Ca lâm sàng: Bệnh nhân mắc 3 loại ung thư: ung thư hạ họng, ung thư biểu mô tế bào gan, ung thư thực quản tại Trung tâm Y học hạt nhân và Ung bướu Bệnh viện Bạch Mai

Ngày đăng: 13/02/2026 Lượt xem 400

Ca lâm sàng:
Bệnh nhân mắc 3 loại ung thư: ung thư hạ họng, ung thư biểu mô tế bào gan, ung thư thực quản tại Trung tâm Y học hạt nhân và Ung bướu Bệnh viện Bạch Mai

GS. TS. Mai Trọng Khoa1,2, PGS. TS. Phạm Cẩm Phương1,2, PGS. TS. Phạm Văn Thái1,3,

           BSNT. Nguyễn Thị Thuý Hường2,BSNT. Nguyễn Quang Huy3.

(1)Trung tâm Y học hạt nhân và Ung bướu - Bệnh viện Bạch Mai

(2)Trường Đại học Y Dược - Đại học Quốc gia Hà Nội

(3)Trường Đại học Y Hà Nội

Ung thư là một vấn đề nghiêm trọng về xã hội, y tế công cộng và kinh tế trong thế kỷ 21, gây ra gần một trong sáu ca tử vong trên toàn cầu (16,8%) và chiếm một phần tư số ca tử vong(22,8%) do các bệnh không lây nhiễm. Theo số liệu từ GLOBOCAN 2022 do Tổ chức Y tế Thế giới (WHO) công bố, tình hình ung thư tại Việt Nam đang đặt ra nhiều thách thức nghiêm trọng. Trong năm 2022, cả nước ghi nhận 180.480 ca ung thư mới,trong đó có 120.184 trường hợp tử vong, tương đương với tỷ lệ tử vong lên tới khoảng 66,6%. [1]

Trong số các bệnh ung thư phổ biến ở nam giới Việt Nam, ung thư gan đứng đầu với tỷ lệ mắc mới 19,9%, ung thư thực quản đứng thứ tám với 5,9%, và ung thư hạ họng đứng thứ mười với 3,5%. Mặc dù ung thư hạ họng và ung thư thực quản thường được ghi nhận là các khối u ác tính kết hợp ở đường tiêu hóa trên, nhưng dữ liệu thống kê về việc đồng mắc cùng lúc cả ba loại ung thư này còn rất hạn chế. [2;3] Hiện tại, vẫn chưa có giả thuyết rõ ràng về mối liên hệ hay sự tăng nguy cơ mắc các loại ung thư khác sau khi phát hiện một trong các loại ung thư này, đặc biệt là ung thư biểu mô tế bào gan.

Bài viết này trình bày một ca lâm sàng hiếm gặp về một bệnh nhân được chẩn đoán mắc đồng thời ba loại ung thư: ung thư hạ họng, ung thư biểu mô tế bào gan và ung thư thực quản, được chẩn đoán và điều trị tại Trung tâm Y học hạt nhân và Ung bướu, Bệnh viện Bạch Mai..

Thông tin bệnh nhân

Bệnh nhân: Nguyễn Kim S.            Nam                Năm sinh: 1961

Quê quán: Ô Chợ Dừa, Đống Đa, Hà Nội.

Ngày vào viện: 28/03/2025.

Tiền sử:

-        Tiền sử bản thân: Suy giáp điều trị Levothyroxin 50 mcg/ngày, Belthryroxin 50 mg 2v/ngày.

-        Tiền sử gia đình: Chưa phát hiện bệnh lý liên quan.

Bệnh sử:

Tháng 1/2016, bệnh nhân nuốt nghẹn tăng dần, nói khàn đi khám phát hiện sùi loét tại ngã 3 hạ họng, thực quản (Giải phẫu bệnh: ung thư biểu mô vảy độ 2), bệnh nhân được chẩn đoán Ung thư hạ họng cT4aN2M0 giai đoạn IV điều trị hóa xạ trị (Docetaxel – Carboplatinx 3 chu kỳ + xạ trị liều 70 Gy), sau đó chuyển duy trì Capecitabine đến tháng 11 năm 2019, sau đó theo dõi tái khám định kỳ mỗi 6 tháng.

