CASE LÂM SÀNG: U Thần kinh nội tiết tế bào lớn biểu hiện tại gan

Ngày đăng: 11/02/2026 Lượt xem 606

CASE LÂM SÀNG

U Thần kinh nội tiết tế bào lớn biểu hiện tại gan

GS. TS. Mai Trọng Khoa, PGS. TS. Phạm Cẩm Phương, PGS. TS. Phạm Văn Thái, ThS. BSNT. Hoàng Công Tùng, SV. Lê Thu Hương

1. Trung tâm Y học hạt nhân và Ung bướu, Bệnh viện Bạch Mai

2. Trường Đại học Y dược – Đại học Quốc gia Hà Nội

U tế bào thần kinh nội tiết là tập hợp một nhóm đa dạng các loại u xuất phát từ những tế bào thần kinh - nội tiết khác biệt hiện diện ở khắp nơi trên cơ thể. Phổ biến nhất là khối u thần kinh nội tiết xuất phát từ đường tiêu hoá,phổi, phế quản, tuyến ức và tuyến tụy. Vị trí u thần kinh nội tiết hay gặp tại đường tiêu hoá là: dạ dày, ruột non, ruột thừa và trực tràng. Một số vị trí ít gặp hơn: tuyến cận giáp, tuyến giáp, tuyến thượng thận và tuyến yên.

Yếu tố nguy cơ của u thần kinh nội tiết còn chưa rõ ràng. Có một số khối u thần kinh nội tiết có thể liên quan với các hội chứng di truyền, bao gồm đa u tuyến nội tiết loại 1 và loại 2 (MEN 1, 2), bệnh von Hippel - Lindau, xơ cứng củ và u xơ thần kinh. Chẩn đoán và điều trị các khối u thần kinh nội tiết thường liên quan đến nhiều chuyên khoa khác nhau, do vậy để mang lại hiệu quả điều trị tốt nhất cho bệnh nhân thì cần thành lập hội đồng chuyên môn bao gồm: bác sĩ chuyên ngành ung thư, giải phẫu bệnh, nội tiết, chẩn đoán hình ảnh, y học hạt nhân...

Theo phân tích của cơ sở dữ liệu SEER, u thần kinh nội tiết nguyên phát tại gan là một thể cực kỳ hiếm gặp, chỉ chiếm khoảng dưới 0.3% trong tổng số các khối u thần kinh nội tiết, ngược lại, gan là cơ quan thường xuyên nhận di căn từ các khối u thần kinh nội tiết đường tiêu hóa (chiếm đa số các trường hợp). Sau đây, chúng tôi xin giới thiệu một trường hợp lâm sàng bệnh nhân u tế bào thần kinh nội tiết biểu hiện ở gan.

* Hành chính:

- Họ và tên: N.H.P

- Giới tính: Nam

- Tuổi: 70

- Nghề nghiệp: Nông dân

- Địa chỉ: Xã Hồng Sơn, thành phố Hà Nội

* Lý do vào viện: Đau tức vùng hạ sườn phải

* Bệnh sử: Cách vào viện Bạch Mai 2 tháng, bệnh nhân xuất hiện đau nhẹ âm ỉ vùng hạ sườn phải thành từng cơn thưa, không lan, không có tư thế giảm đau, kèm chướng bụng nhẹ sau ăn, ăn uống kém, không buồn nôn, không sốt, táo bón, đại tiện 1 lần/tuần, tiểu tiện bình thường, bệnh nhân không tự xử trí gì. Sau 2 tháng, các triệu chứng có xu hướng tăng dần kèm sụt khoảng 3kg/2 tháng, bệnh nhân tự sờ thấy một khối bất thường mật độ chắc vùng hạ sườn phải => Tới khám tại Bệnh viện Bạch Mai.

Tại bệnh viện, bệnh nhân được chỉ định chụp cộng hưởng từ ổ bụng cho hình ảnh: Khối rốn gan kích thước 100x110mm và các nốt gan 2 bên kích thước khoảng 12mm, xâm lấn gây huyết khối nhánh trái TMC. Bệnh nhân được chẩn đoán U gan (theo dõi thể mix HCC – ICC)/ Viêm gan B mạn tính.Bệnh nhân được điều trị Viêm gan B => Chuyển tới Trung tâm Y học hạt nhân và Ung bướu Bệnh viện Bạch Mai

* Tiền sử:

- Bản thân:

+ Viêm gan B mạn tính phát hiện cách 1 năm, hiện đang điều trị với TDF 300mg

+ Polyp đại tràng đã cắt cách 1 tháng, kết quả sinh thiết polyp: u tuyến ống, loạn sản độ thấp

+ Không tăng huyết áp, đái tháo đường

- Gia đình: chưa phát hiện các bệnh lý liên quan

- Thói quen:

+ Hút thuốc lá 5 bao-năm

+ Uống rượu ít

- Dị ứng: Chưa phát hiện bất thường

* Khám lâm sàng:

- Bệnh nhân tỉnh, Glasgow Scale: 15đ

- Toàn trạng: ECOG: 3

- Thể trạng trung bình: BMI: 20.2 kg/  (cân nặng: 55kg – chiều cao: 1m65)

- Dấu hiệu sinh tồn: Mạch 78 chu kỳ/phút, Huyết áp: 120/70 mmHg, Nhiệt độ: 36.4 độ C

