CASE LÂM SÀNG: CHẨN ĐOÁN BỆNH NHÂN MẮC HAI UNG THƯ: GIST RUỘT NON VÀ UNG THƯ TUYẾN GIÁP TẠI TRUNG TÂM Y HỌC HẠT NHÂN VÀ UNG BƯỚU, BỆNH VIỆN BẠCH MAI

Ngày đăng: 14/01/2026 Lượt xem 254

CASE LÂM SÀNG:
CHẨN ĐOÁN BỆNH NHÂN MẮC HAI UNG THƯ:  GIST RUỘT NON VÀ UNG THƯ TUYẾN GIÁP TẠI TRUNG TÂM Y HỌC HẠT NHÂN VÀ UNG BƯỚU, BỆNH VIỆN BẠCH MAI


GS. TS. Mai Trọng Khoa, BSNT. Đỗ Thị Thu Trang, PGS. TS. Phạm Cẩm Phương, ThS. Phạm Văn Dũng,

Trung tâm Y học hạt nhân và Ung bướu, Bệnh viện Bạch Mai



U mô đệm đường tiêu hóa (GIST) là bệnh lý hiếm gặp, chiếm 0,1% – 3% các u ác tính đường tiêu hóa với tỷ lệ mắc mới hàng năm từ 10 – 15 ca/triệu dân. Theo GLOBOCAN 2022, ung thư tuyến giáp đứng hàng thứ 7 về tỷ lệ mới mắc trên thế giới và đang ngày càng có xu hướng tăng lên.


Tuy nhiên, sự xuất hiện đồng thời của GIST và Ung thư tuyến giáp trên cùng một bệnh nhân là một bệnh cảnh lâm sàng cực kỳ hiếm gặp, đặt ra thách thức trong việc chẩn đoán và điều trị. GIST thường được dẫn dắt bởi đột biến ở các gene KIT hoặc PDGFRA, trong khi ung thư tuyến giáp thường liên quan đến các con đường tín hiệu khác (như BRAF hoặc RAS).

Sau đây chúng tôi xin trình bày 1 ca bệnh mắc cả 2 bệnh u mô đệm đường tiêu hóa biểu hiện tại ruột non và ung thư tuyến giáp thể nhú tại Trung tâm Y học hạt nhân và Ung bướu – Bệnh viện Bạch Mai:

Họ và tên: T.T.D;                                                     Giới:Nữ;                               Tuổi:52

Thời gian vào viện: Tháng 11/2025

Lý do vào viện: Phát hiện nhân tuyến giáp

Tiền sử: GIST ruột non đang điều trị.

Bệnh sử: Bệnh nhân được chẩn đoán GIST ruột non đã phẫu thuật năm 2023 tại bệnh viện địa phương, giải phẫu bệnh: u mô đệm đường tiêu hóa, đang điều trị duy trì Imatinib, đợt này đi khám định kì phát hiện nhân tuyến giáp.

Tình trạng lúc vào viện:

Bệnh nhân tỉnh, tiếp xúc tốt

Toàn trạng: ECOG 0(*)

Chiều cao: 151cm; cân nặng: 53kg

Không ho, không khó thở

Tuyến giáp không sờ thấy

Hạch cổ 2 bên không sờ thấy

Bụng mềm không chướng

Sẹo mổ cũ liền tốt

Không có triệu chứng của các cơ quan khác

(*Chú thích: chỉ số ECOG đánh giá triệu chứng lâm sàng và khả năng hoạt động của bệnh nhân, mức 0 điểm tương ứng với không có triệu chứng và hoạt động bình thường, mức 4 điểm tương ứng với có nhiều triệu chứng và nằm toàn bộ thời gian).

Cận lâm sàng:

Xét nghiệm máu:

Công thức máu: Các chỉ số trong giới hạn bình thường

Đông máu: Các chỉ số trong giới hạn bình thường

Sinh hóa máu

FT3: 4,56 pmol/l                  FT4: 18,5 pmol/l (trong giới hạn bình thường)

TSH: 0,326 uU/ml (giảm nhẹ)

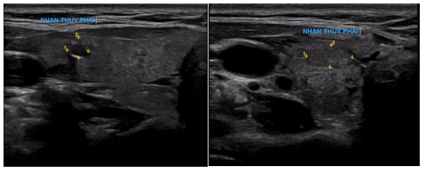
Siêu âm:

Thùy phải: kích thước bình thường, nhu mô có vài nhân hỗn hợp âm, lớn nhất kích thước 3x3mm và có nhân giảm âm, vôi hóa ngoại vi kích thước 3x4mm (TIRADS 4), nhân đồng âm bờ đều, kích thước 4x6mm.

Thùy trái: kích thước bình thường, nhu mô có vài nhân hỗn hợp âm, bờ đều, lớn nhất kích thước 8x9mm (TIRADS 3).

(TIRADS (Hệ thống báo cáo và dữ liệu hình ảnh tuyến giáp) là một hệ thống chấm điểm  được các bác sĩ chẩn đoán hình ảnh sử dụng để đánh giá nguy cơ ác tính của các khối u tuyến giáp dựa trên các đặc điểm siêu âm. Phiên bản được sử dụng rộng rãi nhất là ACR TI-RADS, được phát triển bởi Trường Cao đẳng Chẩn đoán hình ảnh Hoa Kỳ

TI-RADS đánh giá các khối u tuyến giáp dựa trên năm đặc điểm siêu âm: cấu tạo, độ phản âm, hình dạng, ranh giới, các điểm tăng âm rải rác. Tổng điểm từ tất cả các đặc điểm sẽ xác định mức độ TI-RADS, tương ứng với một khuyến nghị về cách xử lý.