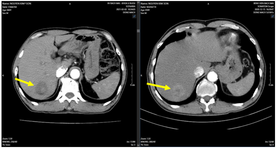
Tháng 12/2020, bệnh nhân được chụp cắt lớp vi tính ổ bụng với hình ảnh: Gan có kích thước bình thường, bờ đều. Nhu mô phân thùy VII có khối kích thước 37x35mm, ngấm thuốc thì động mạch, ngấm thêm vào trung tâm thì tĩnh mạch cửa,vùng trung tâm không thấy ngấm thuốc. Bệnh nhân được chẩn đoán xác định là ung thư biểu mô tế bào gan nguyên phát (với mức AFP > 400 ng/ml và có hình ảnh điển hình trên cắt lớp vi tính có tiêm thuốc)  và được đã điều trị bằng kỹ thuật xạ trị trong chọn lọc (SIRT: Selective Internal Radiation Therapy) với Y90 vào tháng 1/2021, sau đó duy trì Capecitabine thêm 1 năm là bệnh tiến triển TACE 3 lần (lần cuối tháng 2/2025).

Tháng 3/2025: bệnh nhân tái khám theo hẹn để lên kế hoạch điều trị toàn thân với Sorafenib. Bệnh nhân được chỉ định nội soi dạ dày thực quản thì  phát hiện tổn thương loạn sản thực quản, tiến hành sinh thiết tổn thương thực quản, kết quả giải phẫu bệnh: Ung thư biểu mô vảy. Có ổ nhỏ nghi ngờ ung thư biểu mô xâm nhập. Bệnh nhân được chẩn đoán mắc thêm một loại ung thư nữa.

Khám lúc vào viện:

-         Bệnh nhân tỉnh, tiếp xúc tốt

-         không sốt

-         Mạch: 80 lần/phút, Huyết áp: 120/70mmHg.

-        Thể trạng gầy, PS: 1, chiều cao: 168 cm, cân nặng: 55 kg. 

-        Da niêm mạc hồng, không phù, không xuất huyết dưới da.

-        Hạch ngoại vi không to.

-        Lồng ngực hai bên cân đối, không có u cục thành ngực.

-        Phổi rì rào phế nang rõ, không có rales.

-        Các cơ quan khác không thấy bất thường.

Các kết quả cận lâm sàng:

- Xét nghiệm: Công thức máu, chức năng gan thận, điện giải đồ trong giới hạn bình thường; rối loạn lipid máu; HIV (-), HbsAg (-); HCV (-).

- Chỉ điểm khối u: CEA:2,48 (ng/ml); SCC: 10,4 (ng/ml); AFP: 5,01 (ng/ml).

- Siêu âm ổ bụng: Hình ảnh gan nhiễm mỡ, tăng kích thước tuyến tiền liệt.

- Siêu âm hạch cổ: chưa phát hiện bất thường

-  Chụp cắt lớp vi tính bụng: (Tháng 12/2020) Hình ảnh khối ngấm thuốc gan phải: Nhu mô phân thùy VII có khối kích thước 37x35mm, ngấm thuốc thì động mạch, ngấm thêm vào trung tâm thì tĩnh mạch cửa, vùng trung tâm không thấy ngấm thuốc. Gan:Kích thước bình thường, bờ đều. Sỏi túi mật. Sỏi thận phải. Nang nhỏ thận trái.

Hình 1: Nhu mô phân thùy VII có khối kích thước 37x35mm, ngấm thuốc thì động mạch, ngấm thêm vào trung tâm thì tĩnh mạch cửa,vùng trung tâm không thấy ngấm thuốc. (mũi tên vàng)

Hình 2: U gan sau SIRT (bên trái, mũi tên vàng) so với trước SIRT (bên phải, mũi tên vàng)

- Tháng 3/2025: Hình ảnh u phân thùy sau gan phải, kích thước 28x38mm, hiện còn tăng sinh mạch (Sau TACE lần 3). Sỏi túi mật. Sỏi thận hai bên.

Hình 3: U gan sau nút mạch lần 3, vào tháng 03/2025 (bên trái, mũi tên vàng) so với trước khi nút mạch lần 3 vào tháng 02/2025 (bên phải, mũi tên vàng)

- Nội soi thực quản (Tháng 03/2025): Cách cung răng trên 40cm có đám niêm mạc khác màu kích thước ~ 3cm (sinh thiết ống 1). Cách CRT 38cm có đám thứ 2 kích thước ~ 2cm (sinh thiết ống 2). Cách cung răng trên 25- 30cm có đám niêm mạc gồ ghề, khác màu chạy vòng gần hết chu vi (sinh thiết ống 3). Hạ hầu có sẹo và nhiều đám loạn sản mạch (sau xạ trị). Dạ dày: viêm dạ dày. Kết luận: Tổn thương loạn sản thực quản (3 vị trí) – viêm dạ dày – tổn thương hạ hầu sau xạ trị.

