CASE LÂM SÀNG:
ĐIỀU TRỊ UNG THƯ ĐẠI TRÀNG GIAI ĐOẠN MUỘN BẰNG HÓA CHẤT KẾT HỢP THUỐC KHÁNG TĂNG SINH MẠCH TẠI TRUNG TÂM YHHN VÀ UNG BƯỚU BỆNH VIỆN BẠCH MAI
GS. TS. Mai Trọng Khoa, PGS. TS. Phạm Cẩm Phương, PGS. TS. Phạm Văn Thái, BSNT. Phan Tùng Lâm
Trung tâm Y học hạt nhân và Ung bướu, Bệnh viện Bạch Mai
Hiện nay, ung thư đại tràng là một trong những loại ung thư phổ biến nhất trên thế giới cũng như tại Việt Nam. Theo GLOBOCAN 2022, ung thư đại tràng đứng thứ ba trên thế giới về tỷ lệ mắc và đứng thứ hai về tỷ lệ tử vong, với 1,9 triệu ca mắc mới và gần 1 triệu ca tử vong. Ngày này, các phương pháp chẩn đoán và điều trị ung thư đại tràng đã có nhiều tiến bộ, đặc biệt là sàng lọc phát hiện sớm ung thư đại tràng đã đem lại nhiều lợi ích trong việc giảm tỷ lệ tử vong và gia tăng thời gian sống thêm cho người bệnh. Tuy nhiên, với triệu chứng lâm sàng thường ít rầm rộ, không ít bệnh nhân ung thư đại tràng đến viện ở giai đoạn muộn, đã có di căn xa, không còn chỉ định phẫu thuật. Hiện nay, hóa trị với nền tảng là 5-FU kết hợp với thuốc kháng tăng sinh mạch (Bevacizumab) là lựa chọn đầu tay trong điều trị bước một ung thư đại tràng di căn. Việc kết hợp hóa chất và thuốc kháng tăng sinh mạch đã kéo dài thời gian sống thêm bệnh không tiến triển trong ung thư đại tràng di căn là 10,6 tháng so với 6,2 tháng ở nhóm hóa chất đơn thuần.
Dưới đây chúng tôi xin giới thiệu một trường hợp lâm sàng: bệnh nhân ung thư đại tràng giai đoạn muộn đáp ứng điều trị tốt với liệu pháp hóa trị kết hợp thuốc kháng tăng sinh mạch tại Trung tâm Y học hạt nhân và Ung bướu bệnh viện Bạch Mai.
Họ và tên bệnh nhân: TẠ N.S. Giới: Nam Tuổi: 49
Thời gian vào viện: tháng 11 năm 2024
Lí do vào viện: đau bụng hạ sườn phải
Bệnh sử: Cách vào viện 2 tháng, bệnh nhân xuất hiện đau âm ỉ hạ sườn phải, đau tăng dần, uống thuốc giảm đau không đỡ, kèm mệt mỏi, ăn uống kém, gầy sút cân 2kg/tháng, không nôn, không sốt, đại tiểu tiện bình thường, đi khám tại bệnh viện Bạch Mai chụp cắt lớp vi tính bụng có hình ảnh gan phải có khối lớn kèm nhiều nốt nhỏ lân cận, kích thước lớn nhất 87x93mm, ngấm thuốc kém sau tiêm, theo dõi thứ phát . Bệnh nhân được chuyển đến Trung tâm Y học hạt nhân và Ung bướu Bệnh viện Bạch Mai chẩn đoán và điều trị tiếp.
Tiền sử:
- Bản thân: khỏe mạnh
- Gia đình: có bố đẻ bị ung thư trực tràng
Khám vào viện:
- Bệnh nhân tỉnh
- Thể trạng trung bình: chiều cao 168cm, cân nặng 63 kg, PS0
- Da niêm mạc hồng, không phù, không xuất huyết dưới da
- Hạch ngoại biên: không sờ thấy
- Tim mạch: nhịp tim đều, rõ, không có tiếng tim bệnh lý
- Hô hấp: rì rào phế nang êm dịu, không nghe tiếng rale
- Tiêu hóa: bụng mềm, ấn đau hạ sườn phải
- Thần kinh: không có dấu hiệu thần kinh khu trú
- Cơ xương khớp:
- Các cơ quan bộ phận khác chưa phát hiện bất thường
Cận lâm sàng:
- Công thức máu, sinh hóa máu, đông máu cơ bản trong giới hạn bình thường
- Chất chỉ điểm u:
+ CEA: 123, 5 ng/L (bình thường <5.0ng/mL) - tăng rất cao
- Nội soi dạ dày: viêm dạ dày tá tràng
- Nội soi đại tràng :

Hình 1 : Đại tràng lên có khối sùi loét, chạm vào dễ chảy máu, chiếm khoảng ½ chu vi lòng đại tràng.
