CA LÂM SÀNG ĐIỀU TRỊ ĐÍCH BỆNH NHÂN UNG THƯ PHỔI GIAI ĐOẠN MUỘN TẠI BỆNH VIỆN BẠCH MAI

Ngày đăng: 21/01/2026 Lượt xem 202

CA LÂM SÀNG

ĐIỀU TRỊ ĐÍCH BỆNH NHÂN UNG THƯ PHỔI GIAI ĐOẠN MUỘN TẠI BỆNH VIỆN BẠCH MAI


GS. TS. Mai Trọng Khoa, BSNT. Đỗ Đăng Thọ, PGS. TS. Phạm Cẩm Phương, PGS. TS. Phạm Văn Thái

Trung tâm Y học hạt nhân và Ung bướu - Bệnh viện Bạch Mai


Theo số liệu GLOBOCAN 2022, ung thư phổi là loại ung thư đứng hàng đầu trên toàn cầu cả về số ca mắc mới với 2.489.675 trường hợp (chiếm 12,4% tổng số ca ung thư mới) và số ca tử vong với 1.817.469 trường hợp (chiếm 18,7% tổng số ca tử vong do ung thư).


Về mô bệnh học, ung thư phổi được phân thành hai nhóm chính gồm ung thư phổi tế bào nhỏ và ung thư phổi không tế bào nhỏ, trong đó ung thư phổi không tế bào nhỏ chiếm tỷ lệ cao nhất, khoảng 80–85%. Đây cũng là nhóm bệnh có nhiều lựa chọn điều trị hơn và tiên lượng tương đối khả quan. Ở giai đoạn bệnh còn khu trú tại chỗ hoặc tại vùng, ung thư phổi không tế bào nhỏ thường được điều trị triệt căn bằng phẫu thuật hoặc xạ trị,có thể kết hợp với các liệu pháp toàn thân đồng thời hoặc bổ trợ nhằm mục tiêu chữa khỏi. Ngược lại, ở giai đoạn tiến triển tại chỗ – tại vùng hoặc tái phát, di căn, điều trị chủ yếu mang tính toàn thân và giảm nhẹ, nhằm cải thiện chất lượng cuộc sống và kéo dài thời gian sống cho người bệnh. Trong bối cảnh đó, điều trị nhắm trúng đích được xem là một trong những lựa chọn hiệu quả đối với bệnh nhân ung thư phổi không tế bào nhỏ có các đột biến gen đặc hiệu.

Dưới đây, chúng tôi xin giới thiệu một trường hợp ung thư phổi giai đoạn muộn có đột biến gen được điều trị tại Trung tâm Y học hạt nhân và Ung bướu - Bệnh viện Bạch Mai.

Hành chính

1) Họ tên: V.T.H

2) Giới tính: Nữ

3) Năm sinh: 1982

4) Địa chỉ: Hưng Yên

Tiền sử

- Bản thân: Chưa phát hiện tiền sử bệnh ung thư hay bệnh gan - mật, hô hấp liên quan.

- Gia đình: Chưa phát hiện bệnh lý liên quan.

Bệnh sử

Tháng 02/2025, bệnh nhân xuất hiện đau vùng vai trái, đau tức ngực xương ức, không ho, không khó thở,không sốt.

Bệnh nhân đi khám tại bệnh viện Bạch Mai được chụp cắt lớp vi tính lồng ngực phát hiện nhu mô thùy trên có khối đặc kích thước 40 x 35mm, các nốt đặc đường kính <12mm lan tỏa nhu mô hai phổi, ổ tiêu xương ức kích thước 31 x 13mm.  

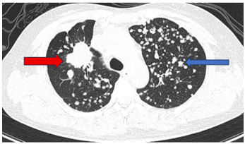
Hình 1: Hình ảnh tổn thương phổi trước điều trị: nhu mô thùy trên có khối đặc kích thước 40 x 35mm (mũi tên màu đỏ), các nốt đặc đường kính <12mm lan tỏa nhu mô hai phổi (mũi tên màu xanh)

Hình 2: Hình ảnh tổn thương xương trước điều trị: ổ tiêu xương ức kích thước 31 x 13 mm (mũi tên màu đỏ) 

Bệnh nhân được sinh thiết khối u thùy trên phổi phải có kết quả Ung thư biểu mô tuyến. Xét nghiệm gen EGFR phát hiện đột biến L858R trên exon 21.

Làm các xét nghiệm khác tầm soát toàn thân chưa phát hiện thêm các tổn thương khác.  

Đánh giá chức năng gan - thận của bệnh nhân trong giới hạn bình thường. Xét nghiệm vi sinh viêm gan B, viêm gan C, HIV âm tính.

Chẩn đoán: Ung thư phổi trái biểu mô tuyến EGFR (+) cT2bN0M1 di căn phổi, di căn xương, giai đoạn IV.

Điều trị: 

Sau hội chẩn, bệnh nhân được chỉ định dùng thuốc điều trị đích: Gefitinib 250mg/ngày.

Gefitinib là thuốc ức chế ức chế tyrosine kinase thế hệ I.

Đánh giá sau điều trị

- Lâm sàng bệnh nhân ổn định.

- Công thức máu, sinh hoá máu cơ bản trong giới hạn bình thường.

- Chỉ điểm u:

Bảng 1: Thay đổi nồng độ chất chỉ điểm khối u trước và sau điều trị trị theo thời gian


- Chụp cắt lớp vi tính lồng ngực:

Hình 3: Hình ảnh sau các đợt điều trị:  Các tổn thương của phổi (giảm số lượng và kích thước sau các đợt điều trị).

Hình 4: Hình ảnh sau các đợt điều trị:  Các tổn thương của xương (không thay đổi số lượng và kích thước sau các đợt điều trị).

Như vậy, bệnh nhân đáp ứng khá tốt với Gefitinib: chất chỉ điểm khối u, kích thước tổn thương phổi có xu hướng giảm dần.

Tóm lại: Trên đây là một trường hợp Ung thư biểu mô tuyến phổi trái có EGFR (+) cT2bN0M1 di căn phổi, di căn xương. Bệnh nhân đã được điều trị thuốc đích Gefitinib

Sau điều trị, bệnh nhân đáp ứng tốt, và tiếp tục tuân thủ điều trị. Thuốc điều trị đích ngày càng được ứng dụng nhiều trong ung thư phổi không tế bào nhỏ giai đoạn muộn, đem lại lợi ích cả về kéo dài thời gian sống và chất lượng cuộc sống cho bệnh nhân.




Tin liên quan