CA LÂM SÀNG: ĐIỀU TRỊ UNG THƯ ĐẠI TRÀNG TÁI PHÁT DI CĂN PHỔI, TUYẾN THƯỢNG THẬN

Ngày đăng: 11/02/2026 Lượt xem 384

CA LÂM SÀNG: ĐIỀU TRỊ UNG THƯ ĐẠI TRÀNG TÁI PHÁT DI CĂN PHỔI, TUYẾN THƯỢNG THẬN

GS. Mai Trọng Khoa, PGS. Phạm Cẩm Phương, ThS. Lê Quang Hiển, SV Đỗ Thị Dinh

Trung tâm Y học hạt nhân và Ung bướu, bệnh viện Bạch Mai

Trường Đại học Y Dược- Đại học Quốc Gia Hà Nội

Đặt vấn đề

Nhiều thống kê cho thấy,ung thư đại tràng là loại ung thư ác tính phổ biến thứ ba và là nguyên nhân gây tử vong do ung thư phổ biến thứ hai trên toàn thế giới. Tại Việt Nam, theo khảo sát của GLOBOCAN 2022, ung thư đại trực tràng có tỷ lệ mắc mới 9,3% (đứng hàng thứ 4), tỷ lệ tử vong 7,0%(đứng hàng thứ 5) và có xu hướng gia tăng qua từng năm.

Mặc dù đã có những tiến bộ trong sàng lọc và điều trị phẫu thuật triệt để từ sớm, nhưng vẫn còn một số lượng đáng kể bệnh nhân phát hiện ở giai đoạn muộn, tái phát và tiến triển di căn tới nhiều cơ quan khác trong cơ thể, đặc biệt là di căn tới gan, phổi, xương ...

Dưới đây, chúng tôi xin giới thiệu một ca lâm sàng bệnh nhân ung thư đại tràng tái phát có di căn gan, phổi và tuyến thượng thận, đang điều trị tại bệnh viện Bạch Mai.

*Hành chính:

·       Họ tên BN: N.T.S,   nữ,  65 tuổi

·       Địa chỉ: Nam Định

·       Nghề nghiệp: Nông dân

*Lý do vào viện: ho, đau ngực

*Bệnh sử:

Năm 2022, bệnh nhân biểu hiện đau bụng âm ỉ vùng quanh rốn, đau liên tục, không lan, chán ăn, ăn uống kém, gầy sút 6kg/3 tháng, không sốt, không nôn, đại tiểu tiện bình thường. Bệnh nhân đi khám tại Bệnh viện Bạch Mai được nội soi đại trực tràng phát hiện tổn thương khối sùi loét đại tràng trái, đã được sinh thiết có kết quả mô bệnh học là ung thư biểu mô tuyến. Bệnh nhân được phẫu thuật cắt đoạn đại tràng vét hạch (pT3N2M0) và điều trị hóa chất bổ trợ 12 đợt theo phác đồ Folfox kết hợp theo dõi định kỳ sau mổ.

Sau 6 tháng, bệnh nhân xuất hiện ho khan kèm theo đau ngưc khi ho tại bờ trái xương ức, không khó thở. Bệnh nhân được chỉ định chụp cắt lớp vi tính lồng ngực - ổ bụng: phát hiện thuỳ dưới phổi trái có nốt đặc lớn bờ thuỳ múi không đều kích thước 89x54,5mm xâm lấn màng phổi bên cạnh, đỉnh phổi phải có khối đặc bờ thuỳ múi tua gai kích thước 35x36mm theo dõi xâm lấn màng phổi thành bên cạnh, nhu mô gan phải có nốt ngấm thuốc kém chủ yếu ngấm viền ngoại vi đường kính ~ 25mm. Bệnh nhân được nhập viện vào Trung tâm y học hạt nhân và ung bướu-Bệnh viện Bạch Mai để điều trị tiếp.

*Khám lúc vào viện:

-        Bệnh nhân tỉnh, PS 1

-        Thể trạng thừa cân:

o  Cân nặng: 67 kg.       

o  Chiều cao: 160 cm.

o  BMI26, 17kg/m2       

-        Huyết động ổn định

-        Hạch ngoại vi không sờ thấy

-        Bụng mềm, không có phản ứng thành bụng

-        Tim đều, T1, T2 rõ, không tiếng thổi bất thường

-        Phổi giảm thông khí 2 bên, không rales bất thường

*Tiền sử:

-        Bệnh lý: Bệnh nhân được chẩn đoán tăng huyết áp cách 1 năm điều trị thường xuyên theo chỉ định bác sĩ.