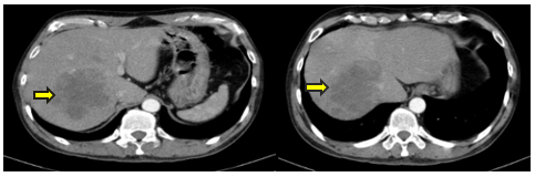
- Cắt lớp vi tính ổ bụng :
Hình 2: Gan phải có khối lớn kèm nhiều nốt nhỏ lân cận, kích thước lớn nhất 87x93mm, ngấm thuốc kém sau tiêm, theo dõi thứ phát.
- Cắt lớp vi tính ngực: chưa phát hiện bất thường
- Mô bệnh học:
+ Đại tràng: ung thư biểu mô tuyến
+ Gan phải: ung thư biểu mô tuyến di căn hướng đến nguồn gốc đại trực tràng
- Xét nghiệm sinh học phân tử, hóa mô miễn dịch: đột biến gen KRAS dương tính, đột biến gen BRAF âm tính, không có tình trạng bất ổn vi vệ tinh MSI-H
Chẩn đoán xác định:
Ung thư biểu mô tuyến đại tràng phải - di căn gan, giai đoạn IV
Điều trị :
Sau khi hội chẩn hội đồng chuyên môn tại Trung tâm Y học hạt nhân và Ung bướu, bệnh nhân được chỉ định điều trị toàn thân bằng phác đồ hóa chất kết hợp thuốc kháng tăng sinh mạch (Bevacizumab), cụ thể là phác đồ Folfiri + Bevacizumab
Ngày 1: Irinotecan 180 mg/m2 truyền tĩnh mạch
Ngày 1: Leucovorin 400 mg/m2 truyền tĩnh mạch song song với Irinotecan
Ngày 1-3: 5-FU 400 mg/m2 truyền tĩnh mạch bolus ngày 1, sau đó 1200 mg/m2/ngày x2 ngày truyền tĩnh mạch liên tục.
Ngày 1: Bevacizumab 5mg/kg truyền tĩnh mạch
Chu kỳ 14 ngày
Đánh giá hiệu quả điều trị sau 3 tháng:
Lời bàn :Như vậy, đây là một trường hợp bệnh nhân ung thư đại tràng giai đoạn muộn, di căn gan, bệnh nhân được điều trị toàn thân với phác đồ hóa chất kết hơp thuốc kháng tăng sinh mạch, kết quả sau 3 tháng điều trị cho thấy bệnh nhân đạt đáp ứng tốt với điều trị, khối u thu nhỏ kích thước đáng kể, chất chỉ điểm khối u giảm gần về bình thường, lâm sàng được cải thiện rõ rệt. Trong quá trình điều trị, bệnh nhân có xuất hiện một số tác dụng phụ như: mệt mỏi, chán ăn, ngủ kém sau truyền hóa chất 2-3 ngày, ngoài ra chưa phát hiện các tác dụng phụ khác. Đánh giá theo tiêu chuẩn RECIST 1.1, bệnh đáp ứng một phần (PR – Partial Responce). Trong thời gian sắp tới, bệnh nhân vẫn được tiếp tục điều trị theo phác đồ, đồng thời đánh giá và theo dõi các thay đổi bất thường trong quá trình điều trị, để đưa ra các phương án điều trị phù hợp nhất.
TÀI LIỆU THAM KHẢO
1. Hurwitz,H, Fehrenbacher L, Novotny W, Cartwright T (2004). Bevacizumab plusirinotecan, fluorouracil, and leucovorin for metastatic colorectal cancer. NewEngland journal of medicine (NEJM)
2. Bray F, Laversanne, M Sung, Ferlay, J, Siegel L,Soerjomataram I, & Jemal, (2024). Global cancer statistics 2022: GLOBOCAN estimates of incidence and mortality worldwide for 36 cancers in 185 countries.CA: a cancer journal for clinicians.
3. Hướng dẫn chẩn đoán và điều trị một số bệnh ung bướu – Bộ Y tế (2020)