùy dưới phổi trái.

Chẩn đoán ban đầu: Khối u lớn sau phúc mạc - theo dõi Liposarcoma. 

Bệnh nhân được hội chẩn hội đồng đa chuyên khoa có chỉ định phẫu thuật khối sau phúc mạc. 
Trong quá trình phẫu thuật, bệnh nhân được kiểm tra ổ bụng thấy sạch, khối u mật độ chắc, giống tổ chức mỡ, u to chèn ép đè dẩy gan lên trên đại tràng ruột non xuống tiểu khung, đẩy thận phải và niệu quản lệch sang trái. Khối u ranh giới rõ với các tổ chức xung quanh, xâm lấn một phần cơ hoành và lớp mỡ sau phúc mạc. Bệnh nhân được phẫu thuật lấy toàn bộ khối u ra khỏi tổ chức xung quanh.
- Mô bệnh học sau mổ: Sarcoma mỡ mất biệt hóa (dedifferentiated liposarcoma)
Chẩn đoán sau mổ: Sarcoma mỡ mất biệt hóa đã phẫu thuật. Giai đoạn T4N0M0G3 (Giai đoạn IIIB theo AJCC (American Joint Committee on Cancer) 8th Edition)

Sau mổ 10 ngày, bệnh nhân tỉnh, không sốt, còn đau bụng âm ỉ vết mổ, ăn được cháo, trung tiện được, đại tiện phân vàng, vết mổ khô, dẫn lưu ra dịch vàng 50ml/ngày.
Hình ảnh chụp chụp cắt lớp vi tính ổ bụng sau phẫu thuật 1 tuần (03/2025): Hình ảnh sau mổ u sau phúc mạc bên phải, hiện thấy tụ dịch-khí khoang sau phúc mạc kèm ống dẫn lưu bên trong. Khí tự do ổ bụng (sau mổ). Khí trong mạc treo ruột. Dịch tự do ổ bụng
  

   Hình 3. Hình ảnh chụp cắt lớp vi tính ổ bụng: Hình ảnh sau mổ u sau phúc mạc bên phải, hiện thấy tụ dịch-khí khoang sau phúc mạc  (sau mổ 1 tuần)



Hiện tại, sau mổ 1 tháng (04/2025): bệnh nhân tỉnh, không sốt, thể trạng gầy (cao: 163, nặng: 53kg). Bệnh nhân không đau bụng, không mệt mỏi, ăn ngủ tốt, đại tiểu tiện bình thường, sẹo mổ cũ đường trắng giữa liền tốt, không sờ thấy khối bất thường.  
Xét nghiệm cận lâm sàng: 
- Công thức máu: Hồng cầu: 4,81 T/L; Hb: 154 g/l; Bạch cầu: 6,22 G/L; Tiểu cầu: 356 G/L (trong giới hạn bình thường).
- Sinh hóa máu: Creatinin: 78μmol/l; AST/ALT: 47/34 U/L; Na+/K+/Cl-: 139/4,0/101 (trong giới hạn bình thường).
- Hình ảnh chụp cắt lớp vi tính lồng ngực (4/2025): Dải xẹp mảnh 2 phổi.
- Hình ảnh chụp cắt lớp vi tính ổ bụng (4/2025): Hình ảnh sau mổ u sau phúc mạc bên phải, hiện thấy tụ ít dịch mỏng, đám thâm nhiễm khoang sau phúc mạc. Ít dịch ổ bụng vùng hạ vị. 
    
Hình 4. Hình ảnh chụp cắt lớp vi tính ổ bụng: sau mổ u sau phúc mạc bên phải, hiện thấy tụ ít dịch mỏng, đám thâm nhiễm khoang sau phúc mạc (sau mổ 1 tháng)

Bệnh nhân được hội chẩn hội đồng chuyên môn đánh giá xét xạ trị bổ trợ.

III. Bàn luận 
Sarcoma mỡ (liposarcoma) là một trong những dạng phổ biến nhất của sarcoma mô mềm ở người trưởng thành, nhưng lại hiếm gặp trong thực hành lâm sàng. Trong đó, liposarcoma sau phúc mạc chiếm tỷ lệ đáng kể (chiếm khoảng 15–20% tổng số liposarcoma, khoảng 35% các sarcoma mô mềm sau phúc mạc) và thường được phát hiện muộn do khối u phát triển âm thầm, không có triệu chứng cho đến khi đạt kích thước lớn, gây chèn ép các cơ quan.
Ca lâm sàng này minh họa điển hình cho liposarcoma mất biệt hóa (dedifferentiated liposarcoma) là một thể ác tính cao, có nguy cơ tái phát tại chỗ và di căn xa. Điểm nổi bật là khối u phát triển rất lớn (khoảng 25 cm), chiếm gần toàn bộ ổ bụng, đẩy lệch các tạng mà không gây triệu chứng đặc hiệu trong thời gian dài. Việc chẩn đoán dựa vào hình ảnh học (CTscan) và mô bệnh học sau phẫu thuật là cơ sở để đưa ra kế hoạch điều trị chính xác.
Phẫu thuật là phương pháp điều trị chủ yếu, tuy nhiên, trong các trường hợp sarcoma mỡ mất biệt hóa, dù cắt bỏ hoàn toàn, nguy cơ tái phát vẫn rất cao, đặc biệt trong 2 năm đầu sau mổ. Do đó, vai trò của xạ trị bổ trợ sau phẫu thuật là rất quan trọng nhằm kiểm soát vi thể tại chỗ. Hóa trị có thể được cân nhắc trong một số trường hợp chọn lọc, đặc biệt ở bệnh nhân còn trẻ, u ác tính cao, không đáp ứng phẫu thuật triệt để hoặc đã có di căn.
Việc theo dõi định kỳ bằng khám lâm sàng, chụp cắt lớp vi tính ổ bụng, lồng ngực là cần thiết để phát hiện sớm tái phát hoặc di căn. Bệnh nhân trong ca lâm sàng này đang tiến triển tốt sau mổ, được lên kế hoạch xạ trị bổ trợ và theo dõi sát.

Tin liên quan