-        Thói quen, sinh hoạt: Chưa phát hiện bất thường

-        Môi trường: Tiếp xúc với thuốc trừ sâu

-        Dị ứng: Chưa phát hiện bất thường

-        Gia đình: Mẹ đẻ mắc ung thư phổi

*Các xét nghiệm cận lâm sàng:

-        Xét nghiệm: công thức máu, chức năng gan thận, điện giải đồ trong giới hạn bình thường, HIV âm tính, HBsAg âm tính, HCV âm tính.

-        Kết quả giải phẫu bệnh tế bào học: Ung thư biểu mô tuyến, hướng đến nguồn gốc đại tràng.

-        Mô bệnh học: U tuyến ống, loạn sản độ thấp

-        CLVT lồng ngực - ổ bụng:

Hình 1. Nhu mô gan phải có nốt ngấm thuốc kém chủ yếu ngấm viền ngoại vi đường kính ~ 25mm

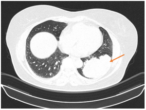
Hình 2. Thuỳ dưới phổi trái có khối đặc lớn, bờ thuỳ múi không đều, kích thước ~ 89x54,5mm xâm lấn màng phổi lân cận

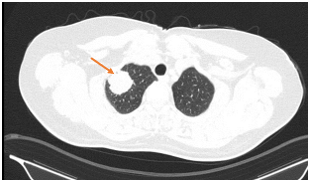
Hình 3. Đỉnh phổi phải có khối bờ thuỳ múi tua gai kích thước 35x36mm, theo dõi xâm lấn màng phổi thành lân cận.

- Nội soi trực tràng:



Hình 4. Đại tràng lên, đại tràng ngang gần góc gan có 03 polyp k
ích thước~ 0,5-1cm.

- Miễn dịch:

+ CA 19-9: 14,9 ng/mL

+ CEA: 17,7 ng/mL

*Chẩn đoán xác định: Ung thư biểu mô tuyến đại tràng trái đã phẫu thuật +hóa chất tái phát di căn phổi 2 bên, gan phải pTxNxM1b (giai đoạn IV)

*Hướng xử trí:

Bệnh nhân được hội chẩn hội đồng chuyên môn, được chỉ định điềutrị bằng phác đồ FOLFIRI:

-        Irinotecan 180mg/m2 da pha truyền tĩnh mạch trước 5-FU ngày 1

-        Leucovorin 400mg/m2 da pha truyền tĩnh mạch trước 5-FU ngày 1,2

-        5-FU 400mg/m2 da truyền tĩnh mạch bolus ngày 1,2

Bệnh nhân được theo dõi bằng công thức máu, chức năng gan thận và định lượng CEA huyết thanh để đánh giá đáp ứng điều trị. CT scan ngực – bụng – chậu định kỳ được thực hiện nhằm theo dõi tiến triển bệnh và phát hiện tổn thương di căn mới.

* Lời bàn

Trên đây là một trường hợp Ung thư biểu mô tuyến đại tràng trái đã được phẫu thuật triệt căn và điều trị hóa chất bổ trợ, tuy nhiên vẫn tái phát với di căn đa cơ quan gồm phổi hai bên và gan. Điều này cho thấy ung thư đại trực tràng có nguy cơ tái phát và di căn xa ngay cả khi đã được điều trị theo phác đồ chuẩn, đặc biệt ở những bệnh nhân có giai đoạn bệnh tiến triển và yếu tố nguy cơ kèm theo.

Việc phát hiện sớm tổn thương tái phát thông qua theo dõi định kỳ, kết hợp đánh giá hình ảnh học, mô bệnh học và marker khối u đóng vai trò quan trọng trong định hướng chẩn đoán và điều trị. Trong trường hợp này, bệnh nhân được hội chẩn đa chuyên khoa và lựa chọn phác đồ FOLFIRI là phù hợp với bối cảnh bệnh tái phát di căn, góp phần kiểm soát tiến triển bệnh và cải thiện chất lượng sống.

Qua ca bệnh, chúng ta thấy cần có chiến lược điều trị cá thể hóa, phối hợp đa mô thức và theo dõi lâu dài trong quản lý ung thư đại trực tràng tái phát di căn. Đồng thời, đây cũng là cơ sở thực tiễn góp phần làm rõ hiệu quả và chỉ định của các phác đồ hóa chất trong điều trị ung thư đại trực tràng giai đoạn muộn tại Việt Nam.


Tin liên quan