Hình 4: Nội soi thực quản hình ảnh tổn thương nhiều vị trí (mũi tên vàng và đỏ)

- PET/CT (Tháng 03/2025): Không thấy tổn thương tăng hấp thu FDG khu trú bất thường tại hạ họng. Hình ảnh hạch nhóm 1R, kích thước 12x15mm,tăng chuyển hóa glucose, khả năng do di căn. Đề nghị đối chiếu với mô bệnh học. Hình ảnh tổn thương giảm tỉ trọng kèm vôi hóa kích thước ~33x50x39mm, tăng chuyển hóa glucose ở hạ phân thuỳ VII gan, tương ứng với tổn thương gan đã nút mạch, theo dõi tiến triển. Hình ảnh nhiều hạch ở dọc theo động mạch chậu chung và chậu ngoài phải, bẹn phải, tăng chuyển hóa glucose. Đề nghị đối chiếu với mô bệnh học. Chưa phát hiện hình ảnh tăng hấp thu FDG bất thường, khu trú tại các vị trí khác trên xạ hình PET/CT toàn thân.

Hình 5: Hình ảnh hạch nhóm 1R, kích thước 12x15mm, tăng chuyển hóa glucose (SUV max 8,5), khả năng do di căn.(mũi tên vàng)

Hình 6: Hình ảnh hạch bẹn, kích thước 14x29mm, SUV max 8,9 (mũi tên vàng)

- Xạ hình xương (Tháng 04/2025): chưa phát hiện bất thường

Hình 7: Xạ hình xương chưa phát hiện bất thường

Chẩn đoán xác định:Ung thư biểu mô vảy thực quản giữa dưới / Ung thư biểu mô tế bào gan đã SIRT,TACE, hoá chất / Ung thư biểu mô vảy hạ họng đã hoá chất xạ trị / Suy tuyến giáp.

Hướng điều trị:Bệnh nhân được đưa ra hội chẩn hội đồng và được kết luận điều trị xạ trị vùng hạ họng sau đó sẽ điều trị toàn thân bệnh ung thư biểu mô tế bào gan và ung thư thực quản.

Bàn luận: Đây là trường hợp hiếm gặp với diễn tiến bệnh kéo dài gần 10 năm, biểu hiện đa ổ ung thư tại 3 hệ cơ quan khác nhau: hạ họng, gan, thực quản. Bệnh nhân được chẩn đoán mắc tuần tự ba loại ung thư, trong đó có ung thư biểu mô tế bào gan có tiên lượng xấu nhất, với tỉ lệ sống trong 5 năm có thể chỉ đạt 18% và là loại ung thư có tỉ lệ tử vong cao thứ hai ở nam giới. Vấn đề điều trị ở bệnh nhân này được đặt ra rằng thứ tự điều trị như thế nào, bệnh nhân đã được đưa ra hội đồng hội chẩn đa chuyên khoa với các bác sĩ từ các chuyên ngành chẩn đoán hình ảnh,ung thư và ngoại khoa. Việc điều trị cần cá thể hóa và phối hợp liên chuyên khoa, ưu tiên kiểm soát triệu chứng và chất lượng sống. Câu hỏi trọng tâm đặt ra là: Làm thế nào để tối ưu hóa hiệu quả điều trị khi có nhiều mục tiêu cạnh tranh về tiên lượng và độ tiến triển.

TÀI LIỆU THAM KHẢO:

1.         704-viet-nam-fact-sheet.pdf.,accessed: 16/05/2025.

2.         Kokawa A., Yamaguchi H., Tachimori Y. và cộng sự. (2001).Other primary cancers occurring after treatment of superficial oesophagealcancer. BJS (British Journal of Surgery), 88(3), 439–443.

3.         Luo X., Huang X., Liu S. và cộng sự. (2022). Evaluation of the prevalence of metachronous second primary malignancies in hypopharyngeal carcinoma and their effect on outcomes. Cancer Med, 11(4),1059–1067.


Tin liên quan