Các nghiên cứu quy mô lớn đã chứng minh mối tương quan mạnh mẽ giữa phân loại ACR-TI-RADS và nguy cơ mắc bệnh ác tính. Nguy cơ mắc ung thư tuyến giáp tăng dần từ TIRADS 1 đến TIRADS 5)


Hình 1: Hình ảnh nhân giảm âm thùy phải tuyến giáp (TIRADS 4)

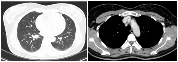
Cắt lớp vi tính lồng ngực:

 

Hình 2: Hình ảnh cắt lớp vi tính lồng ngực chưa phát hiện bất thường

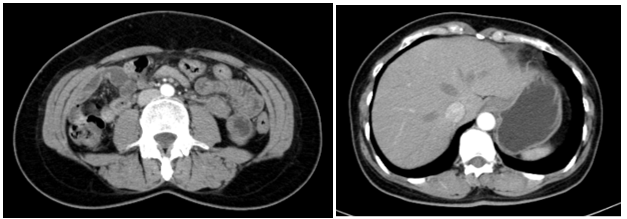
Cắt lớp vi tính ổ bụng:

 

Hình 3: Hình ảnh cắt lớp vi tính ổ bụng chưa phát hiện bất thường

-        Các xét nghiệm khác trong giới hạn bình thường.

Chọc hút tế bào tuyến giáp: Hình ảnh tế bào học phù hợp với ung thư biểu mô tuyến giáp thể nhú

Bệnh nhân được phẫu thuật cắt toàn bộ tuyến giáp kèm nạo vét hạch ngày 11/11/2025

Giải phẫu bệnh sau mổ:

Nhận xét đại thể:

Thùy phải: Thùy giáp kích thước 4,5 x 2,5 x 2 cm, cắt qua có nhân đường 0,3cm, xám nâu mềm có vỏ trắng chắc, ranh giới rõ. Nhu mô còn lại cắt qua có nhân đường kính 0,3cm, trắng xám mềm ranh giới rõ.

Thùy trái: bệnh phẩm giáp kích thước 5 x 3 x 2 cm, cắt qua có nhân đường kính 0,3cm, trắng xám mềm, ranh giới rõ.

Vi thể:

Thùy phải: Ung thư biểu mô tuyến giáp thể nhú.

Thùy trái: Bướu giáp keo quá sản dạng u tuyến.

Hạch cổ trung tâm: 06/06 hạch viêm mạn tính.

Hạch cổ phải: 06/06 hạch viêm mạn tính.

Xét nghiệm đột biến gen: phát hiện đột biến p.V600E (c.1799T>A) trên codon 600 tại exon 15 gen BRAF

Chẩn đoán xác định: Ung thư biểu mô thùy phải tuyến giáp thể nhú đã phẫu thuật pT1aN0M0/ GIST ruột non đã phẫu thuật, điều trị Imatinib

Hướng điều trị: Đánh giá tình trạng bệnh sau phẫu thuật + xét điều trị I-131

Lời bình:

Đột biến BRAF, đặc biệt là biến thể V600E, là đột biến gen phổ biến nhất trong ung thư tuyến giáp thể nhú. Gen này được tìm thấy trong khoảng 45% trường hợp, thúc đẩy sự phát triển của tế bào bằng cách kích hoạt quá mức con đường MAPK và thường cho thấy khối u có mức độ ác tính cao hơn và nguy cơ tái phát sớm hơn. Mặc dù giá trị tiên lượng của nó thay đổi, nó vẫn là một dấu ấn sinh học quan trọng để chẩn đoán và điều chỉnh các liệu pháp nhắm đích. Mặc dù ung thư biểu mô tuyến giáp thể nhú có tiên lượng tốt, tuy nhiên trên bệnh nhân có đột biến gen BRAF V600E, cần theo dõi chặt chẽ hơn sau điều trị.

Đây là trường hợp bệnh nhân phát hiện ung thư tuyến giáp thể nhú trong quá trình theo dõi GIST. Mặc dù, đột biến gen của 2 loại ung thư trên thường diễn ra trên hai con đường tín hiệu biệt lập. Vậy thì: Liệu có một sự mất ổn định di truyền nào chưa được phát hiện, hay chính quá trình chung sống với GIST đã khiến bệnh nhân được theo dõi sát sao hơn, từ đó "tình cờ" phát hiện ra ung thư tuyến giáp ở giai đoạn sớm? Trường hợp bệnh nhân trên cũng cho thấy tầm quan trọng của việc theo dõi định kỳ và tầm soát toàn diện, đặc biệt là trên nhóm bệnh nhân đã mắc bệnh ung thư trước đó.

TÀI LIỆU THAM KHẢO

1. Hướng dẫn chẩn đoán và điều trịmột số bệnh ung bướu, Bộ Y Tế, NXB Y học 2020

2. F. Bray, M. Laversanne, H.Sung, J. Ferlay, R. L. Siegel, I. Soerjomataram, et al., “Global cancerstatistics 2022: GLOBOCAN estimates of incidence and mortality worldwide for 36cancers in 185 countries,” CA Cancer J Clin, pp. 229-263, 2024.

3. KalaniP, Dutta A, Tiwari J, et al. A Study to Evaluate TIRADS Scoring in theManagement of Thyroid Nodules. Indian J Otolaryngol Head Neck Surg. 2024Aug

4. Casali,P. G., et al. (2022). "Gastrointestinal stromal tumours:ESMO–EURACAN–GENTURIS Clinical Practice Guidelines for diagnosis, treatment andfollow-up". Annals of Oncology.

5. Mark Yarchoan et al.BRAF Mutation and Thyroid Cancer Recurrence. J Clin Oncol 33, 7-8(2015).


Tin liên quan