- Da, niêm mạc nhợt, vàng sạm

- Bụng mềm, không chướng, sờ thấy 1 khối bất thường vùng hạ sườn phải, dưới bờ sườn khoảng 8cm, mật độ chắc, bờ tù, không di động, ấn đau tức, VAS 2 điểm, không có tuần hoàn bàng hệ

- Không sờ thấy hạch ngoại vi

- Cơ quan khác ko phát hiện bất thường

* Xét nghiệm cận lâm sàng:

- Huyết học:

+ Hồng cầu: 3.53 T/L (giảm), Hemoglobin: 103 g/L (giàm), Hematocrit: 0.314 L/L (giảm nhiều)

+ Lympho: 21.2% (giảm)

- Hoá sinh:

+ Creatinin: 61 ; eGFR: 96 mL/phút/1.73  (trong giới hạn bình thường)

+ AST: 147 U/L (tăng cao); ALT: 46 U/L(tăng nhẹ)

- Điện giải: Na: 128 nmol/L (giảm nhẹ)

- Đông máu:

+ PT: 41.1% (giảm)

+ INR: 1.68 (tăng)

- Miễn dịch:

+ AFP toàn phần: 49.7 ng/mL (tăng)

+ AFP-L3: 83.3 % (tăng)

+ PIVKA-II: 332 mAU/mL (tăng)

+ CA 19-9: 16.7 u/Ml (trong giới hạn bình thường)

- Siêu âm đàn hồi mô gan:

+ Độ xơ hoá gan F2

+ Độ nhiễm mỡ S0

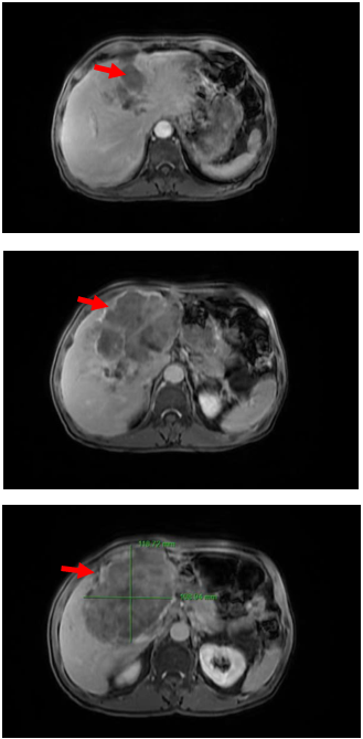
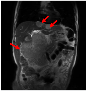
- Cộng hưởng từ ổ bụng: Nhu mô gan 2 bên có vài khối nốt tổn thương, lớn nhất vị trí rốn gan kích thước 105x140x132mm, bờ không đều, giảm tín hiệu trên T1W, có phần tăng tín hiệu trên T1W dạng chảy máu, tăng nhẹ không đồng nhất trên T2W, hạn chế khuếch tán trên DWI/ADC, sau tiêm ngấm thuốc ở ngoai vi thì động mạch, ngấm thuốc lan dần vào trung tâm thì muộn, thì gan mật không giữ thuốc. Tổn thương xâm lấn đè đẩy hạn chế đánh giá nhánh trái TMC, đè đẩy hẹp thân chung TMC

Hình ảnh chụp Cộng hưởng từ có tiêm thuốc đối quang từ (T1W): Vị trí các khối u theo hướng chỉ của mũi tên đỏ

- Mô bệnh học tại u gan: Hình ảnh mô bệnh học và hoá mô miễn dịch phù hợp với ung thư biểu mô thần kinh nội tiết tế bào lớn

* Chẩn đoán xác định: U thần kinh nội tiết tế bào lớn biểu hiện tại gan (TxNxM1-giai đoạn IV)/ Viêm gan B mạn tính giai đoạn tái hoạt động– Thiếu máu mức độ nhẹ - Xơ hoá gan F2

* Hướng điều trị:

- Điều trị bệnh lý nền và bổ trợ:

+ Điều trị viêm gan virus B: duy trì pms-Tenofoviir 300mg (Tenofovir Disoproxil Furamate) x 1v/ngày; Vinpha E 400IU (vitamin E) x 1v/ngày

+ Điều trị thiếu máu: Tardyferon (Vitamin B), chế độ ăn giàu acid folic, sắt

+ Cải thiện tình trạng tăng thời gian đông máu: Vitamin K 10mg/ngày truyền TM

+ Cải thiện tình trạng tăng men gan: Silygamma 150mg x 2v/ngày

+ Hỗ trợ cải thiện tình trạng táo bón: Forlax 10g (Macrogol 4000) 1 gói/ngày vào buổi sáng

- Điều trị toàn thân: Phác đồ etoposide – cisplatin

+ Etoposide 100mg/5ml x 2 lọ, truyền tĩnh mạch ngày 1-3

+ Cisplatin 10mg/20ml x 10 lọ, truyền tĩnh mạch ngày 1

Chu kỳ 21 ngày x 3 chu kỳ. Đánh giá lại đáp ứng điều trị sau 1 chu kỳ.

Hiện tại bệnh nhân đang điều trị nội khoa để ổn định chức năng gan, sau đó sẽ tiến hành điều trị hoá chất.


Tin liên quan